ARG46367
anti-PHAP3 antibody
anti-PHAP3 antibody for Western blot,IHC-Formalin-fixed paraffin-embedded sections and Human,Mouse,Rat
概述
| 产品描述 | Rabbit Polyclonal antibody recognizes PHAP3 |
|---|---|
| 反应物种 | Hu, Ms, Rat |
| 应用 | IHC-P, WB |
| 宿主 | Rabbit |
| 克隆 | Polyclonal |
| 同位型 | IgG |
| 靶点名称 | PHAP3 |
| 抗原物种 | Human |
| 抗原 | Synthetic peptide near the carboxy terminus of human PHAP3. |
| 偶联标记 | Un-conjugated |
| 別名 | ANP32E; ANP32E; acidic (leucine-rich) nuclear phosphoprotein 32 family, member E; LANPL; LANP-like protein; Acidic leucine-rich nuclear phosphoprotein 32 family member E; LANP-L |
应用说明
| 应用建议 |
|
||||||
|---|---|---|---|---|---|---|---|
| 应用说明 | * The dilutions indicate recommended starting dilutions and the optimal dilutions or concentrations should be determined by the scientist. |
属性
| 纯化 | Affinity chromatography purified |
|---|---|
| 缓冲液 | PBS and 0.02% Sodium azide. |
| 抗菌剂 | 0.02% Sodium azide |
| 浓度 | 1 mg/ml |
| 存放说明 | For continuous use, store undiluted antibody at 2-8°C for up to a week. For long-term storage, aliquot and store at -20°C. Storage in frost free freezers is not recommended. Avoid repeated freeze/thaw cycles. Suggest spin the vial prior to opening. The antibody solution should be gently mixed before use. |
| 注意事项 | For laboratory research only, not for drug, diagnostic or other use. |
生物信息
| 数据库连接 | |
|---|---|
| 基因名称 | ANP32E |
| 全名 | acidic (leucine-rich) nuclear phosphoprotein 32 family, member E |
| 背景介绍 | The PHAP proteins (tumor suppressor putative HLA-DR associated proteins) are important regulators of mitochondrial apoptosis. PHAP facilitates apoptosome-mediated caspase-9 activation to stimulate the mitochondrial apoptosis pathway. In addition, PHAP opposes both Ras- and myc- mediated cell transformation. |
| 生物功能 | Histone chaperone that specifically mediates the genome-wide removal of histone H2A.Z/H2AFZ from the nucleosome: removes H2A.Z/H2AFZ from its normal sites of deposition, especially from enhancer and insulator regions. Not involved in deposition of H2A.Z/H2AFZ in the nucleosome. May stabilize the evicted H2A.Z/H2AFZ-H2B dimer, thus shifting the equilibrium towards dissociation and the off-chromatin state (PubMed:24463511). Inhibits activity of protein phosphatase 2A (PP2A). Does not inhibit protein phosphatase 1. May play a role in cerebellar development and synaptogenesis. [UniProt] |
| 细胞定位 | Cytoplasm; Nucleus. [UniProt] |
| 预测分子量 | 31 kDa |
| 翻译后修饰 | Phosphorylated. The phosphorylation is nuclear localization signal (NLS)-dependent (By similarity).. [UniProt] |
检测图片 (3) Click the Picture to Zoom In
-
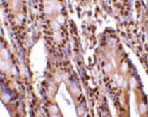
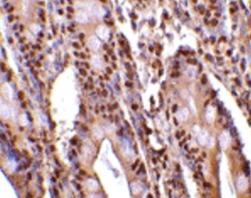
ARG46367 anti-PHAP3 antibody IHC-P image
Immunohistochemistry: Human small intestine stained with ARG46367 anti-PHAP3 antibody.
-
ARG46367 anti-PHAP3 antibody ICC/IF image
Immunofluorescence: Human Small Intestine stained with ARG46367 anti-PHAP3 antibody.
-
ARG46367 anti-PHAP3 antibody WB image
Western blot: A549 stained with ARG46367 anti-PHAP3 antibody.
