ARG43101
anti-PNPT1 antibody
anti-PNPT1 antibody for Flow cytometry,ICC/IF,IHC-Formalin-fixed paraffin-embedded sections,Western blot and Human,Mouse,Rat
概述
| 产品描述 | Rabbit Polyclonal antibody recognizes PNPT1 |
|---|---|
| 反应物种 | Hu, Ms, Rat |
| 应用 | FACS, ICC/IF, IHC-P, WB |
| 宿主 | Rabbit |
| 克隆 | Polyclonal |
| 同位型 | IgG |
| 靶点名称 | PNPT1 |
| 抗原物种 | Human |
| 抗原 | Recombinant protein corresponding to M1-Q257 of Human PNPT1. |
| 偶联标记 | Un-conjugated |
| 別名 | OLD35; COXPD13; PNPASE; PNPase old-35; old-35; Polyribonucleotide nucleotidyltransferase 1, mitochondrial; Polynucleotide phosphorylase 1; EC 2.7.7.8; 3'-5' RNA exonuclease OLD35; DFNB70; PNPase 1; Polynucleotide phosphorylase-like protein |
应用说明
| 应用建议 |
|
||||||||||
|---|---|---|---|---|---|---|---|---|---|---|---|
| 应用说明 | IHC-P: Antigen Retrieval: Heat mediation was performed in EDTA buffer (pH 8.0). * The dilutions indicate recommended starting dilutions and the optimal dilutions or concentrations should be determined by the scientist. |
||||||||||
| 实际分子量 | ~ 85 kDa |
属性
| 形式 | Liquid |
|---|---|
| 纯化 | Affinity purification with immunogen. |
| 缓冲液 | 0.2% Na2HPO4, 0.9% NaCl, 0.01% Sodium azide and 4% Trehalose. |
| 抗菌剂 | 0.01% Sodium azide |
| 稳定剂 | 4% Trehalose |
| 浓度 | 0.5 mg/ml |
| 存放说明 | For continuous use, store undiluted antibody at 2-8°C for up to a week. For long-term storage, aliquot and store at -20°C or below. Storage in frost free freezers is not recommended. Avoid repeated freeze/thaw cycles. Suggest spin the vial prior to opening. The antibody solution should be gently mixed before use. |
| 注意事项 | For laboratory research only, not for drug, diagnostic or other use. |
生物信息
| 数据库连接 |
Swiss-port # Q8K1R3 Mouse Polyribonucleotide nucleotidyltransferase 1, mitochondrial Swiss-port # Q8TCS8 Human Polyribonucleotide nucleotidyltransferase 1, mitochondrial |
|---|---|
| 基因名称 | PNPT1 |
| 全名 | polyribonucleotide nucleotidyltransferase 1 |
| 背景介绍 | The protein encoded by this gene belongs to the evolutionary conserved polynucleotide phosphorylase family comprised of phosphate dependent 3'-to-5' exoribonucleases implicated in RNA processing and degradation. This enzyme is predominantly localized in the mitochondrial intermembrane space and is involved in import of RNA to mitochondria. Mutations in this gene have been associated with combined oxidative phosphorylation deficiency-13 and autosomal recessive nonsyndromic deafness-70. Related pseudogenes are found on chromosomes 3 and 7. [provided by RefSeq, Dec 2012] |
| 生物功能 | RNA-binding protein implicated in numerous RNA metabolic processes. Catalyzes the phosphorolysis of single-stranded polyribonucleotides processively in the 3'-to-5' direction. Mitochondrial intermembrane factor with RNA-processing exoribonulease activity. Component of the mitochondrial degradosome (mtEXO) complex, that degrades 3' overhang double-stranded RNA with a 3'-to-5' directionality in an ATP-dependent manner. Involved in the degradation of non-coding mitochondrial transcripts (MT-ncRNA) and tRNA-like molecules (PubMed:29967381). Required for correct processing and polyadenylation of mitochondrial mRNAs. Plays a role as a cytoplasmic RNA import factor that mediates the translocation of small RNA components, like the 5S RNA, the RNA subunit of