ARG64937
anti-PP2A / PPP2R4 antibody
anti-PP2A / PPP2R4 antibody for IHC-Formalin-fixed paraffin-embedded sections,Western blot and Human,Mouse,Rat
Signaling Transduction antibody; PP2A alpha/beta antibody; Loading control antibody
概述
| 产品描述 | Goat Polyclonal antibody recognizes PP2A / PPP2R4 |
|---|---|
| 反应物种 | Hu, Ms, Rat |
| 预测物种 | Cow, Dog |
| 应用 | IHC-P, WB |
| 特异性 | This antibody is expected to recognize all reported isoforms (NP_821068.1; NP_066954.2; NP_821070.1). Reported variants NP_066954.2 and NP_821067.1 represent identical protein. |
| 宿主 | Goat |
| 克隆 | Polyclonal |
| 同位型 | IgG |
| 靶点名称 | PP2A / PPP2R4 |
| 抗原物种 | Human |
| 抗原 | C-GSLLPIHPVTSG |
| 偶联标记 | Un-conjugated |
| 別名 | Serine/threonine-protein phosphatase 2A activator; Serine/threonine-protein phosphatase 2A regulatory subunit 4; PTPA; EC 5.2.1.8; PP2A; Phosphotyrosyl phosphatase activator; PR53; PP2A, subunit B', PR53 isoform; Serine/threonine-protein phosphatase 2A regulatory subunit B' |
应用说明
| 应用建议 |
|
||||||
|---|---|---|---|---|---|---|---|
| 应用说明 | WB: Recommend incubate at RT for 1h. IHC-P: Antigen Retrieval: Steam tissue section in Citrate buffer (pH 6.0). * The dilutions indicate recommended starting dilutions and the optimal dilutions or concentrations should be determined by the scientist. |
属性
| 形式 | Liquid |
|---|---|
| 纯化 | Purified from goat serum by antigen affinity chromatography. |
| 缓冲液 | Tris saline (pH 7.3), 0.02% Sodium azide and 0.5% BSA. |
| 抗菌剂 | 0.02% Sodium azide |
| 稳定剂 | 0.5% BSA |
| 浓度 | 0.5 mg/ml |
| 存放说明 | For continuous use, store undiluted antibody at 2-8°C for up to a week. For long-term storage, aliquot and store at -20°C or below. Storage in frost free freezers is not recommended. Avoid repeated freeze/thaw cycles. Suggest spin the vial prior to opening. The antibody solution should be gently mixed before use. |
| 注意事项 | For laboratory research only, not for drug, diagnostic or other use. |
生物信息
| 数据库连接 |
Swiss-port # P58389 Mouse Serine/threonine-protein phosphatase 2A activator Swiss-port # Q15257 Human Serine/threonine-protein phosphatase 2A activator |
|---|---|
| 背景介绍 | Protein phosphatase 2A is one of the four major Ser/Thr phosphatases and is implicated in the negative control of cell growth and division. Protein phosphatase 2A holoenzymes are heterotrimeric proteins composed of a structural subunit A, a catalytic subunit C, and a regulatory subunit B. The regulatory subunit is encoded by a diverse set of genes that have been grouped into the B/PR55, B'/PR61, and B''/PR72 families. These different regulatory subunits confer distinct enzymatic specificities and intracellular localizations to the holozenzyme. The product of this gene belongs to the B' family. This gene encodes a specific phosphotyrosyl phosphatase activator of the dimeric form of protein phosphatase 2A. Alternative splicing results in multiple transcript variants encoding different isoforms. [provided by RefSeq, Jul 2008] |
| 研究领域 | Signaling Transduction antibody; PP2A alpha/beta antibody; Loading control antibody |
| 预测分子量 | 41 kDa |
检测图片 (2) Click the Picture to Zoom In
-
ARG64937 anti-PP2A / PPP2R4 antibody WB image
Western blot: Human Liver lysate (lane 1), Mouse Liver (lane 2) and Rat Liver (lane 3) (35 µg protein in RIPA buffer) stained with ARG64937 anti-PP2A / PPP2R4 antibody at 0.5 µg/ml dilution.
-
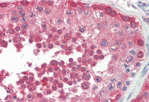
ARG64937 anti-PP2A / PPP2R4 antibody IHC-P image
Immunohistochemistry: Paraffin-embedded Human testis tissue. Antigen Retrieval: Steam tissue section in Citrate buffer (pH 6.0). The tissue section was stained with ARG64937 anti-PP2A / PPP2R4 antibody at 3.75 µg/ml dilution followed by AP-staining.

