ARG10790
anti-PDE12 antibody
anti-PDE12 antibody for ELISA,IHC-Formalin-fixed paraffin-embedded sections,Immunoprecipitation,Western blot and Human,Mouse,Rat
概述
| 产品描述 | Rabbit Polyclonal antibody recognizes PDE12 |
|---|---|
| 反应物种 | Hu, Ms, Rat |
| 应用 | ELISA, IHC-P, IP, WB |
| 宿主 | Rabbit |
| 克隆 | Polyclonal |
| 同位型 | IgG |
| 靶点名称 | PDE12 |
| 抗原物种 | Rat |
| 抗原 | Synthetic peptide taken within aa. 370-420 from Rat PDE12. |
| 偶联标记 | Un-conjugated |
| 別名 | EC 3.1.4.-; 2',5'-phosphodiesterase 12; Mitochondrial deadenylase; EC 3.1.13.4; 2'-PDE; 2-PDE |
应用说明
| 应用建议 |
|
||||||||||
|---|---|---|---|---|---|---|---|---|---|---|---|
| 应用说明 | * The dilutions indicate recommended starting dilutions and the optimal dilutions or concentrations should be determined by the scientist. |
属性
| 形式 | Liquid |
|---|---|
| 纯化 | Affinity purified. |
| 缓冲液 | Tris-Glycine Buffer (pH 7.4 - 7.8), Hepes, 0.02% Sodium azide, 30% Glycerol and 0.5% BSA. |
| 抗菌剂 | 0.02% Sodium azide |
| 稳定剂 | 30% Glycerol and 0.5% BSA |
| 浓度 | 0.5 mg/ml |
| 存放说明 | For continuous use, store undiluted antibody at 2-8°C for up to a week. For long-term storage, aliquot and store at -20°C. Storage in frost free freezers is not recommended. Avoid repeated freeze/thaw cycles. Suggest spin the vial prior to opening. The antibody solution should be gently mixed before use. |
| 注意事项 | For laboratory research only, not for drug, diagnostic or other use. |
生物信息
| 数据库连接 | |
|---|---|
| 基因名称 | Pde12 |
| 全名 | phosphodiesterase 12 |
| 生物功能 | Enzyme that cleaves 2',5'-phosphodiester bond linking adenosines of the 5'-triphosphorylated oligoadenylates, triphosphorylated oligoadenylates referred as 2-5A modulates the 2-5A system. This enzyme degraded triphosphorylated 2-5A to produce AMP and ATP. Also cleaves 3',5'-phosphodiester bond of oligoadenylates. Plays a role as a negative regulator of the The 2-5A system that is one of the major pathways for antiviral and antitumor functions induced by interferons (IFNs). Suppression of this enzyme induces reduction of viral replication in Hela cells, thus counteracting the antiviral pathway probably by inhibiting the 2-5A system. [UniProt] |
| 预测分子量 | 67 kDa |
检测图片 (3) Click the Picture to Zoom In
-
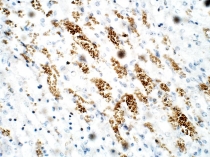
ARG10790 anti-PDE12 antibody IHC-P image
Immunohistochemistry: Formalin-fixed and paraffin-embedded Mouse kidney stained with ARG10790 anti-PDE12 antibody at 1:100 dilution.
-
ARG10790 anti-PDE12 antibody WB image
Western blot: 1) Rat kidney, 2) Rat spleen, and 3) Rat brain lysates stained with ARG10790 anti-PDE12 antibody at 1:500 dilution.
-
ARG10790 anti-PDE12 antibody IHC-P image
Immunohistochemistry: Formalin-fixed and paraffin-embedded Mouse kidney stained with ARG10790 anti-PDE12 antibody at 1:100 dilution.
