ARG44456
anti-PCDHB14 antibody
anti-PCDHB14 antibody for Flow cytometry,IHC-Formalin-fixed paraffin-embedded sections,Western blot and Human,Mouse,Rat
概述
| 产品描述 | Rabbit Polyclonal antibody recognizes PCDHB14 |
|---|---|
| 反应物种 | Hu, Ms, Rat |
| 应用 | FACS, IHC-P, WB |
| 宿主 | Rabbit |
| 克隆 | Polyclonal |
| 同位型 | IgG |
| 靶点名称 | PCDHB14 |
| 抗原物种 | Human |
| 抗原 | Human PCDHB14 recombinant protein |
| 偶联标记 | Un-conjugated |
| 別名 | PCDHB14; Protocadherin Beta 14; PCDH-BETA14; Protocadherin Beta-14; PCDH-Beta-14 |
应用说明
| 应用建议 |
|
||||||||
|---|---|---|---|---|---|---|---|---|---|
| 应用说明 | The dilutions indicate recommended starting dilutions and the optimal dilutions or concentrations should be determined by the scientist. |
属性
| 形式 | Liquid |
|---|---|
| 纯化 | Affinity purified with Immunogen. |
| 缓冲液 | 0.9% NaCl, 0.2% Na2HPO4, 0.05% Sodium azide and 4% Trehalose. |
| 抗菌剂 | 0.05% Sodium azide |
| 稳定剂 | 4% Trehalose |
| 浓度 | 0.5 mg/ml |
| 存放说明 | For continuous use, store undiluted antibody at 2-8°C for up to a week. For long-term storage, aliquot and store at -20°C or below. Storage in frost free freezers is not recommended. Avoid repeated freeze/thaw cycles. Suggest spin the vial prior to opening. The antibody solution should be gently mixed before use. |
| 注意事项 | For laboratory research only, not for drug, diagnostic or other use. |
生物信息
| 数据库连接 | |
|---|---|
| 基因名称 | PCDHB14 |
| 全名 | Protocadherin Beta 14 |
| 背景介绍 | This gene is a member of the protocadherin beta gene cluster, one of three related gene clusters tandemly linked on chromosome five. The gene clusters demonstrate an unusual genomic organization similar to that of B-cell and T-cell receptor gene clusters. The beta cluster contains 16 genes and 3 pseudogenes, each encoding 6 extracellular cadherin domains and a cytoplasmic tail that deviates from others in the cadherin superfamily. The extracellular domains interact in a homophilic manner to specify differential cell-cell connections. Unlike the alpha and gamma clusters, the transcripts from these genes are made up of only one large exon, not sharing common 3' exons as expected. These neural cadherin-like cell adhesion proteins are integral plasma membrane proteins. Their specific functions are unknown but they most likely play a critical role in the establishment and function of specific cell-cell neural connections. |
| 生物功能 | Potential calcium-dependent cell-adhesion protein. May be involved in the establishment and maintenance of specific neuronal connections in the brain. |
| 细胞定位 | Cell membrane, Membrane |
| 预测分子量 | 88 kDa |
| 翻译后修饰 | Disulfide bond, Glycoprotein |
检测图片 (5) Click the Picture to Zoom In
-
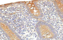
ARG44456 anti-PCDHB14 antibody IHC-P image
Immunohistochemistry: Human appendiceal carcinoid stained with ARG44456 anti-PCDHB14 antibody at 2 μg/mL dilution.
-
ARG44456 anti-PCDHB14 antibody WB image
Western blot: SH-SY5Y and SiHa stained with ARG44456 anti-PCDHB14 antibody at 0.5 μg/mL dilution.
-
ARG44456 anti-PCDHB14 antibody FACS image
Flow Cytometry: SH-SY5Y stained with ARG44456 anti-PCDHB14 antibody at 1 μg/10^6 cells dilution.
-
ARG44456 anti-PCDHB14 antibody WB image
Western blot: C6 and PC-12 stained with ARG44456 anti-PCDHB14 antibody at 0.5 μg/mL dilution.
-
ARG44456 anti-PCDHB14 antibody WB image
Western blot: ANA-1 stained with ARG44456 anti-PCDHB14 antibody at 0.5 μg/mL dilution.
