ARG40830
anti-PI3 Kinase p85 beta antibody
anti-PI3 Kinase p85 beta antibody for IHC-Formalin-fixed paraffin-embedded sections,Western blot and Human,Mouse,Rat
概述
| 产品描述 | Rabbit Polyclonal antibody recognizes PI3 Kinase p85 beta |
|---|---|
| 反应物种 | Hu, Ms, Rat |
| 预测物种 | Hm |
| 应用 | IHC-P, WB |
| 宿主 | Rabbit |
| 克隆 | Polyclonal |
| 同位型 | IgG |
| 靶点名称 | PI3 Kinase p85 beta |
| 抗原物种 | Human |
| 抗原 | Synthetic peptide corresponding to aa. 447-461 of Human PI3 Kinase p85 beta. (KVYHQQYQDKSREYD) |
| 偶联标记 | Un-conjugated |
| 別名 | P85B; Phosphatidylinositol 3-kinase 85 kDa regulatory subunit beta; PtdIns-3-kinase regulatory subunit beta; PI3-kinase regulatory subunit beta; p85; PI3K regulatory subunit beta; MPPH1; MPPH; Phosphatidylinositol 3-kinase regulatory subunit beta; PtdIns-3-kinase regulatory subunit p85-beta; p85-BETA; PI3-kinase subunit p85-beta |
应用说明
| 应用建议 |
|
||||||
|---|---|---|---|---|---|---|---|
| 应用说明 | IHC-P: Antigen Retrieval: Heat mediation was performed in Citrate buffer (pH 6.0, epitope retrieval solution) for 20 min. * The dilutions indicate recommended starting dilutions and the optimal dilutions or concentrations should be determined by the scientist. |
属性
| 形式 | Liquid |
|---|---|
| 纯化 | Affinity purification with immunogen. |
| 缓冲液 | 0.2% Na2HPO4, 0.9% NaCl, 0.05% Thimerosal, 0.05% Sodium azide and 5% BSA. |
| 抗菌剂 | 0.05% Thimerosal and 0.05% Sodium azide |
| 稳定剂 | 5% BSA |
| 浓度 | 0.5 mg/ml |
| 存放说明 | For continuous use, store undiluted antibody at 2-8°C for up to a week. For long-term storage, aliquot and store at -20°C or below. Storage in frost free freezers is not recommended. Avoid repeated freeze/thaw cycles. Suggest spin the vial prior to opening. The antibody solution should be gently mixed before use. |
| 注意事项 | For laboratory research only, not for drug, diagnostic or other use. |
生物信息
| 数据库连接 |
Swiss-port # O00459 Human Phosphatidylinositol 3-kinase regulatory subunit beta Swiss-port # O08908 Mouse Phosphatidylinositol 3-kinase regulatory subunit beta |
|---|---|
| 基因名称 | PIK3R2 |
| 全名 | phosphoinositide-3-kinase, regulatory subunit 2 (beta) |
| 背景介绍 | Phosphatidylinositol 3-kinase (PI3K) is a lipid kinase that phosphorylates phosphatidylinositol and similar compounds, creating second messengers important in growth signaling pathways. PI3K functions as a heterodimer of a regulatory and a catalytic subunit. The protein encoded by this gene is a regulatory component of PI3K. Two transcript variants, one protein coding and the other non-protein coding, have been found for this gene. [provided by RefSeq, Dec 2012] |
| 生物功能 | Regulatory subunit of phosphoinositide-3-kinase (PI3K), a kinase that phosphorylates PtdIns(4,5)P2 (Phosphatidylinositol 4,5-bisphosphate) to generate phosphatidylinositol 3,4,5-trisphosphate (PIP3). PIP3 plays a key role by recruiting PH domain-containing proteins to the membrane, including AKT1 and PDPK1, activating signaling cascades involved in cell growth, survival, proliferation, motility and morphology. Binds to activated (phosphorylated) protein-tyrosine kinases, through its SH2 domain, and acts as an adapter, mediating the association of the p110 catalytic unit to the plasma membrane. Indirectly regulates autophagy. Promotes nuclear translocation of XBP1 isoform 2 in a ER stress- and/or insulin-dependent manner during metabolic overloading in the liver and hence plays a role in glucose tolerance improvement (By similarity). [UniProt] |
| 预测分子量 | 82 kDa |
| 翻译后修饰 | Phosphorylated in response to signaling from activated receptor-type protein kinases (PubMed:19690332, PubMed:20068231). Dephosphorylated by PTPRJ (PubMed:18348712). Dephosphorylated at Tyr-655 by PTPN13. Phosphorylation of Tyr-655 impairs while its dephosphorylation promotes interaction with FBXL2 and SCF(FBXL2)-mediated polyubiquitination (PubMed:23604317). Ubiquitinated. Polyubiquitination by the SCF(FBXL2) complex probably promotes proteasomal degradation of PIK3R2. [UniProt] |
检测图片 (3) Click the Picture to Zoom In
-
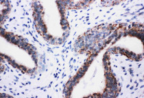
ARG40830 anti-PI3 Kinase p85 beta antibody IHC-P image
Immunohistochemistry: Paraffin-embedded Human mammary cancer tissue. Antigen Retrieval: Heat mediation was performed in Citrate buffer (pH 6.0, epitope retrieval solution) for 20 min. The tissue section was blocked with 10% goat serum. The tissue section was then stained with ARG40830 anti-PI3 Kinase p85 beta antibody at 1 µg/ml, overnight at 4°C.
-
ARG40830 anti-PI3 Kinase p85 beta antibody WB image
Western blot: 50 µg of samples under reducing conditions. Rat testis, 293T and HeLa whole cell lysates stained with ARG40830 anti-PI3 Kinase p85 beta antibody at 0.5 µg/ml, overnight at 4°C.
-
ARG40830 anti-PI3 Kinase p85 beta antibody WB image
Western blot: 50 µg of samples under reducing conditions. Mouse liver and Mouse brain tissue lysates stained with ARG40830 anti-PI3 Kinase p85 beta antibody at 0.5 µg/ml, overnight at 4°C.
