ARG45607
anti-PPP2R5E antibody
anti-PPP2R5E antibody for Flow cytometry,IHC-Formalin-fixed paraffin-embedded sections,Western blot and Human,Mouse,Rat
概述
| 产品描述 | Rabbit Polyclonal antibody recognizes PPP2R5E |
|---|---|
| 反应物种 | Hu, Ms, Rat |
| 应用 | FACS, IHC-P, WB |
| 宿主 | Rabbit |
| 克隆 | Polyclonal |
| 同位型 | IgG |
| 靶点名称 | PPP2R5E |
| 抗原物种 | Human |
| 抗原 | Recombinant protein containing to human PPP2R5E. |
| 偶联标记 | Un-conjugated |
| 別名 | PPP2R5E; Protein Phosphatase 2 Regulatory Subunit B'Epsilon; PP2A B subunit isoform R5-epsilon; PP2A B subunit isoform PR61-epsilon; PP2A B subunit isoform B56-epsilon; PP2A B subunit isoform B'-epsilon; Serine/threonine-protein phosphatase 2A 56 kDa regulatory subunit epsilon isoform |
应用说明
| 应用建议 |
|
||||||||
|---|---|---|---|---|---|---|---|---|---|
| 应用说明 | * The dilutions indicate recommended starting dilutions and the optimal dilutions or concentrations should be determined by the scientist. |
属性
| 形式 | Liquid |
|---|---|
| 纯化 | Affinity purified |
| 缓冲液 | 0.2% Na2HPO4, 0.9% NaCl and 4% Trehalose. |
| 稳定剂 | 4% Trehalose |
| 浓度 | 0.5 mg/ml |
| 存放说明 | For continuous use, store undiluted antibody at 2-8°C for up to a week. For long-term storage, aliquot and store at -20°C or below. Storage in frost free freezers is not recommended. Avoid repeated freeze/thaw cycles. Suggest spin the vial prior to opening. The antibody solution should be gently mixed before use. |
| 注意事项 | For laboratory research only, not for drug, diagnostic or other use. |
生物信息
| 数据库连接 |
Swiss-port # Q14157 Human Ubiquitin-associated protein 2-like Swiss-port # Q80X50 Mouse Ubiquitin-associated protein 2-like |
|---|---|
| 基因名称 | PPP2R5E |
| 全名 | Protein Phosphatase 2 Regulatory Subunit B'Epsilon |
| 背景介绍 | The product of this gene belongs to the phosphatase 2A regulatory subunit B family. Protein phosphatase 2A is one of the four major Ser/Thr phosphatases, and it is implicated in the negative control of cell growth and division. It consists of a common heteromeric core enzyme, which is composed of a catalytic subunit and a constant regulatory subunit, that associates with a variety of regulatory subunits. The B regulatory subunit might modulate substrate selectivity and catalytic activity. This gene encodes an epsilon isoform of the regulatory subunit B56 subfamily. [provided by RefSeq, Jul 2008] |
| 生物功能 | The B regulatory subunit might modulate substrate selectivity and catalytic activity, and also might direct the localization of the catalytic enzyme to a particular subcellular compartment. [UniProt] |
| 细胞定位 | Cytoplasm. [UniProt] |
| 预测分子量 | 55 kDa |
| 翻译后修饰 | Phosphorylated on serine residues.. [UniProt] |
检测图片 (4) Click the Picture to Zoom In
-
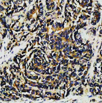
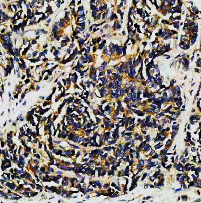
ARG45607 anti-PPP2R5E antibody IHC-P image
Immunohistochemistry: Human colon cancer stained with ARG45607 anti-PPP2R5E antibody at 2 μg/ml dilution.
-
ARG45607 anti-PPP2R5E antibody FACS image
Flow Cytometry: A431 stained with ARG45607 anti-PPP2R5E antibody at 1 µg/10^6 cells dilution.
-
ARG45607 anti-PPP2R5E antibody WB image
Western blot: Rat brain stained with ARG45607 anti-PPP2R5E antibody at 0.5 μg/ml dilution.
-
ARG45607 anti-PPP2R5E antibody WB image
Western blot: Mouse brain stained with ARG45607 anti-PPP2R5E antibody at 0.5 μg/ml dilution.
