ARG45674
anti-POGLUT1 antibody
anti-POGLUT1 antibody for ICC/IF,IHC-Formalin-fixed paraffin-embedded sections,Western blot and Human,Mouse
概述
| 产品描述 | Rabbit Polyclonal antibody recognizes POGLUT1 |
|---|---|
| 反应物种 | Hu, Ms |
| 应用 | ICC/IF, IHC-P, WB |
| 宿主 | Rabbit |
| 克隆 | Polyclonal |
| 同位型 | IgG |
| 靶点名称 | POGLUT1 |
| 抗原物种 | Human |
| 抗原 | Synthetic peptide corresponding to C-terminal region of human POGLUT1. |
| 偶联标记 | Un-conjugated |
| 別名 | POGLUT1; Protein O-Glucosyltransferase 1; HCLP46; MDSRP; 9630046K23Rik; KDELCL1; MDS010; C3orf9; KTELC1; Rumi; Myelodysplastic Syndromes Relative Protein; Protein O-Xylosyltransferase POGLUT1; KTEL (Lys-Tyr-Glu-Leu) Containing 1; O-Glucosyltransferase Rumi Homolog; KTEL Motif-Containing Protein 1; CAP10-Like 46 KDa Protein; KDELC Family Like 1; MGC32995; CLP46; HRumi; Chromosome 3 Open Reading Frame 9; X 010 Protein; EC 2.4.1.376; EC 2.4.2.63; LGMDR21; LGMD2Z |
应用说明
| 应用建议 |
|
||||||||
|---|---|---|---|---|---|---|---|---|---|
| 应用说明 | * The dilutions indicate recommended starting dilutions and the optimal dilutions or concentrations should be determined by the scientist. |
属性
| 形式 | Liquid |
|---|---|
| 纯化 | Affinity purified |
| 缓冲液 | 0.2% Na2HPO4, 0.9% NaCl and 4% Trehalose. |
| 稳定剂 | 4% Trehalose |
| 浓度 | 0.5 mg/ml |
| 存放说明 | For continuous use, store undiluted antibody at 2-8°C for up to a week. For long-term storage, aliquot and store at -20°C or below. Storage in frost free freezers is not recommended. Avoid repeated freeze/thaw cycles. Suggest spin the vial prior to opening. The antibody solution should be gently mixed before use. |
| 注意事项 | For laboratory research only, not for drug, diagnostic or other use. |
生物信息
| 数据库连接 | |
|---|---|
| 基因名称 | POGLUT1 |
| 全名 | Protein O-Glucosyltransferase 1 |
| 背景介绍 | This gene encodes a protein with both O-glucosyltransferase and O-xylosyltransferase activity which localizes to the lumen of the endoplasmic reticulum. This protein has a carboxy-terminal KTEL motif which is predicted to function as an endoplasmic reticulum retention signal. This gene is an essential regulator of Notch signalling and likely plays a role in cell fate and tissue formation during development. It may also play a role in the pathogenesis of leukemia. Mutations in this gene have been associated with the autosomal dominant genodermatosis Dowling-Degos disease 4. Alternative splicing results in multiple transcript variants. [provided by RefSeq, Apr 2014] |
| 生物功能 | Dual specificity glycosyltransferase that catalyzes the transfer of glucose and xylose from UDP-glucose and UDP-xylose, respectively, to a serine residue found in the consensus sequence of C-X-S-X-P-C. [UniProt] |
| 细胞定位 | Endoplasmic reticulum. [UniProt] |
| 预测分子量 | 46 kDa |
| 翻译后修饰 | Disulfide bond; Glycoprotein. [UniProt] |
检测图片 (4) Click the Picture to Zoom In
-
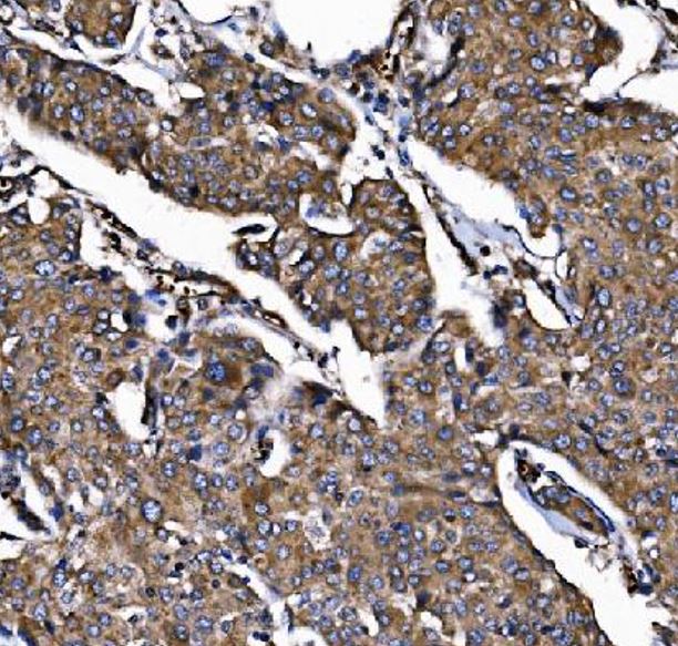
ARG45674 anti-POGLUT1 antibody IHC-P image
Immunohistochemistry: Human breast cancer stained with ARG45674 anti-POGLUT1 antibody at 2 μg/ml dilution.
-
ARG45674 anti-POGLUT1 antibody ICC/IF image
Immunofluorescence: T-47D stained with ARG45674 anti-POGLUT1 antibody at 5 μg/ml dilution.
-
ARG45674 anti-POGLUT1 antibody WB image
Western blot: HL-60 and HepG2 stained with ARG45674 anti-POGLUT1 antibody at 0.5 μg/ml dilution.
-
ARG45674 anti-POGLUT1 antibody WB image
Western blot: Mouse thymus stained with ARG45674 anti-POGLUT1 antibody at 0.5 μg/ml dilution.
