ARG51761
anti-PKR phospho (Thr446) antibody
anti-PKR phospho (Thr446) antibody for ICC/IF,IHC-Formalin-fixed paraffin-embedded sections,Western blot and Human,Mouse
Gene Regulation antibody; Signaling Transduction antibody
概述
| 产品描述 | Rabbit Polyclonal antibody recognizes PKR phospho (Thr446) |
|---|---|
| 反应物种 | Hu, Ms |
| 应用 | ICC/IF, IHC-P, WB |
| 宿主 | Rabbit |
| 克隆 | Polyclonal |
| 同位型 | IgG |
| 靶点名称 | PKR |
| 抗原物种 | Human |
| 抗原 | Peptide sequence around phosphorylation site of threonine 446 (K-R-T(p)-R-S) derived from Human PKR. |
| 偶联标记 | Un-conjugated |
| 別名 | PKR; Interferon-inducible RNA-dependent protein kinase; Tyrosine-protein kinase EIF2AK2; p68 kinase; Eukaryotic translation initiation factor 2-alpha kinase 2; EIF2AK1; Protein kinase R; P1/eIF-2A protein kinase; PRKR; Protein kinase RNA-activated; PPP1R83; Interferon-induced, double-stranded RNA-activated protein kinase; EC 2.7.11.1; eIF-2A protein kinase 2; EC 2.7.10.2 |
应用说明
| 应用建议 |
|
||||||||
|---|---|---|---|---|---|---|---|---|---|
| 应用说明 | * The dilutions indicate recommended starting dilutions and the optimal dilutions or concentrations should be determined by the scientist. |
属性
| 形式 | Liquid |
|---|---|
| 纯化 | Antibodies were produced by immunizing rabbits with KLH-conjugated synthetic phosphopeptide. Antibodies were purified by affinity-chromatography using epitope-specific phosphopeptide. In addition, non-phospho specific antibodies were removed by chromatogramphy using non-phosphopeptide. |
| 缓冲液 | PBS (without Mg2+ and Ca2+, pH 7.4), 150mM NaCl, 0.02% Sodium azide and 50% Glycerol. |
| 抗菌剂 | 0.02% Sodium azide |
| 稳定剂 | 50% Glycerol |
| 浓度 | 1 mg/ml |
| 存放说明 | For continuous use, store undiluted antibody at 2-8°C for up to a week. For long-term storage, aliquot and store at -20°C. Storage in frost free freezers is not recommended. Avoid repeated freeze/thaw cycles. Suggest spin the vial prior to opening. The antibody solution should be gently mixed before use. |
| 注意事项 | For laboratory research only, not for drug, diagnostic or other use. |
生物信息
| 数据库连接 |
Swiss-port # P19525 Human Interferon-induced, double-stranded RNA-activated protein kinase Swiss-port # Q03963 Mouse Interferon-induced, double-stranded RNA-activated protein kinase |
|---|---|
| 基因名称 | EIF2AK2 |
| 全名 | eukaryotic translation initiation factor 2-alpha kinase 2 |
| 背景介绍 | Following activation by double-stranded RNA in the presence of ATP, the kinase becomes autophosphorylated and can catalyze the phosphorylation of the translation initiation factor EIF2S1, which leads to an inhibition of the initiation of protein synthesis. Double-stranded RNA is generated during the course of a viral infection. |
| 生物功能 | IFN-induced dsRNA-dependent serine/threonine-protein kinase which plays a key role in the innate immune response to viral infection and is also involved in the regulation of signal transduction, apoptosis, cell proliferation and differentiation. Exerts its antiviral activity on a wide range of DNA and RNA viruses including hepatitis C virus (HCV), hepatitis B virus (HBV), measles virus (MV) and herpes simplex virus 1 (HHV-1). Inhibits viral replication via phosphorylation of the alpha subunit of eukaryotic initiation factor 2 (EIF2S1), this phosphorylation impairs the recycling of EIF2S1 between successive rounds of initiation leading to inhibition of translation which eventually results in shutdown of cellular and viral protein synthesis. Also phosphorylates other substrates including p53/TP53, PPP2R5A, DHX9, ILF3, IRS1 and the HHV-1 viral protein US11. In addition to serine/threonine-protein kinase activity, also has tyrosine-protein kinase activity and phosphorylates CDK1 at 'Tyr-4' upon DNA damage, facilitating its ubiquitination and proteosomal degradation. Either as an adapter protein and/or via its kinase activity, can regulate various signaling pathways (p38 MAP kinase, NF-kappa-B and insulin signaling pathways) and transcription factors (JUN, STAT1, STAT3, IRF1, ATF3) involved in the expression of genes encoding proinflammatory cytokines and IFNs. Activates the NF-kappa-B pathway via interaction with IKBKB and TRAF family of proteins and activates the p38 MAP kinase pathway via interaction with MAP2K6. Can act as both a positive and negative regulator of the insulin signaling pathway (ISP). Negatively regulates ISP by inducing the inhibitory phosphorylation of insulin receptor substrate 1 (IRS1) at 'Ser-312' and positively regulates ISP via phosphorylation of PPP2R5A which activates FOXO1, which in turn up-regulates the expression of insulin receptor substrate 2 (IRS2). Can regulate NLRP3 inflammasome assembly and the activation of NLRP3, NLRP1, AIM2 and NLRC4 inflammasomes. Can trigger apoptosis via FADD-mediated activation of CASP8. Plays a role in the regulation of the cytoskeleton by binding to gelsolin (GSN), sequestering the protein in an inactive conformation away from actin. [UniProt] |
| 研究领域 | Gene Regulation antibody; Signaling Transduction antibody |
| 预测分子量 | 62 kDa |
| 翻译后修饰 | Autophosphorylated on several Ser, Thr and Tyr residues. Autophosphorylation of Thr-451 is dependent on Thr-446 and is stimulated by dsRNA binding and dimerization. Autophosphorylation apparently leads to the activation of the kinase. Tyrosine autophosphorylation is essential for efficient dsRNA-binding, dimerization, and kinase activation. |
检测图片 (5) Click the Picture to Zoom In
-
ARG51761 anti-PKR phospho (Thr446) antibody ICC/IF image
Immunofluorescence: N2a stained with ARG51761 anti-PKR phospho (Thr446) antibody.
From Shi J et al. J Virol. (2022), doi: 10.1128/JVI.01695-21, Fig. 9. H.
-
ARG51761 anti-PKR phospho (Thr446) antibody WB image
Western blot: Mouse brain stained with ARG51761 anti-PKR phospho (Thr446) antibody.
From Shi J et al. J Virol. (2022), doi: 10.1128/JVI.01695-21, Fig. 9. H.
-
ARG51761 anti-PKR phospho (Thr446) antibody WB image
Western blot: Extracts from K562 cells stained with ARG51761 anti-PKR phospho (Thr446) antibody (Lane 2) and the same antibody preincubated with blocking peptide (Lane1).
-
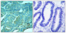
ARG51761 anti-PKR phospho (Thr446) antibody IHC-P image
Immunohistochemistry: Paraffin-embedded Human colon carcinoma tissue stained with ARG51761 anti-PKR phospho (Thr446) antibody (left) or the same antibody preincubated with blocking peptide (right).
-
ARG51761 anti-PKR phospho (Thr446) antibody ICC/IF image
Immunofluorescence: methanol-fixed HeLa cells stained with ARG51761 anti-PKR phospho (Thr446) antibody.

