ARG45397
anti-PLS1 antibody
anti-PLS1 antibody for Flow cytometry,ICC/IF,IHC-Formalin-fixed paraffin-embedded sections,Western blot and Human,Mouse,Rat
概述
| 产品描述 | Rabbit Polyclonal antibody recognizes PLS1 |
|---|---|
| 反应物种 | Hu, Ms, Rat |
| 应用 | FACS, ICC/IF, IHC-P, WB |
| 宿主 | Rabbit |
| 克隆 | Polyclonal |
| 同位型 | IgG |
| 靶点名称 | PLS1 |
| 抗原物种 | Human |
| 抗原 | Recombinant protein containing to human PLS1. |
| 偶联标记 | Un-conjugated |
| 別名 | PLS1; Plastin 1; Plastin-1; I-Plastin; Fimbrin; Intestine Specific Plastin; Intestine-Specific Plastin; Plastin 1 (I Isoform); I Plastin; DFNA76 |
应用说明
| 应用建议 |
|
||||||||||
|---|---|---|---|---|---|---|---|---|---|---|---|
| 应用说明 | * The dilutions indicate recommended starting dilutions and the optimal dilutions or concentrations should be determined by the scientist. | ||||||||||
| 实际分子量 | 70 kDa |
属性
| 形式 | Liquid |
|---|---|
| 纯化 | Affinity purified |
| 缓冲液 | 0.2% Na2HPO4, 0.9% NaCl and 4% Trehalose. |
| 稳定剂 | 4% Trehalose |
| 浓度 | 0.5 mg/ml |
| 存放说明 | For continuous use, store undiluted antibody at 2-8°C for up to a week. For long-term storage, aliquot and store at -20°C or below. Storage in frost free freezers is not recommended. Avoid repeated freeze/thaw cycles. Suggest spin the vial prior to opening. The antibody solution should be gently mixed before use. |
| 注意事项 | For laboratory research only, not for drug, diagnostic or other use. |
生物信息
| 数据库连接 | |
|---|---|
| 基因名称 | PLS1 |
| 全名 | Plastin 1 |
| 背景介绍 | Plastins are a family of actin-binding proteins that are conserved throughout eukaryote evolution and expressed in most tissues of higher eukaryotes. In humans, two ubiquitous plastin isoforms (L and T) have been identified. The protein encoded by this gene is a third distinct plastin isoform, which is specifically expressed at high levels in the small intestine. Alternatively spliced transcript variants varying in the 5' UTR, but encoding the same protein, have been found for this gene. A pseudogene of this gene is found on chromosome 11.[provided by RefSeq, Feb 2010] |
| 生物功能 | Actin-bundling protein. In the inner ear, it is required for stereocilia formation. Mediates liquid packing of actin filaments that is necessary for stereocilia to grow to their proper dimensions. [UniProt] |
| 细胞定位 | Cell projection; Cytoplasm. [UniProt] |
| 预测分子量 | 70 kDa |
| 翻译后修饰 | Acetylation; Phosphoprotein. [UniProt] |
检测图片 (6) Click the Picture to Zoom In
-
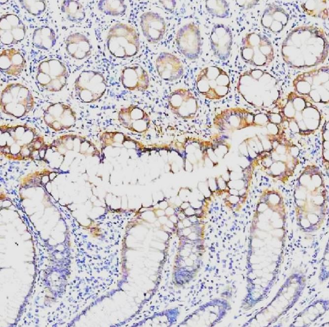
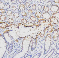
ARG45397 anti-PLS1 antibody IHC-P image
Immunohistochemistry: Human colon stained with ARG45397 anti-PLS1 antibody at 1 μg/ml dilution.
-
ARG45397 anti-PLS1 antibody ICC/IF image
Immunofluorescence: A549 stained with ARG45397 anti-PLS1 antibody at 5 μg/ml dilution.
-
ARG45397 anti-PLS1 antibody WB image
Western blot: A431 stained with ARG45397 anti-PLS1 antibody at 0.5 μg/ml dilution.
-
ARG45397 anti-PLS1 antibody FACS image
Flow Cytometry: RT4 stained with ARG45397 anti-PLS1 antibody at 1 µg/10^6 cells dilution.
-
ARG45397 anti-PLS1 antibody WB image
Western blot: Rat small intestine stained with ARG45397 anti-PLS1 antibody at 0.5 μg/ml dilution.
-
ARG45397 anti-PLS1 antibody WB image
Western blot: Mouse small intestine stained with ARG45397 anti-PLS1 antibody at 0.5 μg/ml dilution.
