ARG40504
anti-PEBP1 / RKIP antibody
anti-PEBP1 / RKIP antibody for IHC-Formalin-fixed paraffin-embedded sections,Western blot and Rat
概述
| 产品描述 | Rabbit Polyclonal antibody recognizes PEBP1 / RKIP |
|---|---|
| 反应物种 | Rat |
| 预测物种 | Ms |
| 应用 | IHC-P, WB |
| 宿主 | Rabbit |
| 克隆 | Polyclonal |
| 同位型 | IgG |
| 靶点名称 | PEBP1 / RKIP |
| 抗原物种 | Mouse |
| 抗原 | Synthetic peptide corresponding to aa. 15-29 of Mouse PEBP1 / RKIP. (QEVDEPPQHALRVDY) |
| 偶联标记 | Un-conjugated |
| 別名 | PEBP; PBP; HCNP; HEL-S-34; RKIP; Prostatic-binding protein; HCNPpp; Phosphatidylethanolamine-binding protein 1; Raf kinase inhibitor protein; Neuropolypeptide h3; HEL-210; PEBP-1 |
应用说明
| 应用建议 |
|
||||||
|---|---|---|---|---|---|---|---|
| 应用说明 | IHC-P: Antigen Retrieval: By heat mediation. * The dilutions indicate recommended starting dilutions and the optimal dilutions or concentrations should be determined by the scientist. |
属性
| 形式 | Liquid |
|---|---|
| 纯化 | Affinity purification with immunogen. |
| 缓冲液 | 0.2% Na2HPO4, 0.9% NaCl, 0.05% Thimerosal, 0.05% Sodium azide and 5% BSA. |
| 抗菌剂 | 0.05% Thimerosal and 0.05% Sodium azide |
| 稳定剂 | 5% BSA |
| 浓度 | 0.5 mg/ml |
| 存放说明 | For continuous use, store undiluted antibody at 2-8°C for up to a week. For long-term storage, aliquot and store at -20°C or below. Storage in frost free freezers is not recommended. Avoid repeated freeze/thaw cycles. Suggest spin the vial prior to opening. The antibody solution should be gently mixed before use. |
| 注意事项 | For laboratory research only, not for drug, diagnostic or other use. |
生物信息
| 数据库连接 |
Swiss-port # P31044 Rat Phosphatidylethanolamine-binding protein 1 |
|---|---|
| 基因名称 | PEBP1 |
| 全名 | phosphatidylethanolamine binding protein 1 |
| 背景介绍 | This gene encodes a member of the phosphatidylethanolamine-binding family of proteins and has been shown to modulate multiple signaling pathways, including the MAP kinase (MAPK), NF-kappa B, and glycogen synthase kinase-3 (GSK-3) signaling pathways. The encoded protein can be further processed to form a smaller cleavage product, hippocampal cholinergic neurostimulating peptide (HCNP), which may be involved in neural development. This gene has been implicated in numerous human cancers and may act as a metastasis suppressor gene. Multiple pseudogenes of this gene have been identified in the genome. [provided by RefSeq, Jul 2015] |
| 生物功能 | Binds ATP, opioids and phosphatidylethanolamine. Has lower affinity for phosphatidylinositol and phosphatidylcholine. Serine protease inhibitor which inhibits thrombin, neuropsin and chymotrypsin but not trypsin, tissue type plasminogen activator and elastase (By similarity). Inhibits the kinase activity of RAF1 by inhibiting its activation and by dissociating the RAF1/MEK complex and acting as a competitive inhibitor of MEK phosphorylation. HCNP may be involved in the function of the presynaptic cholinergic neurons of the central nervous system. HCNP increases the production of choline acetyltransferase but not acetylcholinesterase. Seems to be mediated by a specific receptor (By similarity). [UniProt] |
| 细胞定位 | Cytoplasm. [UniProt] |
| 预测分子量 | 21 kDa |
检测图片 (2) Click the Picture to Zoom In
-
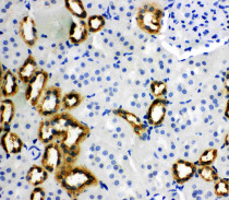
ARG40504 anti-PEBP1 / RKIP antibody IHC-P image
Immunohistochemistry: Paraffin-embedded Rat kidney stained with ARG40504 anti-PEBP1 / RKIP antibody.
-
ARG40504 anti-PEBP1 / RKIP antibody WB image
Western blot: 50 µg of Rat brain, Rat lung and Rat liver lysates stained with ARG40504 anti-PEBP1 / RKIP antibody at 0.5 µg/ml dilution.
