ARG10808
anti-PDE7B antibody
anti-PDE7B antibody for Confocal microscopy (Confocal),Dot blot,ELISA,ICC/IF,IHC-Formalin-fixed paraffin-embedded sections,Immunoprecipitation,Western blot and Human
概述
| 产品描述 | Rabbit Polyclonal antibody recognizes PDE7B |
|---|---|
| 反应物种 | Hu |
| 应用 | Confocal, Dot, ELISA, ICC/IF, IHC-P, IP, WB |
| 宿主 | Rabbit |
| 克隆 | Polyclonal |
| 同位型 | IgG |
| 靶点名称 | PDE7B |
| 抗原物种 | Human |
| 抗原 | Synthetic cyclic peptide common to all PDE7B variants. |
| 偶联标记 | Un-conjugated |
| 別名 | cAMP-specific 3',5'-cyclic phosphodiesterase 7B; bA472E5.1; EC 3.1.4.53 |
应用说明
| 应用建议 |
|
||||||||||||||||
|---|---|---|---|---|---|---|---|---|---|---|---|---|---|---|---|---|---|
| 应用说明 | * The dilutions indicate recommended starting dilutions and the optimal dilutions or concentrations should be determined by the scientist. |
属性
| 形式 | Liquid |
|---|---|
| 纯化 | Affinity purified. |
| 缓冲液 | Tris-Glycine Buffer (pH 7.4 - 7.8), Hepes, 0.02% Sodium azide, 30% Glycerol and 0.5% BSA. |
| 抗菌剂 | 0.02% Sodium azide |
| 稳定剂 | 30% Glycerol and 0.5% BSA |
| 浓度 | 0.5 mg/ml |
| 存放说明 | For continuous use, store undiluted antibody at 2-8°C for up to a week. For long-term storage, aliquot and store at -20°C. Storage in frost free freezers is not recommended. Avoid repeated freeze/thaw cycles. Suggest spin the vial prior to opening. The antibody solution should be gently mixed before use. |
| 注意事项 | For laboratory research only, not for drug, diagnostic or other use. |
生物信息
| 数据库连接 |
Swiss-port # Q9NP56 Human cAMP-specific 3',5'-cyclic phosphodiesterase 7B |
|---|---|
| 基因名称 | PDE7B |
| 全名 | phosphodiesterase 7B |
| 背景介绍 | The 3',5'-cyclic nucleotides cAMP and cGMP function as second messengers in a wide variety of signal transduction pathways. 3',5'-cyclic nucleotide phosphodiesterases (PDEs) catalyze the hydrolysis of cAMP and cGMP to the corresponding 5'-monophosphates and provide a mechanism to downregulate cAMP and cGMP signaling. This gene encodes a cAMP-specific phosphodiesterase, a member of the cyclic nucleotide phosphodiesterase family.[provided by RefSeq, Apr 2009] |
| 生物功能 | Hydrolyzes the second messenger cAMP, which is a key regulator of many important physiological processes. May be involved in the control of cAMP-mediated neural activity and cAMP metabolism in the brain. [UniProt] |
| 预测分子量 | 52 kDa |
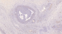
检测图片 (2) Click the Picture to Zoom In
-
ARG10808 anti-PDE7B antibody IHC-P image
Immunohistochemistry: Paraffin-embedded Human ovarian medulla tissue stained with ARG10808 anti-PDE7B antibody at 1:150 dilution.
-
ARG10808 anti-PDE7B antibody WB image
Western blot: Recombinant PDE7B protein stained with ARG10808 anti-PDE7B antibody at 1:1000 dilution.
