ARG44458
anti-PDF antibody
anti-PDF antibody for Flow cytometry,IHC-Formalin-fixed paraffin-embedded sections,Western blot and Human,Mouse,Rat
概述
| 产品描述 | Rabbit Polyclonal antibody recognizes PDF |
|---|---|
| 反应物种 | Hu, Ms, Rat |
| 应用 | FACS, IHC-P, WB |
| 宿主 | Rabbit |
| 克隆 | Polyclonal |
| 同位型 | IgG |
| 靶点名称 | |
| 抗原物种 | Human |
| 抗原 | Human PDF recombinant protein |
| 偶联标记 | Un-conjugated |
| 別名 | PDF; Peptide Deformylase, Mitochondrial; Polypeptide Deformylase; Peptide Deformylase (Mitochondrial); Peptide Deformylase-Like Protein; EC 3.5.1.88; PDF1A |
应用说明
| 应用建议 |
|
||||||||
|---|---|---|---|---|---|---|---|---|---|
| 应用说明 | The dilutions indicate recommended starting dilutions and the optimal dilutions or concentrations should be determined by the scientist. |
属性
| 形式 | Liquid |
|---|---|
| 纯化 | Affinity purified with Immunogen. |
| 缓冲液 | 0.9% NaCl, 0.2% Na2HPO4, 0.05% Sodium azide and 4% Trehalose. |
| 抗菌剂 | 0.05% Sodium azide |
| 稳定剂 | 4% Trehalose |
| 浓度 | 0.5 mg/ml |
| 存放说明 | For continuous use, store undiluted antibody at 2-8°C for up to a week. For long-term storage, aliquot and store at -20°C or below. Storage in frost free freezers is not recommended. Avoid repeated freeze/thaw cycles. Suggest spin the vial prior to opening. The antibody solution should be gently mixed before use. |
| 注意事项 | For laboratory research only, not for drug, diagnostic or other use. |
生物信息
| 数据库连接 |
Swiss-port # Q9HBH1 Human Peptide deformylase, mitochondrial |
|---|---|
| 基因名称 | |
| 全名 | Peptide Deformylase, Mitochondrial |
| 背景介绍 | Protein synthesis proceeds after formylation of methionine by methionyl-tRNA formyl transferase (FMT) and transfer of the charged initiator f-met tRNA to the ribosome. In eubacteria and eukaryotic organelles the product of this gene, peptide deformylase (PDF), removes the formyl group from the initiating methionine of nascent peptides. In eubacteria, deformylation of nascent peptides is required for subsequent cleavage of initiating methionines by methionine aminopeptidase. The discovery that a natural inhibitor of PDF, actinonin, acts as an antimicrobial agent in some bacteria has spurred intensive research into the design of bacterial-specific PDF inhibitors. In human cells, only mitochondrial proteins have N-formylation of initiating methionines. Protein inhibitors of PDF or siRNAs of PDF block the growth of cancer cell lines but have no effect on normal cell growth. In humans, PDF function may therefore be restricted to rapidly growing cells. |
| 生物功能 | Removes the formyl group from the N-terminal Met of newly synthesized proteins. |
| 细胞定位 | Mitochondrion |
| 预测分子量 | 27 kDa |
检测图片 (5) Click the Picture to Zoom In
-
ARG44458 anti-PDF antibody IHC-P image
Immunohistochemistry: Human urothelial carcinoma stained with ARG44458 anti-PDF antibody at 2 μg/mL dilution.
-
ARG44458 anti-PDF antibody IHC-P image
Immunohistochemistry: Human esophageal squamous cell carcinoma stained with ARG44458 anti-PDF antibody at 2 μg/mL dilution.
-
ARG44458 anti-PDF antibody WB image
Western blot: MCF-7 and HepG2 stained with ARG44458 anti-PDF antibody at 0.5 μg/mL dilution.
-
ARG44458 anti-PDF antibody FACS image
Flow Cytometry: MCF-7 stained with ARG44458 anti-PDF antibody at 1 μg/10^6 cells dilution.
-
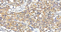
ARG44458 anti-PDF antibody IHC-P image
Immunohistochemistry: Human placenta stained with ARG44458 anti-PDF antibody at 2 μg/mL dilution.