ribonuclease P and the mitochondrial RNA-processing (MRP) RNA, into the mitochondrial matrix. Plays a role in mitochondrial morphogenesis and respiration; regulates the expression of the electron transport chain (ETC) components at the mRNA and protein levels. In the cytoplasm, shows a 3'-to-5' exoribonuclease mediating mRNA degradation activity; degrades c-myc mRNA upon treatment with IFNB1/IFN-beta, resulting in a growth arrest in melanoma cells. Regulates the stability of specific mature miRNAs in melanoma cells; specifically and selectively degrades miR-221, preferentially. Plays also a role in RNA cell surveillance by cleaning up oxidized RNAs. Binds to the RNA subunit of ribonuclease P, MRP RNA and miR-221 microRNA. [UniProt] |
| 细胞定位 | Cytoplasm. Mitochondrion. Mitochondrion intermembrane space; Peripheral membrane protein. [UniProt] |
| 预测分子量 | 86 kDa |
检测图片 (7) Click the Picture to Zoom In
-
ARG43101 anti-PNPT1 antibody ICC/IF image
Immunofluorescence: A431 cells were blocked with 10% goat serum and then stained with ARG43101 anti-PNPT1 antibody (red) at 4 µg/ml dilution, overnight at 4°C. DAPI (blue) for nuclear staining.
-
ARG43101 anti-PNPT1 antibody IHC-P image
Immunohistochemistry: Paraffin-embedded Rat brain tissue. Antigen Retrieval: Heat mediation was performed in EDTA buffer (pH 8.0). The tissue section was blocked with 10% goat serum. The tissue section was then stained with ARG43101 anti-PNPT1 antibody at 1 µg/ml dilution, overnight at 4°C.
-
ARG43101 anti-PNPT1 antibody WB image
Western blot: 50 µg of sample under reducing conditions. Rat brain, Rat kidney, C6, Mouse brain, Mouse kidney, Neuro-2a, K562 and THP-1 whole cell lysates stained with ARG43101 anti-PNPT1 antibody at 0.25 µg/ml dilution, overnight at 4°C.
-
ARG43101 anti-PNPT1 antibody FACS image
Flow Cytometry: THP-1 cells were blocked with 10% normal goat serum and then stained with ARG43101 anti-PNPT1 antibody (blue) at 1 µg/10^6 cells for 30 min at 20°C, followed by incubation with DyLight®488 labelled secondary antibody. Isotype control antibody (green) was rabbit IgG (1 µg/10^6 cells) used under the same conditions. Unlabelled sample (red) was also used as a control.
-
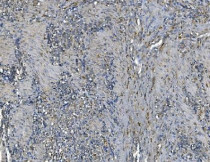
ARG43101 anti-PNPT1 antibody IHC-P image
Immunohistochemistry: Paraffin-embedded Human gastric cancer tissue. Antigen Retrieval: Heat mediation was performed in EDTA buffer (pH 8.0). The tissue section was blocked with 10% goat serum. The tissue section was then stained with ARG43101 anti-PNPT1 antibody at 1 µg/ml dilution, overnight at 4°C.
-
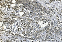
ARG43101 anti-PNPT1 antibody IHC-P image
Immunohistochemistry: Paraffin-embedded Human breast cancer tissue. Antigen Retrieval: Heat mediation was performed in EDTA buffer (pH 8.0). The tissue section was blocked with 10% goat serum. The tissue section was then stained with ARG43101 anti-PNPT1 antibody at 1 µg/ml dilution, overnight at 4°C.
-
ARG43101 anti-PNPT1 antibody IHC-P image
Immunohistochemistry: Paraffin-embedded Human tonsil tissue. Antigen Retrieval: Heat mediation was performed in EDTA buffer (pH 8.0). The tissue section was blocked with 10% goat serum. The tissue section was then stained with ARG43101 anti-PNPT1 antibody at 1 µg/ml dilution, overnight at 4°C.
