ARG56214
anti-PPT1 antibody [1117CT11.2.1.4]
anti-PPT1 antibody [1117CT11.2.1.4] for Flow cytometry,IHC-Formalin-fixed paraffin-embedded sections,Western blot and Human,Mouse,Rat
概述
| 产品描述 | Mouse Monoclonal antibody recognizes PPT1 |
|---|---|
| 反应物种 | Hu, Ms, Rat |
| 应用 | FACS, IHC-P, WB |
| 宿主 | Mouse |
| 克隆 | Monoclonal |
| 克隆号 | 1117CT11.2.1.4 |
| 同位型 | IgG1 |
| 靶点名称 | PPT1 |
| 抗原物种 | Human |
| 抗原 | Recombinant protein from Human PPT1. |
| 偶联标记 | Un-conjugated |
| 別名 | EC 3.1.2.22; Palmitoyl-protein thioesterase 1; PPT-1; Palmitoyl-protein hydrolase 1; CLN1; PPT; INCL |
应用说明
| 应用建议 |
|
||||||||
|---|---|---|---|---|---|---|---|---|---|
| 应用说明 | * The dilutions indicate recommended starting dilutions and the optimal dilutions or concentrations should be determined by the scientist. | ||||||||
| 阳性对照 | HeLa |
属性
| 形式 | Liquid |
|---|---|
| 纯化 | Purification with Protein G. |
| 缓冲液 | PBS and 0.09% (W/V) Sodium azide. |
| 抗菌剂 | 0.09% (W/V) Sodium azide. |
| 存放说明 | For continuous use, store undiluted antibody at 2-8°C for up to a week. For long-term storage, aliquot and store at -20°C. Storage in frost free freezers is not recommended. Avoid repeated freeze/thaw cycles. Suggest spin the vial prior to opening. The antibody solution should be gently mixed before use. |
| 注意事项 | For laboratory research only, not for drug, diagnostic or other use. |
生物信息
| 数据库连接 | |
|---|---|
| 基因名称 | PPT1 |
| 全名 | palmitoyl-protein thioesterase 1 |
| 背景介绍 | The protein encoded by this gene is a small glycoprotein involved in the catabolism of lipid-modified proteins during lysosomal degradation. The encoded enzyme removes thioester-linked fatty acyl groups such as palmitate from cysteine residues. Defects in this gene are a cause of infantile neuronal ceroid lipofuscinosis 1 (CLN1, or INCL) and neuronal ceroid lipofuscinosis 4 (CLN4). Two transcript variants encoding different isoforms have been found for this gene.[provided by RefSeq, Dec 2008] |
| 生物功能 | Removes thioester-linked fatty acyl groups such as palmitate from modified cysteine residues in proteins or peptides during lysosomal degradation. Prefers acyl chain lengths of 14 to 18 carbons. [UniProt] |
| 细胞定位 | Lysosome. |
| 预测分子量 | 34 kDa |
| 翻译后修饰 | Glycosylated. |
检测图片 (3) Click the Picture to Zoom In
-
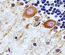
ARG56214 anti-PPT1 antibody IHC-P image
Immunohistochemistry: Paraffin-embedded Mouse cerebellum tissue stained with ARG56214 anti-PPT1 antibody at 1:25 dilution.
-
ARG56214 anti-PPT1 antibody WB image
Western blot: 20 µg of HeLa cell lysate stained with ARG56214 anti-PPT1 antibody at 1:2000 dilution.
-
ARG56214 anti-PPT1 antibody FACS image
Flow Cytometry: HepG2 cells stained with ARG56214 anti-PPT1 antibody (right histogram) at 1:25 dilution or isotype control antibody (left histogram), followed by incubation with Alexa Fluor® 488 labelled secondary antibody.
