ARG45630
anti-PDLIM7 antibody
anti-PDLIM7 antibody for Flow cytometry,IHC-Formalin-fixed paraffin-embedded sections,Western blot and Human,Mouse,Rat
概述
| 产品描述 | Rabbit Polyclonal antibody recognizes PDLIM7 |
|---|---|
| 反应物种 | Hu, Ms, Rat |
| 应用 | FACS, IHC-P, WB |
| 宿主 | Rabbit |
| 克隆 | Polyclonal |
| 同位型 | IgG |
| 靶点名称 | PDLIM7 |
| 抗原物种 | Human |
| 抗原 | Recombinant protein containing to human PDLIM7. |
| 偶联标记 | Un-conjugated |
| 別名 | PDLIM7; PDZ And LIM Domain 7; ENIGMA; PDZ And LIM Domain 7 (Enigma); PDZ And LIM Domain Protein 7; Protein Enigma; LMP; Lim Mineralization Protein 3; LIM Mineralization Protein; LIM Domain Protein; 1110003B01Rik; LMP1; LMP3 |
应用说明
| 应用建议 |
|
||||||||
|---|---|---|---|---|---|---|---|---|---|
| 应用说明 | * The dilutions indicate recommended starting dilutions and the optimal dilutions or concentrations should be determined by the scientist. | ||||||||
| 实际分子量 | 50 kDa |
属性
| 形式 | Liquid |
|---|---|
| 纯化 | Affinity purified |
| 缓冲液 | 0.2% Na2HPO4, 0.9% NaCl and 4% Trehalose. |
| 稳定剂 | 4% Trehalose |
| 浓度 | 0.5 mg/ml |
| 存放说明 | For continuous use, store undiluted antibody at 2-8°C for up to a week. For long-term storage, aliquot and store at -20°C or below. Storage in frost free freezers is not recommended. Avoid repeated freeze/thaw cycles. Suggest spin the vial prior to opening. The antibody solution should be gently mixed before use. |
| 注意事项 | For laboratory research only, not for drug, diagnostic or other use. |
生物信息
| 数据库连接 | |
|---|---|
| 基因名称 | PDLIM7 |
| 全名 | PDZ And LIM Domain 7 |
| 背景介绍 | The protein encoded by this gene is representative of a family of proteins composed of conserved PDZ and LIM domains. LIM domains are proposed to function in protein-protein recognition in a variety of contexts including gene transcription and development and in cytoskeletal interaction. The LIM domains of this protein bind to protein kinases, whereas the PDZ domain binds to actin filaments. The gene product is involved in the assembly of an actin filament-associated complex essential for transmission of ret/ptc2 mitogenic signaling. The biological function is likely to be that of an adapter, with the PDZ domain localizing the LIM-binding proteins to actin filaments of both skeletal muscle and nonmuscle tissues. Alternative splicing of this gene results in multiple transcript variants. [provided by RefSeq, Jul 2008] |
| 生物功能 | May function as a scaffold on which the coordinated assembly of proteins can occur. May play a role as an adapter that, via its PDZ domain, localizes LIM-binding proteins to actin filaments of both skeletal muscle and nonmuscle tissues. Involved in both of the two fundamental mechanisms of bone formation, direct bone formation (e.g. embryonic flat bones mandible and cranium), and endochondral bone formation (e.g. embryonic long bone development). Plays a role during fracture repair. Involved in BMP6 signaling pathway (By similarity). [UniProt] |
| 细胞定位 | Cytoplasm; Cytoskeleton. [UniProt] |
| 预测分子量 | 50 kDa |
| 翻译后修饰 | Methylation; Phosphoprotein. [UniProt] |
检测图片 (5) Click the Picture to Zoom In
-
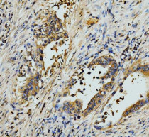
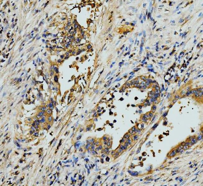
ARG45630 anti-PDLIM7 antibody IHC-P image
Immunohistochemistry: Human appendiceal adenocarcinoma stained with ARG45630 anti-PDLIM7 antibody at 2 μg/ml dilution.
-
ARG45630 anti-PDLIM7 antibody WB image
Western blot: Hela stained with ARG45630 anti-PDLIM7 antibody at 0.5 μg/ml dilution.
-
ARG45630 anti-PDLIM7 antibody FACS image
Flow Cytometry: A431 stained with ARG45630 anti-PDLIM7 antibody at 1 µg/10^6 cells dilution.
-
ARG45630 anti-PDLIM7 antibody WB image
Western blot: C6 stained with ARG45630 anti-PDLIM7 antibody at 0.5 μg/ml dilution.
-
ARG45630 anti-PDLIM7 antibody WB image
Western blot: RAW264.7 stained with ARG45630 anti-PDLIM7 antibody at 0.5 μg/ml dilution.
