ARG45605
anti-PLP2 antibody
anti-PLP2 antibody for Flow cytometry,IHC-Formalin-fixed paraffin-embedded sections,Western blot and Human
概述
| 产品描述 | Rabbit Polyclonal antibody recognizes PLP2 |
|---|---|
| 反应物种 | Hu |
| 应用 | FACS, IHC-P, WB |
| 宿主 | Rabbit |
| 克隆 | Polyclonal |
| 同位型 | IgG |
| 靶点名称 | PLP2 |
| 抗原物种 | Human |
| 抗原 | Recombinant protein containing to human PLP2. |
| 偶联标记 | Un-conjugated |
| 別名 | PLP2; Proteolipid Protein 2; A4; Proteolipid Protein 2 (Colonic Epithelium-Enriched); A4 Differentiation-Dependent Protein; Differentiation-Dependent Protein A4; Intestinal Membrane A4 Protein; MGC126187; A4-LSB; A4LSB |
应用说明
| 应用建议 |
|
||||||||
|---|---|---|---|---|---|---|---|---|---|
| 应用说明 | * The dilutions indicate recommended starting dilutions and the optimal dilutions or concentrations should be determined by the scientist. |
属性
| 形式 | Liquid |
|---|---|
| 纯化 | Affinity purified |
| 缓冲液 | 0.2% Na2HPO4, 0.9% NaCl and 4% Trehalose. |
| 稳定剂 | 4% Trehalose |
| 浓度 | 0.5 mg/ml |
| 存放说明 | For continuous use, store undiluted antibody at 2-8°C for up to a week. For long-term storage, aliquot and store at -20°C or below. Storage in frost free freezers is not recommended. Avoid repeated freeze/thaw cycles. Suggest spin the vial prior to opening. The antibody solution should be gently mixed before use. |
| 注意事项 | For laboratory research only, not for drug, diagnostic or other use. |
生物信息
| 数据库连接 | |
|---|---|
| 基因名称 | PLP2 |
| 全名 | Proteolipid Protein 2 |
| 背景介绍 | This gene encodes an integral membrane protein that localizes to the endoplasmic reticulum in colonic epithelial cells. The encoded protein can multimerize and may function as an ion channel. A polymorphism in the promoter of this gene may be linked to an increased risk of X-linked cognitive disability. A pseudogene of this gene is found on chromosome 5. [provided by RefSeq, Jan 2010] |
| 生物功能 | May play a role in cell differentiation in the intestinal epithelium. [UniProt] |
| 细胞定位 | Membrane. [UniProt] |
| 预测分子量 | 86 kDa |
| 翻译后修饰 | Glycoprotein. [UniProt] |
检测图片 (3) Click the Picture to Zoom In
-
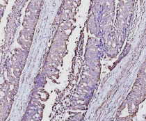
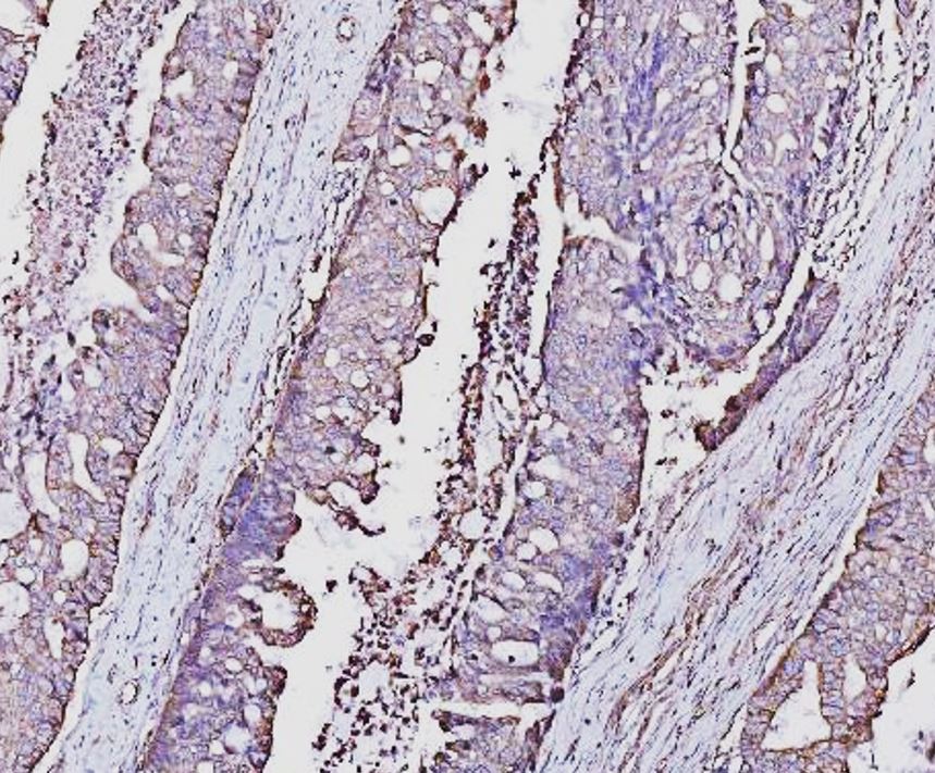
ARG45605 anti-PLP2 antibody IHC-P image
Immunohistochemistry: Human adenocarcinoma of the right colon stained with ARG45605 anti-PLP2 antibody at 2 μg/ml dilution.
-
ARG45605 anti-PLP2 antibody WB image
Western blot: A431 stained with ARG45605 anti-PLP2 antibody at 0.5 μg/ml dilution.
-
ARG45605 anti-PLP2 antibody FACS image
Flow Cytometry: Daudi stained with ARG45605 anti-PLP2 antibody at 1 µg/10^6 cells dilution.
