ARG42753
anti-PEX11B antibody
anti-PEX11B antibody for IHC-Formalin-fixed paraffin-embedded sections,Western blot and Human,Mouse,Rat
概述
| 产品描述 | Rabbit Polyclonal antibody recognizes PEX11B |
|---|---|
| 反应物种 | Hu, Ms, Rat |
| 应用 | IHC-P, WB |
| 宿主 | Rabbit |
| 克隆 | Polyclonal |
| 同位型 | IgG |
| 靶点名称 | PEX11B |
| 抗原物种 | Human |
| 抗原 | Synthetic peptide corresponding to aa. 132-177 of Human PEX11B. |
| 偶联标记 | Un-conjugated |
| 別名 | Protein PEX11 homolog beta; Peroxisomal biogenesis factor 11B; Peroxin-11B; Peroxisomal membrane protein 11B; PEX14B; PEX11-BETA; PEX11-beta |
应用说明
| 应用建议 |
|
||||||
|---|---|---|---|---|---|---|---|
| 应用说明 | * The dilutions indicate recommended starting dilutions and the optimal dilutions or concentrations should be determined by the scientist. | ||||||
| 阳性对照 | MCF7, Raw264.7 and PC12 | ||||||
| 实际分子量 | ~ 28 kDa |
属性
| 形式 | Liquid |
|---|---|
| 纯化 | Affinity purification with immunogen. |
| 纯度 | > 95% (by SDS-PAGE) |
| 缓冲液 | PBS (pH 7.2), 0.02% Sodium azide and 50% Glycerol. |
| 抗菌剂 | 0.02% Sodium azide |
| 稳定剂 | 50% Glycerol |
| 浓度 | 1 mg/ml |
| 存放说明 | For continuous use, store undiluted antibody at 2-8°C for up to a week. For long-term storage, aliquot and store at -20°C. Storage in frost free freezers is not recommended. Avoid repeated freeze/thaw cycles. Suggest spin the vial prior to opening. The antibody solution should be gently mixed before use. |
| 注意事项 | For laboratory research only, not for drug, diagnostic or other use. |
生物信息
| 数据库连接 | |
|---|---|
| 基因名称 | PEX11B |
| 全名 | peroxisomal biogenesis factor 11 beta |
| 背景介绍 | The protein encoded by this gene facilitates peroxisomal proliferation and interacts with PEX19. The encoded protein is found in the peroxisomal membrane. Several transcript variants, some protein-coding and some not protein-coding, have been found for this gene. [provided by RefSeq, Dec 2012] |
| 生物功能 | Involved in peroxisomal proliferation (PubMed:9792670). May regulate peroxisome division by recruiting the dynamin-related GTPase DNM1L to the peroxisomal membrane (PubMed:12618434). Promotes membrane protrusion and elongation on the peroxisomal surface (PubMed:20826455). [UniProt] |
| 细胞定位 | Peroxisome membrane; Single-pass membrane protein. [UniProt] |
| 预测分子量 | 28 kDa |
检测图片 (2) Click the Picture to Zoom In
-
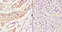
ARG42753 anti-PEX11B antibody IHC-P image
Immunohistochemistry: Paraffin-embedded Human liver carcinoma tissue stained with ARG42753 anti-PEX11B antibody at 1:50 dilution (left). Negative control (right): Using PBS instead of primary antibody.
-
ARG42753 anti-PEX11B antibody WB image
Western blot: MCF7, Raw264.7 and PC-12 cell lysate stained with ARG42753 anti-PEX11B antibody at 1:500 dilution.
