ARG40976
anti-PDXK antibody [1007CT2.1.1]
anti-PDXK antibody [1007CT2.1.1] for IHC-Formalin-fixed paraffin-embedded sections,Western blot and Human
概述
| 产品描述 | Mouse Monoclonal antibody recognizes PDXK |
|---|---|
| 反应物种 | Hu |
| 应用 | IHC-P, WB |
| 宿主 | Mouse |
| 克隆 | Monoclonal |
| 克隆号 | 1007CT2.1.1 |
| 同位型 | IgG1, kappa |
| 靶点名称 | PDXK |
| 抗原物种 | Human |
| 抗原 | Recombinant protein between aa. 1-312 of Human PDXK. |
| 偶联标记 | Un-conjugated |
| 別名 | HEL-S-1a; C21orf97; EC 2.7.1.35; C21orf124; PRED79; PNK; Pyridoxine kinase; PKH; Pyridoxal kinase |
应用说明
| 应用建议 |
|
||||||
|---|---|---|---|---|---|---|---|
| 应用说明 | IHC-P: Antigen Retrieval: Heat mediation was performed in Citrate buffer (pH 6.0). * The dilutions indicate recommended starting dilutions and the optimal dilutions or concentrations should be determined by the scientist. |
||||||
| 阳性对照 | 293 | ||||||
| 实际分子量 | 35 kDa |
属性
| 形式 | Liquid |
|---|---|
| 纯化 | Purification with Protein G. |
| 缓冲液 | PBS and 0.09% (W/V) Sodium azide. |
| 抗菌剂 | 0.09% (W/V) Sodium azide. |
| 存放说明 | For continuous use, store undiluted antibody at 2-8°C for up to a week. For long-term storage, aliquot and store at -20°C or below. Storage in frost free freezers is not recommended. Avoid repeated freeze/thaw cycles. Suggest spin the vial prior to opening. The antibody solution should be gently mixed before use. |
| 注意事项 | For laboratory research only, not for drug, diagnostic or other use. |
生物信息
| 数据库连接 | |
|---|---|
| 基因名称 | PDXK |
| 全名 | pyridoxal (pyridoxine, vitamin B6) kinase |
| 背景介绍 | The protein encoded by this gene phosphorylates vitamin B6, a step required for the conversion of vitamin B6 to pyridoxal-5-phosphate, an important cofactor in intermediary metabolism. The encoded protein is cytoplasmic and probably acts as a homodimer. Alternatively spliced transcript variants have been described, but their biological validity has not been determined. [provided by RefSeq, Jul 2008] |
| 生物功能 | Required for synthesis of pyridoxal-5-phosphate from vitamin B6. [UniProt] |
| 细胞定位 | Cytoplasm. [UniProt] |
| 预测分子量 | 35 kDa |
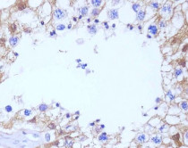
检测图片 (2) Click the Picture to Zoom In
-
ARG40976 anti-PDXK antibody IHC-P image
Immunohistochemistry: Paraformaldehyde-fixed and paraffin-embedded Human testis tissue. Tissue was blocked with 3% BSA for 0.5 hour at room temperature. Antigen Retrieval: Heat mediation was performed in Citrate buffer (pH 6.0). Samples were stained with ARG40976 anti-PDXK antibody at 1:25 dilution for 1 hours at 37°C.
-
ARG40976 anti-PDXK antibody WB image
Western blot: 20 µg of 293 cell lysate stained with ARG40976 anti-PDXK antibody at 1:4000 dilution.
