ARG66576
anti-PEX14 antibody
anti-PEX14 antibody for IHC-Formalin-fixed paraffin-embedded sections,Western blot and Human
概述
| 产品描述 | Rabbit Polyclonal antibody recognizes PEX14 |
|---|---|
| 反应物种 | Hu |
| 预测物种 | Ms, Rat |
| 应用 | IHC-P, WB |
| 宿主 | Rabbit |
| 克隆 | Polyclonal |
| 同位型 | IgG |
| 靶点名称 | PEX14 |
| 抗原物种 | Human |
| 抗原 | Synthetic peptide between aa. 90-170 of Human PEX14. |
| 偶联标记 | Un-conjugated |
| 別名 | NAPP2; dJ734G22.2; Peroxin-14; Peroxisomal membrane anchor protein PEX14; PTS1 receptor-docking protein; PBD13A; Peroxisomal membrane protein PEX14; Pex14p |
应用说明
| 应用建议 |
|
||||||
|---|---|---|---|---|---|---|---|
| 应用说明 | * The dilutions indicate recommended starting dilutions and the optimal dilutions or concentrations should be determined by the scientist. |
属性
| 形式 | Liquid |
|---|---|
| 纯化 | Affinity purification with immunogen. |
| 缓冲液 | PBS, 0.02% Sodium azide, 50% Glycerol and 0.5% BSA. |
| 抗菌剂 | 0.02% Sodium azide |
| 稳定剂 | 50% Glycerol and 0.5% BSA |
| 浓度 | 1 mg/ml |
| 存放说明 | For continuous use, store undiluted antibody at 2-8°C for up to a week. For long-term storage, aliquot and store at -20°C. Storage in frost free freezers is not recommended. Avoid repeated freeze/thaw cycles. Suggest spin the vial prior to opening. The antibody solution should be gently mixed before use. |
| 注意事项 | For laboratory research only, not for drug, diagnostic or other use. |
生物信息
| 数据库连接 |
Swiss-port # O75381 Human Peroxisomal membrane protein PEX14 |
|---|---|
| 基因名称 | PEX14 |
| 全名 | peroxisomal biogenesis factor 14 |
| 背景介绍 | This gene encodes an essential component of the peroxisomal import machinery. The protein is integrated into peroxisome membranes with its C-terminus exposed to the cytosol, and interacts with the cytosolic receptor for proteins containing a PTS1 peroxisomal targeting signal. The protein also functions as a transcriptional corepressor and interacts with a histone deacetylase. A mutation in this gene results in one form of Zellweger syndrome. [provided by RefSeq, Jul 2008] |
| 生物功能 | Peroxisome membrane protein that is an essential component of the peroxisomal import machinery. Functions as a docking factor for the predominantly cytoplasmic PTS1 receptor (PEX5). Plays a key role for peroxisome movement through a direct interaction with tubulin. [UniProt] |
| 细胞定位 | Peroxisome membrane; Peripheral membrane protein; Cytoplasmic side. [UniProt] |
| 预测分子量 | 41 kDa |
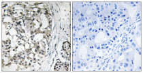
检测图片 (2) Click the Picture to Zoom In
-
ARG66576 anti-PEX14 antibody IHC-P image
Immunohistochemistry: Paraffin-embedded Human breast carcinoma tissue stained with ARG66576 anti-PEX14 antibody. The picture on the right was blocked with the synthetic peptide.
-
ARG66576 anti-PEX14 antibody WB image
Western blot: A549 cell lysate stained with ARG66576 anti-PEX14 antibody.
