ARG45436
anti-PFKFB1 antibody
anti-PFKFB1 antibody for Flow cytometry,IHC-Formalin-fixed paraffin-embedded sections,Western blot and Human
概述
| 产品描述 | Rabbit Polyclonal antibody recognizes PFKFB1 |
|---|---|
| 反应物种 | Hu |
| 应用 | FACS, IHC-P, WB |
| 宿主 | Rabbit |
| 克隆 | Polyclonal |
| 同位型 | IgG |
| 靶点名称 | PFKFB1 |
| 抗原物种 | Human |
| 抗原 | Recombinant protein containing to human PFKFB1. |
| 偶联标记 | Un-conjugated |
| 別名 | PFKFB1; 6-Phosphofructo-2-Kinase/Fructose-2,6-Biphosphatase 1; PFRX; 6-Phosphofructo-2-Kinase/Fructose-2,6-Bisphosphatase 1; 6PF-2-K/Fru-2,6-P2ase 1; PFK/FBPase 1; F6PK; Fructose-6-Phosphate,2-Kinase:Fructose-2,6-Bisphosphatase; 6PF-2-K/Fru-2,6-P2ASE Liver Isozyme; 6PF-2-K/Fru-2,6-P2ase Liver Isozyme; HL2K |
应用说明
| 应用建议 |
|
||||||||
|---|---|---|---|---|---|---|---|---|---|
| 应用说明 | * The dilutions indicate recommended starting dilutions and the optimal dilutions or concentrations should be determined by the scientist. | ||||||||
| 实际分子量 | 55 kDa |
属性
| 形式 | Liquid |
|---|---|
| 纯化 | Affinity purified |
| 缓冲液 | 0.2% Na2HPO4, 0.9% NaCl and 4% Trehalose. |
| 稳定剂 | 4% Trehalose |
| 浓度 | 0.5 mg/ml |
| 存放说明 | For continuous use, store undiluted antibody at 2-8°C for up to a week. For long-term storage, aliquot and store at -20°C or below. Storage in frost free freezers is not recommended. Avoid repeated freeze/thaw cycles. Suggest spin the vial prior to opening. The antibody solution should be gently mixed before use. |
| 注意事项 | For laboratory research only, not for drug, diagnostic or other use. |
生物信息
| 数据库连接 |
Swiss-port # P16118 Human 6-phosphofructo-2-kinase/fructose-2,6-bisphosphatase 1 |
|---|---|
| 基因名称 | PFKFB1 |
| 全名 | 6-Phosphofructo-2-Kinase/Fructose-2,6-Biphosphatase 1 |
| 背景介绍 | This gene encodes a member of the family of bifunctional 6-phosphofructo-2-kinase:fructose-2,6-biphosphatase enzymes. The enzyme forms a homodimer that catalyzes both the synthesis and degradation of fructose-2,6-biphosphate using independent catalytic domains. Fructose-2,6-biphosphate is an activator of the glycolysis pathway and an inhibitor of the gluconeogenesis pathway. Consequently, regulating fructose-2,6-biphosphate levels through the activity of this enzyme is thought to regulate glucose homeostasis. Multiple alternatively spliced transcript variants have been found for this gene. [provided by RefSeq, Nov 2012] |
| 生物功能 | Synthesis and degradation of fructose 2,6-bisphosphate. [UniProt] |
| 预测分子量 | 55 kDa |
检测图片 (3) Click the Picture to Zoom In
-
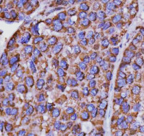
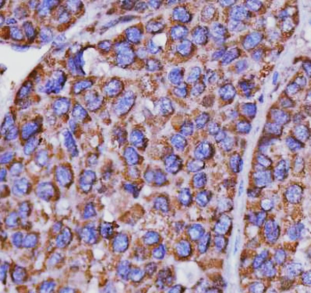
ARG45436 anti-PFKFB1 antibody IHC-P image
Immunohistochemistry: Human liver cancer stained with ARG45436 anti-PFKFB1 antibody at 2 μg/ml dilution.
-
ARG45436 anti-PFKFB1 antibody WB image
Western blot: HCCT stained with ARG45436 anti-PFKFB1 antibody at 0.5 μg/ml dilution.
-
ARG45436 anti-PFKFB1 antibody FACS image
Flow Cytometry: HepG2 stained with ARG45436 anti-PFKFB1 antibody at 1 µg/10^6 cells dilution.
