ARG63906
anti-PCK1 / PEPCKC antibody
anti-PCK1 / PEPCKC antibody for IHC-Formalin-fixed paraffin-embedded sections and Human
Cancer antibody; Cell Biology and Cellular Response antibody; Metabolism antibody; Signaling Transduction antibody
概述
| 产品描述 | Goat Polyclonal antibody recognizes PCK1 / PEPCKC |
|---|---|
| 反应物种 | Hu |
| 预测物种 | Ms, Rat, Cow, Dog, Pig |
| 应用 | IHC-P |
| 宿主 | Goat |
| 克隆 | Polyclonal |
| 同位型 | IgG |
| 靶点名称 | PCK1 / PEPCKC |
| 抗原物种 | Human |
| 抗原 | C-HVNWFRKDKEGK |
| 偶联标记 | Un-conjugated |
| 別名 | Phosphoenolpyruvate carboxykinase, cytosolic [GTP]; EC 4.1.1.32; PEPCK1; PEPCK-C; PEPCKC |
应用说明
| 应用建议 |
|
||||
|---|---|---|---|---|---|
| 应用说明 | IHC-P: Antigen Retrieval: Steam tissue section in Citrate buffer (pH 6.0). * The dilutions indicate recommended starting dilutions and the optimal dilutions or concentrations should be determined by the scientist. |
属性
| 形式 | Liquid |
|---|---|
| 纯化 | Purified from goat serum by antigen affinity chromatography. |
| 缓冲液 | Tris saline (pH 7.3), 0.02% Sodium azide and 0.5% BSA. |
| 抗菌剂 | 0.02% Sodium azide |
| 稳定剂 | 0.5% BSA |
| 浓度 | 0.5 mg/ml |
| 存放说明 | For continuous use, store undiluted antibody at 2-8°C for up to a week. For long-term storage, aliquot and store at -20°C or below. Storage in frost free freezers is not recommended. Avoid repeated freeze/thaw cycles. Suggest spin the vial prior to opening. The antibody solution should be gently mixed before use. |
| 注意事项 | For laboratory research only, not for drug, diagnostic or other use. |
生物信息
| 数据库连接 |
Swiss-port # P35558 Human Phosphoenolpyruvate carboxykinase, cytosolic [GTP] |
|---|---|
| 背景介绍 | This gene is a main control point for the regulation of gluconeogenesis. The cytosolic enzyme encoded by this gene, along with GTP, catalyzes the formation of phosphoenolpyruvate from oxaloacetate, with the release of carbon dioxide and GDP. The expression of this gene can be regulated by insulin, glucocorticoids, glucagon, cAMP, and diet. Defects in this gene are a cause of cytosolic phosphoenolpyruvate carboxykinase deficiency. A mitochondrial isozyme of the encoded protein also has been characterized. [provided by RefSeq, Jul 2008] |
| 研究领域 | Cancer antibody; Cell Biology and Cellular Response antibody; Metabolism antibody; Signaling Transduction antibody |
| 预测分子量 | 69 kDa |
| 翻译后修饰 | Lysine acetylation by p300/EP300 is increased on high glucose conditions and promotes ubiquitination by UBR5, acetylation is enhanced in the presence of BAG6. Deacetylated by SIRT2. Ubiquitination by UBR5 leads to proteasomal degradation. |
检测图片 (3) Click the Picture to Zoom In
-
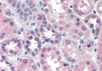
ARG63906 anti-PCK1 / PEPCKC antibody IHC-P image
Immunohistochemistry: Paraffin-embedded Human kidney tissue. Antigen Retrieval: Steam tissue section in Citrate buffer (pH 6.0). The tissue section was stained with ARG63906 anti-PCK1 / PEPCKC antibody at 2 µg/ml dilution followed by AP-staining.
-
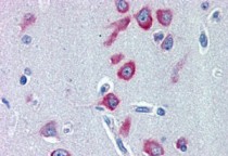
ARG63906 anti-PCK1 / PEPCKC antibody IHC-P image
Immunohistochemistry: paraffin embedded Human Cerebral Cortex. (Steamed antigen retrieval with citrate buffer pH 6) stained with ARG63906 anti-PCK1 / PEPCKC antibody at 2 µg/ml dilution followed by AP-staining.
-
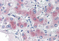
ARG63906 anti-PCK1 / PEPCKC antibody IHC-P image
Immunohistochemistry: Paraffin-embedded Human liver tissue. Antigen Retrieval: Steam tissue section in Citrate buffer (pH 6.0). The tissue section was stained with ARG63906 anti-PCK1 / PEPCKC antibody at 2 µg/ml dilution followed by AP-staining.
