ARG40812
anti-PGK2 antibody
anti-PGK2 antibody for ICC/IF,IHC-Formalin-fixed paraffin-embedded sections,Western blot and Human,Mouse,Rat
概述
| 产品描述 | Rabbit Polyclonal antibody recognizes PGK2 |
|---|---|
| 反应物种 | Hu, Ms, Rat |
| 应用 | ICC/IF, IHC-P, WB |
| 宿主 | Rabbit |
| 克隆 | Polyclonal |
| 同位型 | IgG |
| 靶点名称 | PGK2 |
| 抗原物种 | Human |
| 抗原 | Recombinant fusion protein corresponding to aa. 242-360 of Human PGK2 (NP_620061.2). |
| 偶联标记 | Un-conjugated |
| 別名 | EC 2.7.2.3; PGKB; Phosphoglycerate kinase, testis specific; HEL-S-272; dJ417L20.2; Phosphoglycerate kinase 2; PGKPS |
应用说明
| 应用建议 |
|
||||||||
|---|---|---|---|---|---|---|---|---|---|
| 应用说明 | * The dilutions indicate recommended starting dilutions and the optimal dilutions or concentrations should be determined by the scientist. | ||||||||
| 阳性对照 | Jurkat | ||||||||
| 实际分子量 | 44 kDa |
属性
| 形式 | Liquid |
|---|---|
| 纯化 | Affinity purified. |
| 缓冲液 | PBS (pH 7.3), 0.02% Sodium azide and 50% Glycerol. |
| 抗菌剂 | 0.02% Sodium azide |
| 稳定剂 | 50% Glycerol |
| 存放说明 | For continuous use, store undiluted antibody at 2-8°C for up to a week. For long-term storage, aliquot and store at -20°C. Storage in frost free freezers is not recommended. Avoid repeated freeze/thaw cycles. Suggest spin the vial prior to opening. The antibody solution should be gently mixed before use. |
| 注意事项 | For laboratory research only, not for drug, diagnostic or other use. |
生物信息
| 数据库连接 | |
|---|---|
| 基因名称 | PGK2 |
| 全名 | phosphoglycerate kinase 2 |
| 背景介绍 | This gene is intronless, arose via retrotransposition of the phosphoglycerate kinase 1 gene, and is expressed specifically in the testis. Initially assumed to be a pseudogene, the encoded protein is actually a functional phosphoglycerate kinase that catalyzes the reversible conversion of 1,3-bisphosphoglycerate to 3-phosphoglycerate, during the Embden-Meyerhof-Parnas pathway of glycolysis, in the later stages of spermatogenesis.[provided by RefSeq, May 2010] |
| 细胞定位 | Cytoplasm. [UniProt] |
| 预测分子量 | 45 kDa |
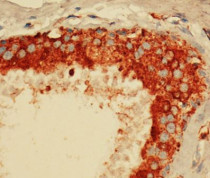
检测图片 (2) Click the Picture to Zoom In
-
ARG40812 anti-PGK2 antibody IHC-P image
Immunohistochemistry: Paraffin-embedded Human mammary cancer stained with ARG40812 anti-PGK2 antibody at 1:100 dilution.
-
ARG40812 anti-PGK2 antibody WB image
Western blot: 25 µg of Jurkat cell lysate stained with ARG40812 anti-PGK2 antibody at 1:3000 dilution.
