ARG63448
anti-PPP2R5A antibody
anti-PPP2R5A antibody for IHC-Formalin-fixed paraffin-embedded sections,Western blot and Human
Neuroscience antibody; Signaling Transduction antibody
概述
| 产品描述 | Goat Polyclonal antibody recognizes PPP2R5A |
|---|---|
| 反应物种 | Hu |
| 预测物种 | Cow, Rat, Dog, Pig |
| 应用 | IHC-P, WB |
| 宿主 | Goat |
| 克隆 | Polyclonal |
| 同位型 | IgG |
| 靶点名称 | PPP2R5A |
| 抗原物种 | Human |
| 抗原 | C-AYNMHSILSNTSAE |
| 偶联标记 | Un-conjugated |
| 別名 | PR61A; B56A; PP2A B subunit isoform R5-alpha; PR61alpha; PP2A B subunit isoform PR61-alpha; PP2A B subunit isoform B'-alpha; Serine/threonine-protein phosphatase 2A 56 kDa regulatory subunit alpha isoform; PP2A B subunit isoform B56-alpha |
应用说明
| 应用建议 |
|
||||||
|---|---|---|---|---|---|---|---|
| 应用说明 | IHC-P: Antigen Retrieval: Steam tissue section in Citrate buffer (pH 6.0). WB: Recommend incubate at RT for 1h. * The dilutions indicate recommended starting dilutions and the optimal dilutions or concentrations should be determined by the scientist. |
属性
| 形式 | Liquid |
|---|---|
| 纯化 | Purified from goat serum by antigen affinity chromatography. |
| 缓冲液 | Tris saline (pH 7.3), 0.02% Sodium azide and 0.5% BSA. |
| 抗菌剂 | 0.02% Sodium azide |
| 稳定剂 | 0.5% BSA |
| 浓度 | 0.5 mg/ml |
| 存放说明 | For continuous use, store undiluted antibody at 2-8°C for up to a week. For long-term storage, aliquot and store at -20°C or below. Storage in frost free freezers is not recommended. Avoid repeated freeze/thaw cycles. Suggest spin the vial prior to opening. The antibody solution should be gently mixed before use. |
| 注意事项 | For laboratory research only, not for drug, diagnostic or other use. |
生物信息
| 数据库连接 |
Swiss-port # Q15172 Human Serine/threonine-protein phosphatase 2A 56 kDa regulatory subunit alpha is |
|---|---|
| 背景介绍 | The product of this gene belongs to the phosphatase 2A regulatory subunit B family. Protein phosphatase 2A is one of the four major Ser/Thr phosphatases, and it is implicated in the negative control of cell growth and division. It consists of a common heteromeric core enzyme, which is composed of a catalytic subunit and a constant regulatory subunit, that associates with a variety of regulatory subunits. The B regulatory subunit might modulate substrate selectivity and catalytic activity. This gene encodes an alpha isoform of the regulatory subunit B56 subfamily. Alternative transcript variants encoding distinct isoforms have been found for this gene. [provided by RefSeq, Dec 2010] |
| 研究领域 | Neuroscience antibody; Signaling Transduction antibody |
| 预测分子量 | 56 kDa |
| 翻译后修饰 | Phosphorylated on serine residues. |
检测图片 (2) Click the Picture to Zoom In
-
ARG63448 anti-PPP2R5A antibody WB image
Western Blot: human muscle lysate (RIPA buffer, 35 µg total protein per lane) stained with ARG63448 anti-PPP2R5A antibody at 0.5 µg/ml dilution.
-
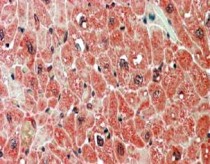
ARG63448 anti-PPP2R5A antibody IHC-P image
Immunohistochemistry: paraffin embedded Human Heart. (Steamed antigen retrieval with citrate buffer pH 6) stained with ARG63448 anti-PPP2R5A antibody at 5 µg/ml dilution followed by AP-staining.
