ARG40834
anti-PGK1 + PGK2 antibody
anti-PGK1 + PGK2 antibody for IHC-Formalin-fixed paraffin-embedded sections,Western blot and Human,Rat
概述
| 产品描述 | Rabbit Polyclonal antibody recognizes PGK1 + PGK2 |
|---|---|
| 反应物种 | Hu, Rat |
| 预测物种 | Ms, Hm |
| 应用 | IHC-P, WB |
| 宿主 | Rabbit |
| 克隆 | Polyclonal |
| 同位型 | IgG |
| 靶点名称 | PGK1 + PGK2 |
| 抗原物种 | Human |
| 抗原 | Synthetic peptide corresponding to aa. 166-180 of Human PGK1. (FGTAHRAHSSMVGVN) |
| 偶联标记 | Un-conjugated |
| 別名 | EC 2.7.2.3; Primer recognition protein 2; PGKA; PRP 2; Phosphoglycerate kinase 1; MIG10; Cell migration-inducing gene 10 protein; HEL-S-68p |
应用说明
| 应用建议 |
|
||||||
|---|---|---|---|---|---|---|---|
| 应用说明 | * The dilutions indicate recommended starting dilutions and the optimal dilutions or concentrations should be determined by the scientist. |
属性
| 形式 | Liquid |
|---|---|
| 纯化 | Affinity purification with immunogen. |
| 缓冲液 | 0.2% Na2HPO4, 0.9% NaCl, 0.05% Thimerosal, 0.05% Sodium azide and 5% BSA. |
| 抗菌剂 | 0.05% Thimerosal and 0.05% Sodium azide |
| 稳定剂 | 5% BSA |
| 浓度 | 0.5 mg/ml |
| 存放说明 | For continuous use, store undiluted antibody at 2-8°C for up to a week. For long-term storage, aliquot and store at -20°C or below. Storage in frost free freezers is not recommended. Avoid repeated freeze/thaw cycles. Suggest spin the vial prior to opening. The antibody solution should be gently mixed before use. |
| 注意事项 | For laboratory research only, not for drug, diagnostic or other use. |
生物信息
| 数据库连接 | |
|---|---|
| 基因名称 | PGK1 |
| 全名 | phosphoglycerate kinase 1 |
| 背景介绍 | The protein encoded by this gene is a glycolytic enzyme that catalyzes the conversion of 1,3-diphosphoglycerate to 3-phosphoglycerate. The encoded protein may also act as a cofactor for polymerase alpha. Additionally, this protein is secreted by tumor cells where it participates in angiogenesis by functioning to reduce disulfide bonds in the serine protease, plasmin, which consequently leads to the release of the tumor blood vessel inhibitor angiostatin. The encoded protein has been identified as a moonlighting protein based on its ability to perform mechanistically distinct functions. Deficiency of the enzyme is associated with a wide range of clinical phenotypes hemolytic anemia and neurological impairment. Pseudogenes of this gene have been defined on chromosomes 19, 21 and the X chromosome. [provided by RefSeq, Jan 2014] |
| 生物功能 | In addition to its role as a glycolytic enzyme, it seems that PGK-1 acts as a polymerase alpha cofactor protein (primer recognition protein). [UniProt] |
| 细胞定位 | Cytoplasm. [UniProt] |
| 预测分子量 | 45 kDa |
检测图片 (2) Click the Picture to Zoom In
-
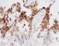
ARG40834 anti-PGK1 + PGK2 antibody IHC-P image
Immunohistochemistry: Paraffin-embedded Human lung cancer tissue stained with ARG40834 anti-PGK1 + PGK2 antibody.
-
ARG40834 anti-PGK1 + PGK2 antibody WB image
Western blot: Rat liver, Rat brain, Rat lung, A431, COLO320, HeLa, A549 and Jurkat cell lysates stained with ARG40834 anti-PGK1 + PGK2 antibody.
