ARG44464
anti-PGC / Progastricsin antibody
anti-PGC / Progastricsin antibody for Flow cytometry,ICC/IF,IHC-Formalin-fixed paraffin-embedded sections,Western blot and Human,Mouse,Rat
概述
| 产品描述 | Rabbit Polyclonal antibody recognizes PGC / Progastricsin |
|---|---|
| 反应物种 | Hu, Ms, Rat |
| 应用 | FACS, ICC/IF, IHC-P, WB |
| 宿主 | Rabbit |
| 克隆 | Polyclonal |
| 同位型 | IgG |
| 靶点名称 | PGC / Progastricsin |
| 抗原物种 | Human |
| 抗原 | Human PGC / Progastricsin recombinant protein |
| 偶联标记 | Un-conjugated |
| 別名 | PGC; Progastricsin; Pepsinogen C; EC 3.4.23.3; Gastricsin; Progastricsin (Pepsinogen C); Pepsinogen Group II; Preprogastricsin; EC 3.4.23; Pepsin C; PEPC; PGII |
应用说明
| 应用建议 |
|
||||||||||
|---|---|---|---|---|---|---|---|---|---|---|---|
| 应用说明 | The dilutions indicate recommended starting dilutions and the optimal dilutions or concentrations should be determined by the scientist. |
属性
| 形式 | Liquid |
|---|---|
| 纯化 | Affinity purified with Immunogen. |
| 缓冲液 | 0.9% NaCl, 0.2% Na2HPO4, 0.05% Sodium azide and 4% Trehalose. |
| 抗菌剂 | 0.05% Sodium azide |
| 稳定剂 | 4% Trehalose |
| 浓度 | 0.5 mg/ml |
| 存放说明 | For continuous use, store undiluted antibody at 2-8°C for up to a week. For long-term storage, aliquot and store at -20°C or below. Storage in frost free freezers is not recommended. Avoid repeated freeze/thaw cycles. Suggest spin the vial prior to opening. The antibody solution should be gently mixed before use. |
| 注意事项 | For laboratory research only, not for drug, diagnostic or other use. |
生物信息
| 数据库连接 | |
|---|---|
| 基因名称 | PGC |
| 全名 | Progastricsin |
| 背景介绍 | This gene encodes an aspartic proteinase that belongs to the peptidase family A1. The encoded protein is a digestive enzyme that is produced in the stomach and constitutes a major component of the gastric mucosa. This protein is also secreted into the serum. This protein is synthesized as an inactive zymogen that includes a highly basic prosegment. This enzyme is converted into its active mature form at low pH by sequential cleavage of the prosegment that is carried out by the enzyme itself. Polymorphisms in this gene are associated with susceptibility to gastric cancers. Serum levels of this enzyme are used as a biomarker for certain gastric diseases including Helicobacter pylori related gastritis. Alternate splicing results in multiple transcript variants. A pseudogene of this gene is found on chromosome 1. |
| 生物功能 | Hydrolyzes a variety of proteins. |
| 细胞定位 | Secreted |
| 预测分子量 | 42 kDa |
| 翻译后修饰 | Disulfide bond, Zymogen |
检测图片 (7) Click the Picture to Zoom In
-
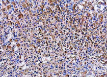
ARG44464 anti-PGC / Progastricsin antibody IHC-P image
Immunohistochemistry: Human gastric adenocarcinoma stained with ARG44464 anti-PGC / Progastricsin antibody at 2 μg/mL dilution.
-
ARG44464 anti-PGC / Progastricsin antibody IHC-P image
Immunohistochemistry: Human gastric cancer stained with ARG44464 anti-PGC / Progastricsin antibody at 5 μg/mL dilution.
-
ARG44464 anti-PGC / Progastricsin antibody FACS image
Flow Cytometry: JK stained with ARG44464 anti-PGC / Progastricsin antibody at 1 μg/10^6 cells dilution.
-
ARG44464 anti-PGC / Progastricsin antibody IHC-P image
Immunohistochemistry: Rat stomach stained with ARG44464 anti-PGC / Progastricsin antibody at 2 μg/mL dilution.
-
ARG44464 anti-PGC / Progastricsin antibody WB image
Western blot: Rat stomach stained with ARG44464 anti-PGC / Progastricsin antibody at 0.5 μg/mL dilution.
-
ARG44464 anti-PGC / Progastricsin antibody IHC-P image
Immunohistochemistry: Mouse stomach stained with ARG44464 anti-PGC / Progastricsin antibody at 2 μg/mL dilution.
-
ARG44464 anti-PGC / Progastricsin antibody WB image
Western blot: Mouse stomach stained with ARG44464 anti-PGC / Progastricsin antibody at 0.5 μg/mL dilution.
