ARG43094
anti-POMT2 antibody
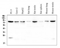
anti-POMT2 antibody for Western blot and Human,Mouse,Rat
概述
| 产品描述 | Rabbit Polyclonal antibody recognizes POMT2 |
|---|---|
| 反应物种 | Hu, Ms, Rat |
| 应用 | WB |
| 宿主 | Rabbit |
| 克隆 | Polyclonal |
| 同位型 | IgG |
| 靶点名称 | POMT2 |
| 抗原物种 | Human |
| 抗原 | Synthetic peptide corresponding to a sequence of Human POMT2. (QAARAAGRDVAAEAVARSPKR) |
| 偶联标记 | Un-conjugated |
| 別名 | Dolichyl-phosphate-mannose--protein mannosyltransferase 2; EC 2.4.1.109; MDDGB2; LGMD2N; MDDGA2; MDDGC2; Protein O-mannosyl-transferase 2 |
应用说明
| 应用建议 |
|
||||
|---|---|---|---|---|---|
| 应用说明 | * The dilutions indicate recommended starting dilutions and the optimal dilutions or concentrations should be determined by the scientist. | ||||
| 实际分子量 | ~ 84 kDa |
属性
| 形式 | Liquid |
|---|---|
| 纯化 | Affinity purification with immunogen. |
| 缓冲液 | 0.2% Na2HPO4, 0.9% NaCl, 0.05% Sodium azide and 4% Trehalose. |
| 抗菌剂 | 0.05% Sodium azide |
| 稳定剂 | 4% Trehalose |
| 浓度 | 0.5 mg/ml |
| 存放说明 | For continuous use, store undiluted antibody at 2-8°C for up to a week. For long-term storage, aliquot and store at -20°C or below. Storage in frost free freezers is not recommended. Avoid repeated freeze/thaw cycles. Suggest spin the vial prior to opening. The antibody solution should be gently mixed before use. |
| 注意事项 | For laboratory research only, not for drug, diagnostic or other use. |
生物信息
| 数据库连接 | |
|---|---|
| 基因名称 | POMT2 |
| 全名 | protein-O-mannosyltransferase 2 |
| 背景介绍 | The protein encoded by this gene is an O-mannosyltransferase that requires interaction with the product of the POMT1 gene for enzymatic function. The encoded protein is found in the membrane of the endoplasmic reticulum. Defects in this gene are a cause of Walker-Warburg syndrome (WWS). [provided by RefSeq, Oct 2008] |
| 生物功能 | Transfers mannosyl residues to the hydroxyl group of serine or threonine residues. Coexpression of both POMT1 and POMT2 is necessary for enzyme activity, expression of either POMT1 or POMT2 alone is insufficient (PubMed:14699049, PubMed:28512129). Essentially dedicated to O-mannosylation of alpha-DAG1 and few other proteins but not of cadherins and protocaherins (PubMed:28512129). [UniProt] |
| 细胞定位 | Endoplasmic reticulum membrane; Multi-pass membrane protein. [UniProt] |
| 预测分子量 | 84 kDa |
| 翻译后修饰 | N-glycosylated. [UniProt] |
检测图片 (1) Click the Picture to Zoom In
