ARG44378
anti-PCDHA12 antibody
anti-PCDHA12 antibody for Western blot and Human,Mouse,Rat
概述
| 产品描述 | Rabbit Polyclonal antibody recognizes PCDHA12 |
|---|---|
| 反应物种 | Hu, Ms, Rat |
| 应用 | WB |
| 宿主 | Rabbit |
| 克隆 | Polyclonal |
| 同位型 | IgG |
| 靶点名称 | PCDHA12 |
| 抗原物种 | Human |
| 抗原 | Recombinant fusion protein containing a sequence corresponding to amino acids 713-792 of human PCDHA12 |
| 偶联标记 | Un-conjugated |
| 別名 | PCDHA12; Protocadherin Alpha 12; PCDH-ALPHA12; Protocadherin Alpha-12 KIAA0345-Like 2; PCDH-Alpha-12 |
应用说明
| 应用建议 |
|
||||
|---|---|---|---|---|---|
| 应用说明 | * The dilutions indicate recommended starting dilutions and the optimal dilutions or concentrations should be determined by the scientist. |
属性
| 形式 | Liquid |
|---|---|
| 纯化 | Affinity purified. |
| 缓冲液 | PBS (pH 7.3), 0.02% sodium azide and 50% Glycerol. |
| 抗菌剂 | 0.02% sodium azide |
| 稳定剂 | 50% Glycerol |
| 存放说明 | For continuous use, store undiluted antibody at 2-8°C for up to a week. For long-term storage, aliquot and store at -20°C. Storage in frost free freezers is not recommended. Avoid repeated freeze/thaw cycles. Suggest spin the vial prior to opening. The antibody solution should be gently mixed before use. |
| 注意事项 | For laboratory research only, not for drug, diagnostic or other use. |
生物信息
| 数据库连接 | |
|---|---|
| 基因名称 | PCDHA12 |
| 全名 | Protocadherin Alpha 12 |
| 背景介绍 | This gene is a member of the protocadherin alpha gene cluster, one of three related gene clusters tandemly linked on chromosome five that demonstrate an unusual genomic organization similar to that of B-cell and T-cell receptor gene clusters. The alpha gene cluster is composed of 15 cadherin superfamily genes related to the mouse CNR genes and consists of 13 highly similar and 2 more distantly related coding sequences. The tandem array of 15 N-terminal exons, or variable exons, are followed by downstream C-terminal exons, or constant exons, which are shared by all genes in the cluster. The large, uninterrupted N-terminal exons each encode six cadherin ectodomains while the C-terminal exons encode the cytoplasmic domain. These neural cadherin-like cell adhesion proteins are integral plasma membrane proteins that most likely play a critical role in the establishment and function of specific cell-cell connections in the brain. Alternative splicing has been observed and additional variants have been suggested but their full-length nature has yet to be determined. |
| 生物功能 | Potential calcium-dependent cell-adhesion protein. May be involved in the establishment and maintenance of specific neuronal connections in the brain. |
| 细胞定位 | Cell membrane, Membrane |
| 预测分子量 | 102 kDa |
| 翻译后修饰 | Glycoprotein |
检测图片 (3) Click the Picture to Zoom In
-
ARG44378 anti-PCDHA12 antibody WB image
Western blot: HL60 stained with ARG44378 anti-PCDHA12 antibody at 1:1000 dilution.
-
ARG44378 anti-PCDHA12 antibody WB image
Western blot: Rat spinal cord and Rat brain stained with ARG44378 anti-PCDHA12 antibody at 1:1000 dilution.
-
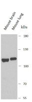
ARG44378 anti-PCDHA12 antibody WB image
Western blot: Mouse brain and Mouse lung stained with ARG44378 anti-PCDHA12 antibody at 1:1000 dilution.
