ARG63561
anti-PIR51 / RAD51AP1 antibody
anti-PIR51 / RAD51AP1 antibody for Flow cytometry,ICC/IF,IHC-Formalin-fixed paraffin-embedded sections and Human
Gene Regulation antibody
概述
| 产品描述 | Goat Polyclonal antibody recognizes PIR51 / RAD51AP1 |
|---|---|
| 反应物种 | Hu |
| 预测物种 | Cow, Dog |
| 应用 | FACS, ICC/IF, IHC-P |
| 特异性 | This antibody is expected to recognise both reported isoforms. |
| 宿主 | Goat |
| 克隆 | Polyclonal |
| 同位型 | IgG |
| 靶点名称 | PIR51 / RAD51AP1 |
| 抗原物种 | Human |
| 抗原 | C-ARVKPLHPNATST |
| 偶联标记 | Un-conjugated |
| 別名 | RAD51-associated protein 1; RAD51-interacting protein; PIR51 |
应用说明
| 应用建议 |
|
||||||||
|---|---|---|---|---|---|---|---|---|---|
| 应用说明 | IHC-P: Antigen Retrieval: Steam tissue section in Citrate buffer (pH 6.0). * The dilutions indicate recommended starting dilutions and the optimal dilutions or concentrations should be determined by the scientist. |
属性
| 形式 | Liquid |
|---|---|
| 纯化 | Purified from goat serum by antigen affinity chromatography. |
| 缓冲液 | Tris saline (pH 7.3), 0.02% Sodium azide and 0.5% BSA. |
| 抗菌剂 | 0.02% Sodium azide |
| 稳定剂 | 0.5% BSA |
| 浓度 | 0.5 mg/ml |
| 存放说明 | For continuous use, store undiluted antibody at 2-8°C for up to a week. For long-term storage, aliquot and store at -20°C or below. Storage in frost free freezers is not recommended. Avoid repeated freeze/thaw cycles. Suggest spin the vial prior to opening. The antibody solution should be gently mixed before use. |
| 注意事项 | For laboratory research only, not for drug, diagnostic or other use. |
生物信息
| 数据库连接 | |
|---|---|
| 基因名称 | RAD51AP1 |
| 全名 | RAD51 associated protein 1 |
| 生物功能 | May participate in a common DNA damage response pathway associated with the activation of homologous recombination and double-strand break repair. Functionally cooperates with PALB2 in promoting of D-loop formation by RAD51. Binds to single and double stranded DNA, and is capable of aggregating DNA. Also binds RNA. [UniProt] |
| 研究领域 | Gene Regulation antibody |
| 预测分子量 | 38 kDa |
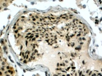
检测图片 (3) Click the Picture to Zoom In
-
ARG63561 anti-PIR51 / RAD51AP1 antibody IHC-P image
Immunohistochemistry: paraffin embedded Human Testis. (Steamed antigen retrieval with citrate buffer pH 6) stained with ARG63561 anti-PIR51 / RAD51AP1 antibody at 4 µg/ml dilution followed by HRP-staining.
-
ARG63561 anti-PIR51 / RAD51AP1 antibody ICC/IF image
Immunofluorescence: HeLa stained with ARG63561 anti-PIR51 / RAD51AP1 antibody at 10ug/ml dilution.
-
ARG63561 anti-PIR51 / RAD51AP1 antibody FACS image
Flow Cytometry: HeLa stained with ARG63561 anti-PIR51 / RAD51AP1 antibody at 10ug/ml dilution.
