ARG45431
anti-PCTAIRE1 antibody
anti-PCTAIRE1 antibody for Flow cytometry,IHC-Formalin-fixed paraffin-embedded sections,Western blot and Human,Mouse,Rat
概述
| 产品描述 | Rabbit Polyclonal antibody recognizes PCTAIRE1 |
|---|---|
| 反应物种 | Hu, Ms, Rat |
| 应用 | FACS, IHC-P, WB |
| 宿主 | Rabbit |
| 克隆 | Polyclonal |
| 同位型 | IgG |
| 靶点名称 | PCTAIRE1 |
| 抗原物种 | Human |
| 抗原 | Recombinant protein containing to human PCTAIRE1. |
| 偶联标记 | Un-conjugated |
| 別名 | CDK16; Cyclin Dependent Kinase 16; PCTAIRE1; PCTGAIRE; PCTAIRE; PCTK1; Serine/Threonine-Protein Kinase PCTAIRE-1; Cell Division Protein Kinase 16; PCTAIRE-Motif Protein Kinase 1; Cyclin-Dependent Kinase 16; EC 2.7.11.22 47; FLJ16665; Testis Secretory Sperm-Binding Protein Li 224n; Serine/Threonine-Protein Kinase; PCTAIRE Protein Kinase 1; EC 2.7.11 47 |
应用说明
| 应用建议 |
|
||||||||
|---|---|---|---|---|---|---|---|---|---|
| 应用说明 | * The dilutions indicate recommended starting dilutions and the optimal dilutions or concentrations should be determined by the scientist. | ||||||||
| 实际分子量 | 56 kDa |
属性
| 形式 | Liquid |
|---|---|
| 纯化 | Affinity purified |
| 缓冲液 | 0.9% NaCl, 0.2% Na2HPO4, 0.05% Sodium azide and 4% Trehalose. |
| 抗菌剂 | 0.05% Sodium azide |
| 稳定剂 | 4% Trehalose |
| 浓度 | 0.5 mg/ml |
| 存放说明 | For continuous use, store undiluted antibody at 2-8°C for up to a week. For long-term storage, aliquot and store at -20°C or below. Storage in frost free freezers is not recommended. Avoid repeated freeze/thaw cycles. Suggest spin the vial prior to opening. The antibody solution should be gently mixed before use. |
| 注意事项 | For laboratory research only, not for drug, diagnostic or other use. |
生物信息
| 数据库连接 | |
|---|---|
| 基因名称 | CDK16 |
| 全名 | Cyclin Dependent Kinase 16 |
| 背景介绍 | The protein encoded by this gene belongs to the cdc2/cdkx subfamily of the ser/thr family of protein kinases. It may play a role in signal transduction cascades in terminally differentiated cells; in exocytosis; and in transport of secretory cargo from the endoplasmic reticulum. This gene is thought to escape X inactivation. Alternative splicing results in multiple transcript variants encoding different isoforms. [provided by RefSeq, Dec 2009] |
| 生物功能 | Protein kinase that plays a role in vesicle-mediated transport processes and exocytosis. Regulates GH1 release by brain neurons. [UniProt] |
| 细胞定位 | Cell membrane; Cytoplasm; Cytoplasmic vesicle; Membrane; Synapse; Synaptosome. [UniProt] |
| 预测分子量 | 56 kDa |
| 翻译后修饰 | Phosphoprotein. [UniProt]. [UniProt]. [UniProt] |
检测图片 (5) Click the Picture to Zoom In
-
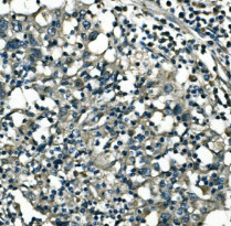
ARG45431 anti-PCTAIRE1 antibody IHC-P image
Immunohistochemistry: Human lung cancer stained with ARG45431 anti-PCTAIRE1 antibody at 1 μg/ml dilution.
-
ARG45431 anti-PCTAIRE1 antibody WB image
Western blot: Caco-2 stained with ARG45431 anti-PCTAIRE1 antibody at 0.5 μg/ml dilution.
-
ARG45431 anti-PCTAIRE1 antibody FACS image
Flow Cytometry: U2OS stained with ARG45431 anti-PCTAIRE1 antibody at 1 µg/10^6 cells dilution.
-
ARG45431 anti-PCTAIRE1 antibody WB image
Western blot: PC-12 stained with ARG45431 anti-PCTAIRE1 antibody at 0.5 μg/ml dilution.
-
ARG45431 anti-PCTAIRE1 antibody WB image
Western blot: NIH3T3 stained with ARG45431 anti-PCTAIRE1 antibody at 0.5 μg/ml dilution.
