ARG57077
anti-PPA1 / Pyrophosphatase antibody [4G4]
anti-PPA1 / Pyrophosphatase antibody [4G4] for Flow cytometry,Western blot and Human
概述
| 产品描述 | Mouse Monoclonal antibody [4G4] recognizes PPA1 / Pyrophosphatase |
|---|---|
| 反应物种 | Hu |
| 应用 | FACS, WB |
| 宿主 | Mouse |
| 克隆 | Monoclonal |
| 克隆号 | 4G4 |
| 同位型 | IgG2b, lambda |
| 靶点名称 | PPA1 / Pyrophosphatase |
| 抗原物种 | Human |
| 抗原 | Recombinant fragment around aa. 1-289 of Human PPA1 / Pyrophosphatase. |
| 偶联标记 | Un-conjugated |
| 別名 | PP; IOPPP; Inorganic pyrophosphatase; PPase; PP1; SID6-8061; EC 3.6.1.1; Pyrophosphate phospho-hydrolase; HEL-S-66p |
应用说明
| 应用建议 |
|
||||||
|---|---|---|---|---|---|---|---|
| 应用说明 | * The dilutions indicate recommended starting dilutions and the optimal dilutions or concentrations should be determined by the scientist. |
属性
| 形式 | Liquid |
|---|---|
| 纯化 | Purification with Protein A. |
| 缓冲液 | PBS (pH 7.4), 0.02% Sodium azide and 10% Glycerol. |
| 抗菌剂 | 0.02% Sodium azide |
| 稳定剂 | 10% Glycerol |
| 浓度 | 1 mg/ml |
| 存放说明 | For continuous use, store undiluted antibody at 2-8°C for up to a week. For long-term storage, aliquot and store at -20°C. Storage in frost free freezers is not recommended. Avoid repeated freeze/thaw cycles. Suggest spin the vial prior to opening. The antibody solution should be gently mixed before use. |
| 注意事项 | For laboratory research only, not for drug, diagnostic or other use. |
生物信息
| 数据库连接 | |
|---|---|
| 基因名称 | PPA1 |
| 全名 | pyrophosphatase (inorganic) 1 |
| 背景介绍 | The protein encoded by this gene is a member of the inorganic pyrophosphatase (PPase) family. PPases catalyze the hydrolysis of pyrophosphate to inorganic phosphate, which is important for the phosphate metabolism of cells. Studies of a similar protein in bovine suggested a cytoplasmic localization of this enzyme. [provided by RefSeq, Jul 2008] |
| 预测分子量 | 33 kDa |
检测图片 (2) Click the Picture to Zoom In
-
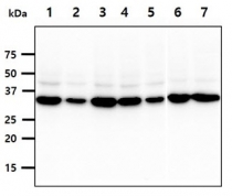
ARG57077 anti-PPA1 / Pyrophosphatase antibody [4G4] WB image
Western blot: 40 µg of 1) HeLa cell lysate, 2) A431 cell lysate, 3) 293T cell lysate, 4) HepG2 cell lysate, 5) U87MG cell lysate, 6) PC3 cell lysate, 7) WiDr cell lysate stained with ARG57077 anti-PPA1 / Pyrophosphatase antibody [4G4] at 1:1000.
-
ARG57077 anti-PPA1 / Pyrophosphatase antibody [4G4] FACS image
Flow Cytometry: HeLa cell line stained with ARG57077 anti-PPA1 / Pyrophosphatase antibody [4G4] at 2-5 µg for 1x10^6 cells (red line). Secondary antibody: Goat anti-Mouse IgG Alexa fluor 488 conjugate. Isotype control antibody was Mouse IgG (black line).
