ARG45944
anti-PIK3C2A antibody
anti-PIK3C2A antibody for ICC/IF,Western blot and Human,Mouse
概述
| 产品描述 | Rabbit Polyclonal antibody recognizes PIK3C2A |
|---|---|
| 反应物种 | Hu, Ms |
| 应用 | ICC/IF, WB |
| 宿主 | Rabbit |
| 克隆 | Polyclonal |
| 同位型 | IgG |
| 靶点名称 | PIK3C2A |
| 抗原物种 | Human |
| 抗原 | Recombinant protein containing to human PIK3C2A. |
| 偶联标记 | Un-conjugated |
| 別名 | PIK3C2A; Phosphatidylinositol-4-Phosphate 3-Kinase Catalytic Subunit Type 2 Alpha; EC 2.7.1.154; PI3K-C2-alpha; CPK; PI3-K-C2(ALPHA); Phosphoinositide 3-kinase-C2-alpha; Phosphatidylinositol 4-phosphate 3-kinase C2 domain-containing subunit alpha; PtdIns-3-kinase C2 subunit alpha; PI3-K-C2A |
应用说明
| 应用建议 |
|
||||||
|---|---|---|---|---|---|---|---|
| 应用说明 | * The dilutions indicate recommended starting dilutions and the optimal dilutions or concentrations should be determined by the scientist. | ||||||
| 实际分子量 | 191 kDa |
属性
| 形式 | Liquid |
|---|---|
| 纯化 | Affinity chromatography purified |
| 缓冲液 | 0.2% Na2HPO4, 0.9% NaCl and 4% Trehalose. |
| 稳定剂 | 4% Trehalose |
| 浓度 | 0.5 mg/ml |
| 存放说明 | For continuous use, store undiluted antibody at 2-8°C for up to a week. For long-term storage, aliquot and store at -22°C or below. Storage in frost free freezers is not recommended. Avoid repeated freeze/thaw cycles. Suggest spin the vial prior to opening. The antibody solution should be gently mixed before use. |
| 注意事项 | For laboratory research only, not for drug, diagnostic or other use. |
生物信息
| 数据库连接 |
Swiss-port # O00443 Human Phosphatidylinositol 4-phosphate 3-kinase C2 domain-containing subunit alp Swiss-port # Q61194 Mouse Phosphatidylinositol 4-phosphate 3-kinase C2 domain-containing subunit alp |
|---|---|
| 基因名称 | PIK3C2A |
| 全名 | Phosphatidylinositol-4-Phosphate 3-Kinase Catalytic Subunit Type 2 Alpha |
| 背景介绍 | The protein encoded by this gene belongs to the phosphoinositide 3-kinase (PI3K) family. PI3-kinases play roles in signaling pathways involved in cell proliferation, oncogenic transformation, cell survival, cell migration, and intracellular protein trafficking. This protein contains a lipid kinase catalytic domain as well as a C-terminal C2 domain, a characteristic of class II PI3-kinases. C2 domains act as calcium-dependent phospholipid binding motifs that mediate translocation of proteins to membranes, and may also mediate protein-protein interactions. The PI3-kinase activity of this protein is not sensitive to nanomolar levels of the inhibitor wortmanin. This protein was shown to be able to be activated by insulin and may be involved in integrin-dependent signaling. [provided by RefSeq, Jul 2008] |
| 生物功能 | Generates phosphatidylinositol 3-phosphate (PtdIns3P) and phosphatidylinositol 3,4-bisphosphate (PtdIns(3,4)P2) that act as second messengers. Has a role in several intracellular trafficking events. Functions in insulin signaling and secretion. Required for translocation of the glucose transporter SLC2A4/GLUT4 to the plasma membrane and glucose uptake in response to insulin-mediated RHOQ activation. Regulates insulin secretion through two different mechanisms: involved in glucose-induced insulin secretion downstream of insulin receptor in a pathway that involves AKT1 activation and TBC1D4/AS160 phosphorylation, and participates in the late step of insulin granule exocytosis probably in insulin granule fusion. Synthesizes PtdIns3P in response to insulin signaling. Functions in clathrin-coated endocytic vesicle formation and distribution. Regulates dynamin-independent endocytosis, probably by recruiting EEA1 to internalizing vesicles. In neurosecretory cells synthesizes PtdIns3P on large dense core vesicles. Participates in calcium induced contraction of vascular smooth muscle by regulating myosin light chain (MLC) phosphorylation through a mechanism involving Rho kinase-dependent phosphorylation of the MLCP-regulatory subunit MYPT1. May play a role in the EGF signaling cascade. May be involved in mitosis and UV-induced damage response. Required for maintenance of normal renal structure and function by supporting normal podocyte function. Involved in the regulation of ciliogenesis and trafficking of ciliary components. [UniProt] |
| 细胞定位 | Nucleus; Cell membrane; Cytoplasmic vesicle; Cytoplasm; Golgi apparatus / Trans-Golgi network; Membrane. [UniProt] |
| 预测分子量 | 191 kDa |
| 翻译后修饰 | Phosphoprotein; Acetylation. [UniProt]. [UniProt] |
检测图片 (3) Click the Picture to Zoom In
-
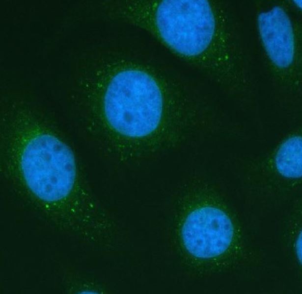
ARG45944 anti-PIK3C2A antibody ICC/IF image
Immunofluorescence: Hela stained with ARG45944 anti-PIK3C2A antibody at 5 μg/ml dilution.
-
ARG45944 anti-PIK3C2A antibody WB image
Western blot: Hela stained with ARG45944 anti-PIK3C2A antibody at 0.5 μg/ml dilution.
-
ARG45944 anti-PIK3C2A antibody WB image
Western blot: Mouse heart stained with ARG45944 anti-PIK3C2A antibody at 0.5 μg/ml dilution.
