ARG51668
anti-PKC beta I phospho (Thr641) antibody
anti-PKC beta I phospho (Thr641) antibody for ICC/IF,IHC-Formalin-fixed paraffin-embedded sections,Western blot and Human,Mouse,Rat
Cell Biology and Cellular Response antibody; Signaling Transduction antibody
概述
| 产品描述 | Rabbit Polyclonal antibody recognizes PKC beta I phospho (Thr641) |
|---|---|
| 反应物种 | Hu, Ms, Rat |
| 应用 | ICC/IF, IHC-P, WB |
| 宿主 | Rabbit |
| 克隆 | Polyclonal |
| 同位型 | IgG |
| 靶点名称 | PKC beta I |
| 抗原物种 | Human |
| 抗原 | Peptide sequence around phosphorylation site of threonine 641 (E-L-T(p)-P-T) derived from Human PKCβI |
| 偶联标记 | Un-conjugated |
| 別名 | PKC-beta; Protein kinase C beta type; PKCB; PKC-B; EC 2.7.11.13; PRKCB1; PRKCB2 |
应用说明
| 应用建议 |
|
||||||||
|---|---|---|---|---|---|---|---|---|---|
| 应用说明 | * The dilutions indicate recommended starting dilutions and the optimal dilutions or concentrations should be determined by the scientist. |
属性
| 形式 | Liquid |
|---|---|
| 纯化 | Antibodies were produced by immunizing rabbits with KLH-conjugated synthetic peptide. Antibodies were purified by affinity-chromatography using epitope-specific peptide. |
| 缓冲液 | PBS (without Mg2+ and Ca2+, pH 7.4), 150mM NaCl, 0.02% Sodium azide and 50% Glycerol. |
| 抗菌剂 | 0.02% Sodium azide |
| 稳定剂 | 50% Glycerol |
| 浓度 | 1 mg/ml |
| 存放说明 | For continuous use, store undiluted antibody at 2-8°C for up to a week. For long-term storage, aliquot and store at -20°C. Storage in frost free freezers is not recommended. Avoid repeated freeze/thaw cycles. Suggest spin the vial prior to opening. The antibody solution should be gently mixed before use. |
| 注意事项 | For laboratory research only, not for drug, diagnostic or other use. |
生物信息
| 数据库连接 | |
|---|---|
| 基因名称 | PRKCB |
| 全名 | protein kinase C, beta |
| 背景介绍 | Calcium-activated and phospholipid-dependent serine/threonine-protein kinase involved in various processes such as regulation of the B-cell receptor (BCR) signalosome, apoptosis and transcription regulation. Plays a key role in B-cell activation and function by regulating BCR-induced NF-kappa-B activation and B-cell suvival. Required for recruitment and activation of the IKK kinase to lipid rafts and mediates phosphorylation of CARD11/CARMA1 at 'Ser-559', 'Ser-644' and 'Ser-652', leading to activate the NF-kappa-B signaling. Involved in apoptosis following oxidative damage: in case of oxidative conditions, specifically phosphorylates 'Ser-36' of isoform p66Shc of SHC1, leading to mitochondrial accumulation of p66Shc, where p66Shc acts as a reactive oxygen species producer. Acts as a coactivator of androgen receptor (ANDR)-dependent transcription, by being recruited to ANDR target genes and specifically mediating phosphorylation of 'Thr-6' of histone H3 (H3T6ph), a specific tag for epigenetic transcriptional activation that prevents demethylation of histone H3 'Lys-4' (H3K4me) by LSD1/KDM1A. Also involved in triglyceride homeostasis. Serves as the receptor for phorbol esters, a class of tumor promoters. |
| 生物功能 | Calcium-activated, phospholipid- and diacylglycerol (DAG)-dependent serine/threonine-protein kinase involved in various cellular processes such as regulation of the B-cell receptor (BCR) signalosome, oxidative stress-induced apoptosis, androgen receptor-dependent transcription regulation, insulin signaling and endothelial cells proliferation. Plays a key role in B-cell activation by regulating BCR-induced NF-kappa-B activation. Mediates the activation of the canonical NF-kappa-B pathway (NFKB1) by direct phosphorylation of CARD11/CARMA1 at 'Ser-559', 'Ser-644' and 'Ser-652'. Phosphorylation induces CARD11/CARMA1 association with lipid rafts and recruitment of the BCL10-MALT1 complex as well as MAP3K7/TAK1, which then activates IKK complex, resulting in nuclear translocation and activation of NFKB1. Plays a direct role in the negative feedback regulation of the BCR signaling, by down-modulating BTK function via direct phosphorylation of BTK at 'Ser-180', which results in the alteration of BTK plasma membrane localization and in turn inhibition of BTK activity. Involved in apoptosis following oxidative damage: in case of oxidative conditions, specifically phosphorylates 'Ser-36' of isoform p66Shc of SHC1, leading to mitochondrial accumulation of p66Shc, where p66Shc acts as a reactive oxygen species producer. Acts as a coactivator of androgen receptor (ANDR)-dependent transcription, by being recruited to ANDR target genes and specifically mediating phosphorylation of 'Thr-6' of histone H3 (H3T6ph), a specific tag for epigenetic transcriptional activation that prevents demethylation of histone H3 'Lys-4' (H3K4me) by LSD1/KDM1A. In insulin signaling, may function downstream of IRS1 in muscle cells and mediate insulin-dependent DNA synthesis through the RAF1-MAPK/ERK signaling cascade. May participate in the regulation of glucose transport in adipocytes by negatively modulating the insulin-stimulated translocation of the glucose transporter SLC2A4/GLUT4. Under high glucose in pancreatic beta-cells, is probably involved in the inhibition of the insulin gene transcription, via regulation of MYC expression. In endothelial cells, activation of PRKCB induces increased phosphorylation of RB1, increased VEGFA-induced cell proliferation, and inhibits PI3K/AKT-dependent nitric oxide synthase (NOS3/eNOS) regulation by insulin, which causes endothelial dysfunction. Also involved in triglyceride homeostasis (By similarity). Phosphorylates ATF2 which promotes cooperation between ATF2 and JUN, activating transcription. [UniProt] |
| 研究领域 | Cell Biology and Cellular Response antibody; Signaling Transduction antibody |
| 预测分子量 | 77 kDa |
| 翻译后修饰 | Phosphorylation on Thr-500 within the activation loop renders it competent to autophosphorylate. Subsequent autophosphorylation of Thr-642 maintains catalytic competence, and autophosphorylation on Ser-661 appears to release the kinase into the cytosol. Autophosphorylation on other sites i.e. in the N-terminal and hinge regions have no effect on enzyme activity. Phosphorylation at Tyr-662 by SYK induces binding with GRB2 and contributes to the activation of MAPK/ERK signaling cascade (By similarity). |
检测图片 (3) Click the Picture to Zoom In
-
ARG51668 anti-PKC beta I phospho (Thr641) antibody WB image
Western blot: Extracts from JK cells untreated or treated with PMA stained with ARG51668 anti-PKC beta I phospho (Thr641) antibody.
-
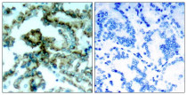
ARG51668 anti-PKC beta I phospho (Thr641) antibody IHC-P image
Immunohistochemistry: Paraffin-embedded Human lung carcinoma tissue, stained with ARG51668 anti-PKC beta I phospho (Thr641) antibody.
-
ARG51668 anti-PKC beta I phospho (Thr641) antibody ICC/IF image
Immunofluorescence: methanol-fixed MCF7 cells stained with ARG51668 anti-PKC beta I phospho (Thr641) antibody (red).
