ARG10812
anti-PDE9A antibody
anti-PDE9A antibody for Confocal microscopy (Confocal),Dot blot,ELISA,ICC/IF,IHC-Formalin-fixed paraffin-embedded sections,Immunoprecipitation,Western blot and Human,Mouse,Rat
概述
| 产品描述 | Rabbit Polyclonal antibody recognizes PDE9A |
|---|---|
| 反应物种 | Hu, Ms, Rat |
| 应用 | Confocal, Dot, ELISA, ICC/IF, IHC-P, IP, WB |
| 宿主 | Rabbit |
| 克隆 | Polyclonal |
| 同位型 | IgG |
| 靶点名称 | PDE9A |
| 抗原物种 | Human |
| 抗原 | Synthetic cyclic peptide common to all PDE9A variants. |
| 偶联标记 | Un-conjugated |
| 別名 | High affinity cGMP-specific 3',5'-cyclic phosphodiesterase 9A; EC 3.1.4.35; HSPDE9A2 |
应用说明
| 应用建议 |
|
||||||||||||||||
|---|---|---|---|---|---|---|---|---|---|---|---|---|---|---|---|---|---|
| 应用说明 | * The dilutions indicate recommended starting dilutions and the optimal dilutions or concentrations should be determined by the scientist. |
属性
| 形式 | Liquid |
|---|---|
| 纯化 | Affinity purified. |
| 缓冲液 | Tris-Glycine Buffer (pH 7.4 - 7.8), Hepes, 0.02% Sodium azide, 30% Glycerol and 0.5% BSA. |
| 抗菌剂 | 0.02% Sodium azide |
| 稳定剂 | 30% Glycerol and 0.5% BSA |
| 浓度 | 0.5 mg/ml |
| 存放说明 | For continuous use, store undiluted antibody at 2-8°C for up to a week. For long-term storage, aliquot and store at -20°C. Storage in frost free freezers is not recommended. Avoid repeated freeze/thaw cycles. Suggest spin the vial prior to opening. The antibody solution should be gently mixed before use. |
| 注意事项 | For laboratory research only, not for drug, diagnostic or other use. |
生物信息
| 数据库连接 | |
|---|---|
| 基因名称 | PDE9A |
| 全名 | phosphodiesterase 9A |
| 背景介绍 | The protein encoded by this gene catalyzes the hydrolysis of cAMP and cGMP to their corresponding monophosphates. The encoded protein plays a role in signal transduction by regulating the intracellular concentration of these cyclic nucleotides. Multiple transcript variants encoding several different isoforms have been found for this gene. [provided by RefSeq, Jul 2008] |
| 生物功能 | Specifically hydrolyzes the second messenger cGMP, which is a key regulator of many important physiological processes. Highly specific: compared to other members of the cyclic nucleotide phosphodiesterase family, has the highest affinity and selectivity for cGMP. Specifically regulates natriuretic-peptide-dependent cGMP signaling in heart, acting as a regulator of cardiac hypertrophy in myocytes and muscle. Does not regulate nitric oxide-dependent cGMP in heart. Additional experiments are required to confirm whether its ability to hydrolyze natriuretic-peptide-dependent cGMP is specific to heart or is a general feature of the protein (Probable). In brain, involved in cognitive function, such as learning and long-term memory (By similarity). [UniProt] |
| 预测分子量 | 68 kDa |
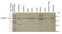
检测图片 (2) Click the Picture to Zoom In
-
ARG10812 anti-PDE9A antibody WB image
Western blot: Recombinant PDE9A protein stained with ARG10812 anti-PDE9A antibody at 1:500 dilution.
-
ARG10812 anti-PDE9A antibody WB image
Western blot: PDE9A on SDS-PAGE showing tissue distribution of PDE9A. The blots were stained with ARG10812 anti-PDE9A antibody at 1:1000 dilution.
