ARG46361
anti-PEN2 antibody
anti-PEN2 antibody for Western blot,IHC-Formalin-fixed paraffin-embedded sections and Human,Mouse,Rat
概述
| 产品描述 | Rabbit Polyclonal antibody recognizes PEN2 |
|---|---|
| 反应物种 | Hu, Ms, Rat |
| 应用 | IHC-P, WB |
| 宿主 | Rabbit |
| 克隆 | Polyclonal |
| 同位型 | IgG |
| 靶点名称 | PEN2 |
| 抗原物种 | Human |
| 抗原 | A 13 amino acid synthetic peptide within the last 50 amino acids of human PEN2. |
| 偶联标记 | Un-conjugated |
| 別名 | PSENEN; Presenilin enhancer protein 2; Gamma-secretase subunit PEN-2; PEN-2; MDS033; MSTP064; PEN2 |
应用说明
| 应用建议 |
|
||||||
|---|---|---|---|---|---|---|---|
| 应用说明 | * The dilutions indicate recommended starting dilutions and the optimal dilutions or concentrations should be determined by the scientist. |
属性
| 纯化 | Affinity chromatography purified |
|---|---|
| 缓冲液 | PBS and 0.02% Sodium azide. |
| 抗菌剂 | 0.02% Sodium azide |
| 浓度 | 1 mg/ml |
| 存放说明 | For continuous use, store undiluted antibody at 2-8°C for up to a week. For long-term storage, aliquot and store at -20°C. Storage in frost free freezers is not recommended. Avoid repeated freeze/thaw cycles. Suggest spin the vial prior to opening. The antibody solution should be gently mixed before use. |
| 注意事项 | For laboratory research only, not for drug, diagnostic or other use. |
生物信息
| 数据库连接 | |
|---|---|
| 基因名称 | PSENEN |
| 全名 | presenilin enhancer gamma secretase subunit |
| 背景介绍 | Presenilins, which are components of the gamma-secretase protein complex, are required for intramembranous processing of some type I transmembrane proteins, such as the Notch proteins and the beta-amyloid precursor protein. Signaling by Notch receptors mediates a wide range of developmental cell fates. Processing of the beta-amyloid precursor protein generates neurotoxic amyloid beta peptides, the major component of senile plaques associated with Alzheimer's disease. This gene encodes a protein that is required for Notch pathway signaling, and for the activity and accumulation of gamma-secretase. Mutations resulting in haploinsufficiency for this gene cause familial acne inversa-2 (ACNINV2). Alternative splicing results in multiple transcript variants. [provided by RefSeq, Jul 2013] |
| 生物功能 | Essential subunit of the gamma-secretase complex, an endoprotease complex that catalyzes the intramembrane cleavage of integral membrane proteins such as Notch receptors and APP (amyloid-beta precursor protein) (PubMed:12522139, PubMed:12763021, PubMed:12740439, PubMed:12679784, PubMed:24941111, PubMed:30598546, PubMed:30630874). The gamma-secretase complex plays a role in Notch and Wnt signaling cascades and regulation of downstream processes via its role in processing key regulatory proteins, and by regulating cytosolic CTNNB1 levels (Probable). PSENEN modulates both endoproteolysis of presenilin and gamma-secretase activity (PubMed:12522139, PubMed:12763021, PubMed:12740439, PubMed:12679784, PubMed:24941111). [UniProt] |
| 细胞定位 | Endoplasmic reticulum membrane; Multi-pass membrane protein. Golgi apparatus, Golgi stack membrane; Multi-pass membrane protein. Cell membrane; Multi-pass membrane protein. Membrane; Multi-pass membrane protein. Note=Predominantly located in the endoplasmic reticulum and in the cis-Golgi. [UniProt] |
| 预测分子量 | 12 kDa |
检测图片 (3) Click the Picture to Zoom In
-
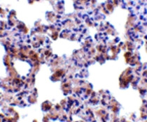
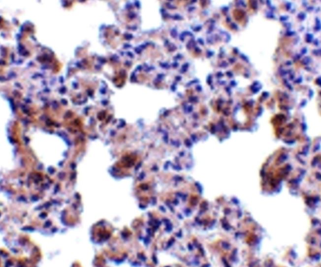
ARG46361 anti-PEN2 antibody IHC-P image
Immunohistochemistry: Rat lung stained with ARG46361 anti-PEN2 antibody.
-
ARG46361 anti-PEN2 antibody ICC/IF image
Immunofluorescence: Rat Lung stained with ARG46361 anti-PEN2 antibody.
-
ARG46361 anti-PEN2 antibody WB image
Western blot: A-20 stained with ARG46361 anti-PEN2 antibody.
