ARG40984
anti-PPID / cyclophilin 40 antibody
anti-PPID / cyclophilin 40 antibody for Flow cytometry,ICC/IF,IHC-Formalin-fixed paraffin-embedded sections,Western blot and Human,Mouse,Rat
概述
| 产品描述 | Rabbit Polyclonal antibody recognizes PPID / cyclophilin 40 |
|---|---|
| 反应物种 | Hu, Ms, Rat |
| 应用 | FACS, ICC/IF, IHC-P, WB |
| 宿主 | Rabbit |
| 克隆 | Polyclonal |
| 同位型 | IgG |
| 靶点名称 | PPID / cyclophilin 40 |
| 抗原物种 | Human |
| 抗原 | Recombinant protein corresponding to N306-A370 of Human PPID / cyclophilin 40. |
| 偶联标记 | Un-conjugated |
| 別名 | CYPD; 40 kDa peptidyl-prolyl cis-trans isomerase; PPIase D; CYP-40; Cyclophilin-40; EC 5.2.1.8; Peptidyl-prolyl cis-trans isomerase D; Rotamase D; Cyclophilin-related protein |
应用说明
| 应用建议 |
|
||||||||||
|---|---|---|---|---|---|---|---|---|---|---|---|
| 应用说明 | IHC-P: Antigen Retrieval: Heat mediation was performed in Citrate buffer (pH 6.0) for 20 min. * The dilutions indicate recommended starting dilutions and the optimal dilutions or concentrations should be determined by the scientist. |
属性
| 形式 | Liquid |
|---|---|
| 纯化 | Affinity purification with immunogen. |
| 缓冲液 | 0.2% Na2HPO4, 0.9% NaCl, 0.05% Sodium azide and 4% Trehalose. |
| 抗菌剂 | 0.05% Sodium azide |
| 稳定剂 | 4% Trehalose |
| 浓度 | 0.5 mg/ml |
| 存放说明 | For continuous use, store undiluted antibody at 2-8°C for up to a week. For long-term storage, aliquot and store at -20°C or below. Storage in frost free freezers is not recommended. Avoid repeated freeze/thaw cycles. Suggest spin the vial prior to opening. The antibody solution should be gently mixed before use. |
| 注意事项 | For laboratory research only, not for drug, diagnostic or other use. |
生物信息
| 数据库连接 | |
|---|---|
| 基因名称 | PPID |
| 全名 | peptidylprolyl isomerase D |
| 背景介绍 | The protein encoded by this gene is a member of the peptidyl-prolyl cis-trans isomerase (PPIase) family. PPIases catalyze the cis-trans isomerization of proline imidic peptide bonds in oligopeptides and accelerate the folding of proteins. This protein has been shown to possess PPIase activity and, similar to other family members, can bind to the immunosuppressant cyclosporin A. [provided by RefSeq, Jul 2008] |
| 生物功能 | PPIases accelerate the folding of proteins. It catalyzes the cis-trans isomerization of proline imidic peptide bonds in oligopeptides. Proposed to act as a co-chaperone in HSP90 complexes such as in unligated steroid receptors heterocomplexes. Different co-chaperones seem to compete for association with HSP90 thus establishing distinct HSP90-co-chaperone-receptor complexes with the potential to exert tissue-specific receptor activity control. May have a preference for estrogen receptor complexes and is not found in glucocorticoid receptor complexes. May be involved in cytoplasmic dynein-dependent movement of the receptor from the cytoplasm to the nucleus. May regulate MYB by inhibiting its DNA-binding activity. Involved in regulation of AHR signaling by promoting the formation of the AHR:ARNT dimer; the function is independent of HSP90 but requires the chaperone activity. Involved in regulation of UV radiation-induced apoptosis. Promotes cell viability in anaplastic lymphoma kinase-positive anaplastic large-cell lymphoma (ALK+ ALCL) cell lines. May be involved in hepatitis C virus (HCV) replication and release. [UniProt] |
| 细胞定位 | Cytoplasm. Nucleus, nucleolus. Nucleus, nucleoplasm. [UniProt] |
| 预测分子量 | 41 kDa |
检测图片 (7) Click the Picture to Zoom In
-
ARG40984 anti-PPID / cyclophilin 40 antibody ICC/IF image
Immunofluorescence: MCF-7 cells were blocked with 10% goat serum and then stained with ARG40984 anti-PPID / cyclophilin 40 antibody (green) at 5 µg/ml dilution, overnight at 4°C. DAPI (blue) for nuclear staining.
-
ARG40984 anti-PPID / cyclophilin 40 antibody IHC-P image
Immunohistochemistry: Paraffin-embedded Human mammary cancer tissue. Antigen Retrieval: Heat mediation was performed in Citrate buffer (pH 6.0, epitope retrieval solution) for 20 min. The tissue section was blocked with 10% goat serum. The tissue section was then stained with ARG40984 anti-PPID / cyclophilin 40 antibody at 1 µg/ml dilution, overnight at 4°C.
-
ARG40984 anti-PPID / cyclophilin 40 antibody WB image
Western blot: 50 µg of samples under reducing conditions. Rat spleen, Rat liver and Mouse testis lysates stained with ARG40984 anti-PPID / cyclophilin 40 antibody at 0.5 µg/ml, overnight at 4°C.
-
ARG40984 anti-PPID / cyclophilin 40 antibody FACS image
Flow Cytometry: U251 cells were blocked with 10% normal goat serum and then stained with ARG40984 anti-PPID / cyclophilin 40 antibody (blue) at 1 µg/10^6 cells for 30 min at 20°C, followed by incubation with DyLight®488 labelled secondary antibody. Isotype control antibody (green) was Rabbit IgG (1 µg/10^6 cells) used under the same conditions. Unlabelled sample (red) was also used as a control.
-
ARG40984 anti-PPID / cyclophilin 40 antibody IHC-P image
Immunohistochemistry: Paraffin-embedded Human rectal cancer tissue. Antigen Retrieval: Heat mediation was performed in Citrate buffer (pH 6.0, epitope retrieval solution) for 20 min. The tissue section was blocked with 10% goat serum. The tissue section was then stained with ARG40984 anti-PPID / cyclophilin 40 antibody at 1 µg/ml dilution, overnight at 4°C.
-
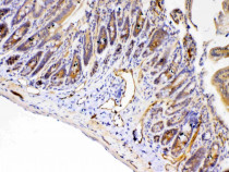
ARG40984 anti-PPID / cyclophilin 40 antibody IHC-P image
Immunohistochemistry: Paraffin-embedded Mouse intestine tissue. Antigen Retrieval: Heat mediation was performed in Citrate buffer (pH 6.0, epitope retrieval solution) for 20 min. The tissue section was blocked with 10% goat serum. The tissue section was then stained with ARG40984 anti-PPID / cyclophilin 40 antibody at 1 µg/ml dilution, overnight at 4°C.
-
ARG40984 anti-PPID / cyclophilin 40 antibody FACS image
Flow Cytometry: U2OS cells were blocked with 10% normal goat serum and then stained with ARG40984 anti-PPID / cyclophilin 40 antibody (blue) at 1 µg/10^6 cells for 30 min at 20°C, followed by incubation with DyLight®488 labelled secondary antibody. Isotype control antibody (green) was Rabbit IgG (1 µg/10^6 cells) used under the same conditions. Unlabelled sample (red) was also used as a control.
