ARG43930
anti-PPP4C antibody
anti-PPP4C antibody for ELISA,Flow cytometry,ICC/IF,IHC-Formalin-fixed paraffin-embedded sections,Western blot and Human
概述
| 产品描述 | Rabbit Polyclonal antibody recognizes PPP4C |
|---|---|
| 反应物种 | Hu |
| 应用 | ELISA, FACS, ICC/IF, IHC-P, WB |
| 宿主 | Rabbit |
| 克隆 | Polyclonal |
| 同位型 | IgG |
| 靶点名称 | PPP4C |
| 抗原物种 | Human |
| 抗原 | Human PPP4C recombinant protein |
| 表达系统 | E.coli |
| 偶联标记 | Un-conjugated |
| Protein Full name | Serine/threonine-protein phosphatase 4 catalytic subunit |
| 別名 | PPP4; PPX; PP-X; Pp4; PPH3; EC 3.1.3.16; Serine/threonine-protein phosphatase 4 catalytic subunit; PP4; PP4C; Protein phosphatase X |
应用说明
| 应用建议 |
|
||||||||||||
|---|---|---|---|---|---|---|---|---|---|---|---|---|---|
| 应用说明 | * The dilutions indicate recommended starting dilutions and the optimal dilutions or concentrations should be determined by the scientist. |
属性
| 形式 | Liquid |
|---|---|
| 纯化 | Affinity purified with Immunogen. |
| 缓冲液 | 0.9% NaCl, 0.2% Na2HPO4 and 4% Trehalose. |
| 稳定剂 | 4% Trehalose |
| 浓度 | 0.5 mg/ml |
| 存放说明 | For continuous use, store undiluted antibody at 2-8°C for up to a week. For long-term storage, aliquot and store at -20°C or below. Storage in frost free freezers is not recommended. Avoid repeated freeze/thaw cycles. Suggest spin the vial prior to opening. The antibody solution should be gently mixed before use. |
| 注意事项 | For laboratory research only, not for drug, diagnostic or other use. |
生物信息
| 数据库连接 |
Swiss-port # P60510 Human Serine/threonine-protein phosphatase 4 catalytic subunit |
|---|---|
| 基因名称 | PPP4C |
| 全名 | Protein Phosphatase 4 Catalytic Subunit |
| 背景介绍 | Protein phosphatase that is involved in many processes such as microtubule organization at centrosomes, maturation of spliceosomal snRNPs, apoptosis, tumor necrosis factor (TNF)-alpha signaling, activation of c-Jun N-terminal kinase MAPK8, regulation of histone acetylation, DNA damage checkpoint signaling, NF-kappa-B activation and cell migration. The PPP4C-PPP4R1 PP4 complex may play a role in dephosphorylation and regulation of HDAC3. The PPP4C-PPP4R2-PPP4R3A PP4 complex specifically dephosphorylates H2AFX phosphorylated on Ser-140 (gamma-H2AFX) generated during DNA replication and required for DNA DSB repair. Dephosphorylates NDEL1 at CDK1 phosphorylation sites and negatively regulates CDK1 activity in interphase (By similarity) |
| 生物功能 | Protein phosphatase that is involved in many processes such as microtubule organization at centrosomes, maturation of spliceosomal snRNPs, apoptosis, DNA repair, tumor necrosis factor (TNF)-alpha signaling, activation of c-Jun N-terminal kinase MAPK8, regulation of histone acetylation, DNA damage checkpoint signaling, NF-kappa-B activation and cell migration. The PPP4C-PPP4R1 PP4 complex may play a role in dephosphorylation and regulation of HDAC3. The PPP4C-PPP4R2-PPP4R3A PP4 complex specifically dephosphorylates H2AFX phosphorylated on Ser-140 (gamma-H2AFX) generated during DNA replication and required for DNA double strand break repair. Dephosphorylates NDEL1 at CDK1 phosphorylation sites and negatively regulates CDK1 activity in interphase (By similarity). In response to DNA damage, catalyzes RPA2 dephosphorylation, an essential step for DNA repair since it allows the efficient RPA2-mediated recruitment of RAD51 to chromatin. [UniProt] |
| 细胞定位 | Cytoplasm. Nucleus |
| 预测分子量 | 35 kDa |
| 翻译后修饰 | Methylation at the C-terminal Leu-307 is critical for interactions with regulatory subunits and functions in DNA repair. |
检测图片 (7) Click the Picture to Zoom In
-
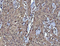
ARG43930 anti-PPP4C antibody IHC-P image
Immunohistochemistry: Human breast cancer stained with ARG43930 anti-PPP4C antibody at 2 μg/ml dilution.
-
ARG43930 anti-PPP4C antibody WB image
Western blot: Hela and 293T stained with ARG43930 anti-PPP4C antibody at 0.5 μg/mL dilution.
-
ARG43930 anti-PPP4C antibody ICC/IF image
Immunofluorescence: U2OS cells stained with ARG43930 anti-PPP4C antibody at 5 μg/ml dilution.
-
ARG43930 anti-PPP4C antibody FACS image
Flow Cytometry: MCF-7 cells stained with ARG43930 anti-PPP4C antibody (blue) at 1 μg/1x10^6 cells dilution.
-
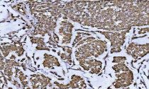
ARG43930 anti-PPP4C antibody IHC-P image
Immunohistochemistry: Human Invasive urothelial carcinoma of the bladder with squamous differentiation stained with ARG43930 anti-PPP4C antibody at 2 μg/ml dilution.
-
ARG43930 anti-PPP4C antibody WB image
Western blot: Jurkat and A431 stained with ARG43930 anti-PPP4C antibody at 0.5 μg/mL dilution.
-
ARG43930 anti-PPP4C antibody IHC-P image
Immunohistochemistry: Human squamous cell carcinoma skin stained with ARG43930 anti-PPP4C antibody at 2 μg/ml dilution.
