ARG40851
anti-PEPD antibody
anti-PEPD antibody for IHC-Formalin-fixed paraffin-embedded sections,Western blot and Human
概述
| 产品描述 | Rabbit Polyclonal antibody recognizes PEPD |
|---|---|
| 反应物种 | Hu |
| 预测物种 | Hu, Ms, Rat, Cow, Dog, Goat, Gpig, Hrs, Rb, Zfsh |
| 应用 | IHC-P, WB |
| 宿主 | Rabbit |
| 克隆 | Polyclonal |
| 同位型 | IgG |
| 靶点名称 | PEPD |
| 抗原物种 | Human |
| 抗原 | Synthetic peptide around the middle region of Human PEPD (within the following region: LGAVFMPHGLGHFLGIDVHDVGGYPEGVERIDEPGLRSLRTARHLQPGMV). |
| 偶联标记 | Un-conjugated |
| 別名 | Peptidase D; X-Pro dipeptidase; Imidodipeptidase; EC 3.4.13.9; Prolidase; Xaa-Pro dipeptidase; Proline dipeptidase; PROLIDASE |
应用说明
| 预测反应性说明 | Predicted Homology Based On Immunogen Sequence: Cow: 92%; Dog: 100%; Goat: 79%; Guinea pig: 100%; Horse: 100%; Mouse: 100%; Rabbit: 93%; Rat: 100%; Zebrafish: 86% | ||||||
|---|---|---|---|---|---|---|---|
| 应用建议 |
|
||||||
| 应用说明 | * The dilutions indicate recommended starting dilutions and the optimal dilutions or concentrations should be determined by the scientist. |
属性
| 形式 | Liquid |
|---|---|
| 纯化 | Affinity purified. |
| 缓冲液 | PBS, 0.09% (w/v) Sodium azide and 2% Sucrose. |
| 抗菌剂 | 0.09% (w/v) Sodium azide |
| 稳定剂 | 2% Sucrose |
| 浓度 | Batch dependent: 0.5 - 1 mg/ml |
| 存放说明 | For continuous use, store undiluted antibody at 2-8°C for up to a week. For long-term storage, aliquot and store at -20°C or below. Storage in frost free freezers is not recommended. Avoid repeated freeze/thaw cycles. Suggest spin the vial prior to opening. The antibody solution should be gently mixed before use. |
| 注意事项 | For laboratory research only, not for drug, diagnostic or other use. |
生物信息
| 数据库连接 | |
|---|---|
| 基因名称 | PEPD |
| 全名 | peptidase D |
| 背景介绍 | This gene encodes a member of the peptidase family. The protein forms a homodimer that hydrolyzes dipeptides or tripeptides with C-terminal proline or hydroxyproline residues. The enzyme serves an important role in the recycling of proline, and may be rate limiting for the production of collagen. Mutations in this gene result in prolidase deficiency, which is characterized by the excretion of large amount of di- and tri-peptides containing proline. Multiple transcript variants encoding different isoforms have been found for this gene.[provided by RefSeq, Oct 2009] |
| 生物功能 | Splits dipeptides with a prolyl or hydroxyprolyl residue in the C-terminal position. Plays an important role in collagen metabolism because the high level of iminoacids in collagen. [UniProt] |
| 预测分子量 | 55 kDa |
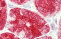
检测图片 (2) Click the Picture to Zoom In
-
ARG40851 anti-PEPD antibody IHC-P image
Immunohistochemistry: Formalin-fixed and paraffin-embedded Human kidney tissue stained with ARG40851 anti-PEPD antibody at 1:100 dilution.
-
ARG40851 anti-PEPD antibody WB image
Western blot: Human placenta lysate stained with ARG40851 anti-PEPD antibody at 0.2 - 1 µg/ml dilution.
