ARG43916
anti-PLEKHA1 / TAPP1 antibody
anti-PLEKHA1 / TAPP1 antibody for ELISA,Flow cytometry,ICC/IF,IHC-Formalin-fixed paraffin-embedded sections,Western blot and Human
概述
| 产品描述 | Rabbit Polyclonal antibody recognizes PLEKHA1 / TAPP1 |
|---|---|
| 反应物种 | Hu |
| 应用 | ELISA, FACS, ICC/IF, IHC-P, WB |
| 宿主 | Rabbit |
| 克隆 | Polyclonal |
| 同位型 | IgG |
| 靶点名称 | PLEKHA1 / TAPP1 |
| 抗原物种 | Human |
| 抗原 | Human PLEKHA1 / TAPP1 recombinant protein |
| 表达系统 | E.coli |
| 偶联标记 | Un-conjugated |
| Protein Full name | Pleckstrin homology domain-containing family A member 1 |
| 別名 | PLEKHA1; Pleckstrin Homology Domain Containing A1; TAPP1; Pleckstrin Homology Domain Containing, Family A (Phosphoinositide Binding Specific) Member 1; Pleckstrin Homology Domain-Containing Family A Member 1; Tandem PH Domain-Containing Protein 1; Pleckstrin Homology Domain-Containing, Family A (Phosphoinositide Binding Specific) Member 1; PH Domain-Containing Family A Member 1; Tandem PH Domain Containing Protein-1; TAP |
应用说明
| 应用建议 |
|
||||||||||||
|---|---|---|---|---|---|---|---|---|---|---|---|---|---|
| 应用说明 | * The dilutions indicate recommended starting dilutions and the optimal dilutions or concentrations should be determined by the scientist. |
属性
| 形式 | Liquid |
|---|---|
| 纯化 | Affinity purified with Immunogen. |
| 缓冲液 | 0.9% NaCl, 0.2% Na2HPO4 and 4% Trehalose. |
| 稳定剂 | 4% Trehalose |
| 浓度 | 0.5 mg/ml |
| 存放说明 | For continuous use, store undiluted antibody at 2-8°C for up to a week. For long-term storage, aliquot and store at -20°C or below. Storage in frost free freezers is not recommended. Avoid repeated freeze/thaw cycles. Suggest spin the vial prior to opening. The antibody solution should be gently mixed before use. |
| 注意事项 | For laboratory research only, not for drug, diagnostic or other use. |
生物信息
| 数据库连接 |
Swiss-port # Q9HB21 Human Pleckstrin homology domain-containing family A member 1 |
|---|---|
| 基因名称 | PLEKHA1 |
| 全名 | Pleckstrin Homology Domain Containing A1 |
| 背景介绍 | This gene encodes a pleckstrin homology domain-containing adapter protein. The encoded protein is localized to the plasma membrane where it specifically binds phosphatidylinositol 3,4-bisphosphate. This protein may be involved in the formation of signaling complexes in the plasma membrane. Polymorphisms in this gene are associated with age-related macular degeneration. Alternate splicing results in multiple transcript variants. A pseudogene of this gene is found on chromosome 5. |
| 生物功能 | Binds specifically to phosphatidylinositol 3,4-diphosphate (PtdIns3,4P2), but not to other phosphoinositides. May recruit other proteins to the plasma membrane. |
| 细胞定位 | Cell membrane, Cytoplasm, Membrane, Nucleus |
| 预测分子量 | 46 kDa |
| 翻译后修饰 | Phosphoprotein |
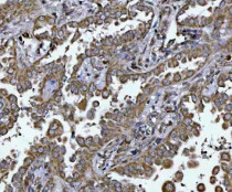
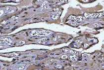
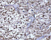
检测图片 (5) Click the Picture to Zoom In
-
ARG43916 anti-PLEKHA1 / TAPP1 antibody IHC-P image
Immunohistochemistry: Human placenta tissue stained with ARG43916 anti-PLEKHA1 / TAPP1 antibody at 2 μg/ml dilution.
-
ARG43916 anti-PLEKHA1 / TAPP1 antibody WB image
Western blot: Jurkat lung stained with ARG43916 anti-PLEKHA1 / TAPP1 antibody at 0.5 μg/mL dilution.
-
ARG43916 anti-PLEKHA1 / TAPP1 antibody ICC/IF image
Immunofluorescence: A431 cells stained with ARG43916 anti-PLEKHA1 / TAPP1 antibody at 5 μg/ml dilution.
-
ARG43916 anti-PLEKHA1 / TAPP1 antibody IHC-P image
Immunohistochemistry: Human lung cancer tissue stained with ARG43916 anti-PLEKHA1 / TAPP1 antibody at 2 μg/ml dilution.
-
ARG43916 anti-PLEKHA1 / TAPP1 antibody IHC-P image
Immunohistochemistry: Human invasive urothelial carcinoma tissue stained with ARG43916 anti-PLEKHA1 / TAPP1 antibody at 2 μg/ml dilution.
