ARG10807
anti-PDE7A antibody
anti-PDE7A antibody for Dot blot,ELISA,IHC-Formalin-fixed paraffin-embedded sections,Immunoprecipitation,Western blot and Human,Mouse,Rat
概述
| 产品描述 | Rabbit Polyclonal antibody recognizes PDE7A |
|---|---|
| 反应物种 | Hu, Ms, Rat |
| 应用 | Dot, ELISA, IHC-P, IP, WB |
| 宿主 | Rabbit |
| 克隆 | Polyclonal |
| 同位型 | IgG |
| 靶点名称 | PDE7A |
| 抗原物种 | Human |
| 抗原 | Synthetic cyclic peptide common to all PDE7A variants. |
| 偶联标记 | Un-conjugated |
| 別名 | PDE7; High affinity cAMP-specific 3',5'-cyclic phosphodiesterase 7A; EC 3.1.4.53; TM22; HCP1 |
应用说明
| 应用建议 |
|
||||||||||||
|---|---|---|---|---|---|---|---|---|---|---|---|---|---|
| 应用说明 | * The dilutions indicate recommended starting dilutions and the optimal dilutions or concentrations should be determined by the scientist. |
属性
| 形式 | Liquid |
|---|---|
| 纯化 | Affinity purified. |
| 缓冲液 | Tris-Glycine Buffer (pH 7.4 - 7.8), Hepes, 0.02% Sodium azide, 30% Glycerol and 0.5% BSA. |
| 抗菌剂 | 0.02% Sodium azide |
| 稳定剂 | 30% Glycerol and 0.5% BSA |
| 浓度 | 0.5 mg/ml |
| 存放说明 | For continuous use, store undiluted antibody at 2-8°C for up to a week. For long-term storage, aliquot and store at -20°C. Storage in frost free freezers is not recommended. Avoid repeated freeze/thaw cycles. Suggest spin the vial prior to opening. The antibody solution should be gently mixed before use. |
| 注意事项 | For laboratory research only, not for drug, diagnostic or other use. |
生物信息
| 数据库连接 |
Swiss-port # P70453 Mouse High affinity cAMP-specific 3',5'-cyclic phosphodiesterase 7A Swiss-port # Q13946 Human High affinity cAMP-specific 3',5'-cyclic phosphodiesterase 7A |
|---|---|
| 基因名称 | PDE7A |
| 全名 | phosphodiesterase 7A |
| 背景介绍 | The protein encoded by this gene belongs to the cyclic nucleotide phosphodiesterase (PDE) family, and PDE7 subfamily. This PDE hydrolyzes the second messenger, cAMP, which is a regulator and mediator of a number of cellular responses to extracellular signals. Thus, by regulating the cellular concentration of cAMP, this protein plays a key role in many important physiological processes. Alternatively spliced transcript variants encoding different isoforms have been described for this gene. [provided by RefSeq, Jul 2011] |
| 生物功能 | Hydrolyzes the second messenger cAMP, which is a key regulator of many important physiological processes. May have a role in muscle signal transduction. [UniProt] |
| 预测分子量 | 56 kDa |
检测图片 (3) Click the Picture to Zoom In
-
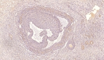
ARG10807 anti-PDE7A antibody IHC-P image
Immunohistochemistry: Paraffin-embedded Human ovarian medulla tissue stained with ARG10807 anti-PDE7A antibody at 1:200 dilution.
-
ARG10807 anti-PDE7A antibody WB image
Western blot: 1) SKNMBE, 2) MCF7, 3) Human testis, and 4) Rat testis stained with ARG10807 anti-PDE7A antibody.
-
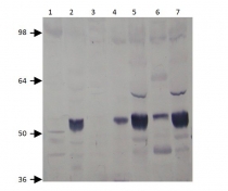
ARG10807 anti-PDE7A antibody WB image
Western blot: 1) Lung, 2) Kidney, 3) Testis, 4) Pancreas, 5&7) Heart, and 6) Brain lysates stained with ARG10807 anti-PDE7A antibody at 1:500 dilution.
