ARG65208
anti-PON2 antibody
anti-PON2 antibody for IHC-Formalin-fixed paraffin-embedded sections,Western blot and Human
Cell Biology and Cellular Response antibody; Metabolism antibody; Neuroscience antibody; Signaling Transduction antibody
概述
| 产品描述 | Goat Polyclonal antibody recognizes PON2 |
|---|---|
| 反应物种 | Hu |
| 预测物种 | Dog, Rat, Pig |
| 应用 | IHC-P, WB |
| 特异性 | This antibody is expected to recognize isoforms 1 and 2 (NP_000296.2; NP_001018171.1). |
| 宿主 | Goat |
| 克隆 | Polyclonal |
| 同位型 | IgG |
| 靶点名称 | PON2 |
| 抗原物种 | Human |
| 抗原 | C-EKPRARELRIS |
| 偶联标记 | Un-conjugated |
| 別名 | Aromatic esterase 2; EC 3.1.1.81; A-esterase 2; Serum paraoxonase/arylesterase 2; Serum aryldialkylphosphatase 2; PON 2; EC 3.1.1.2 |
应用说明
| 应用建议 |
|
||||||
|---|---|---|---|---|---|---|---|
| 应用说明 | WB: Recommend incubate at RT for 1h. IHC-P: Antigen Retrieval: Steam tissue section in Citrate buffer (pH 6.0). * The dilutions indicate recommended starting dilutions and the optimal dilutions or concentrations should be determined by the scientist. |
属性
| 形式 | Liquid |
|---|---|
| 纯化 | Purified from goat serum by antigen affinity chromatography. |
| 缓冲液 | Tris saline (pH 7.3), 0.02% Sodium azide and 0.5% BSA. |
| 抗菌剂 | 0.02% Sodium azide |
| 稳定剂 | 0.5% BSA |
| 浓度 | 0.5 mg/ml |
| 存放说明 | For continuous use, store undiluted antibody at 2-8°C for up to a week. For long-term storage, aliquot and store at -20°C or below. Storage in frost free freezers is not recommended. Avoid repeated freeze/thaw cycles. Suggest spin the vial prior to opening. The antibody solution should be gently mixed before use. |
| 注意事项 | For laboratory research only, not for drug, diagnostic or other use. |
生物信息
| 数据库连接 | |
|---|---|
| 背景介绍 | This gene encodes a member of the paraoxonase gene family, which includes three known members located adjacent to each other on the long arm of chromosome 7. The encoded protein is ubiquitously expressed in human tissues, membrane-bound, and may act as a cellular antioxidant, protecting cells from oxidative stress. Hydrolytic activity against acylhomoserine lactones, important bacterial quorum-sensing mediators, suggests the encoded protein may also play a role in defense responses to pathogenic bacteria. Mutations in this gene may be associated with vascular disease and a number of quantitative phenotypes related to diabetes. Alternatively spliced transcript variants encoding different isoforms have been described. [provided by RefSeq, Jul 2008] |
| 研究领域 | Cell Biology and Cellular Response antibody; Metabolism antibody; Neuroscience antibody; Signaling Transduction antibody |
| 预测分子量 | 39 kDa |
| 翻译后修饰 | The signal sequence is not cleaved. |
检测图片 (2) Click the Picture to Zoom In
-
ARG65208 anti-PON2 antibody WB image
Western Blot: HepG2 lysate (35 µg protein in RIPA buffer) stained with ARG65208 anti-PON2 antibody at 0.2 µg/ml dilution.
-
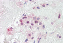
ARG65208 anti-PON2 antibody IHC-P image
Immunohistochemistry: Paraffin-embedded Human placenta tissue. Antigen Retrieval: Steam tissue section in Citrate buffer (pH 6.0). The tissue section was stained with ARG65208 anti-PON2 antibody at 3.75 µg/ml dilution followed by AP-staining.
