ARG45709
anti-PDE4DIP antibody
anti-PDE4DIP antibody for Flow cytometry,ICC/IF,IHC-Formalin-fixed paraffin-embedded sections,Western blot and Human
概述
| 产品描述 | Rabbit Polyclonal antibody recognizes PDE4DIP |
|---|---|
| 反应物种 | Hu |
| 应用 | FACS, ICC/IF, IHC-P, WB |
| 宿主 | Rabbit |
| 克隆 | Polyclonal |
| 同位型 | IgG |
| 靶点名称 | PDE4DIP |
| 抗原物种 | Human |
| 抗原 | Recombinant protein containing to human PDE4DIP. |
| 偶联标记 | Un-conjugated |
| 別名 | PDE4DIP; phosphodiesterase 4D interacting protein; MMGL; Phosphodiesterase 4D-interacting protein; CMYA2; Myomegalin; Cardiomyopathy-associated protein 2 |
应用说明
| 应用建议 |
|
||||||||||
|---|---|---|---|---|---|---|---|---|---|---|---|
| 应用说明 | * The dilutions indicate recommended starting dilutions and the optimal dilutions or concentrations should be determined by the scientist. | ||||||||||
| 实际分子量 | 150 kDa |
属性
| 形式 | Liquid |
|---|---|
| 纯化 | Affinity purified |
| 缓冲液 | 0.2% Na2HPO4, 0.9% NaCl and 4% Trehalose. |
| 稳定剂 | 4% Trehalose |
| 浓度 | 0.5 mg/ml |
| 存放说明 | For continuous use, store undiluted antibody at 2-8°C for up to a week. For long-term storage, aliquot and store at -20°C or below. Storage in frost free freezers is not recommended. Avoid repeated freeze/thaw cycles. Suggest spin the vial prior to opening. The antibody solution should be gently mixed before use. |
| 注意事项 | For laboratory research only, not for drug, diagnostic or other use. |
生物信息
| 数据库连接 | |
|---|---|
| 基因名称 | PDE4DIP |
| 全名 | phosphodiesterase 4D interacting protein |
| 背景介绍 | The protein encoded by this gene serves to anchor phosphodiesterase 4D to the Golgi/centrosome region of the cell. Defects in this gene may be a cause of myeloproliferative disorder (MBD) associated with eosinophilia. Several transcript variants encoding different isoforms have been found for this gene. [provided by RefSeq, Aug 2010] |
| 生物功能 | May function as an anchor sequestering components of the cAMP-dependent pathway to Golgi and/or centrosomes. [UniProt] |
| 细胞定位 | Golgi apparatus. Cytoplasm, cytoskeleton, microtubule organizing center, centrosome. Isoform 13: Cytoplasm, cytoskeleton, microtubule organizing center, centrosome. Cytoplasm, cytoskeleton. Golgi apparatus. Note=Associated with the microtubule network at the growing distal tip of microtubules (PubMed:29162697). Targeting to the Golgi apparatus requires AKAP9 (PubMed:25217626). [UniProt] |
| 预测分子量 | 265 kDa |
| 翻译后修饰 | Phosphoprotein. [UniProt] |
检测图片 (4) Click the Picture to Zoom In
-
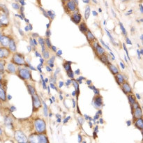
ARG45709 anti-PDE4DIP antibody IHC-P image
Immunohistochemistry: Human colorectal cancer stained with ARG45709 anti-PDE4DIP antibody at 2 μg/ml dilution.
-
ARG45709 anti-PDE4DIP antibody ICC/IF image
Immunofluorescence: MCF-7 stained with ARG45709 anti-PDE4DIP antibody at 5 μg/ml dilution.
-
ARG45709 anti-PDE4DIP antibody WB image
Western blot: HEK293 stained with ARG45709 anti-PDE4DIP antibody at 0.5 μg/ml dilution.
-
ARG45709 anti-PDE4DIP antibody FACS image
Flow Cytometry: A549 stained with ARG45709 anti-PDE4DIP antibody at 1 µg/10^6 cells dilution.
