ARG43089
anti-PCDH15 antibody
anti-PCDH15 antibody for Flow cytometry,IHC-Formalin-fixed paraffin-embedded sections and Human,Mouse,Rat
概述
| 产品描述 | Rabbit Polyclonal antibody recognizes PCDH15 |
|---|---|
| 反应物种 | Hu, Ms, Rat |
| 应用 | FACS, IHC-P |
| 宿主 | Rabbit |
| 克隆 | Polyclonal |
| 同位型 | IgG |
| 靶点名称 | PCDH15 |
| 抗原物种 | Human |
| 抗原 | Synthetic peptide corresponding to a sequence of Human PCDH15. (DLTVYAIDPQTNRAIDRNELFKFLDGKLLDINKDFQ) |
| 偶联标记 | Un-conjugated |
| 別名 | DFNB23; Protocadherin-15; USH1F; CDHR15 |
应用说明
| 应用建议 |
|
||||||
|---|---|---|---|---|---|---|---|
| 应用说明 | IHC-P: Antigen Retrieval: Heat mediation was performed in Citrate buffer (pH 6.0) for 20 min. * The dilutions indicate recommended starting dilutions and the optimal dilutions or concentrations should be determined by the scientist. |
属性
| 形式 | Liquid |
|---|---|
| 纯化 | Affinity purification with immunogen. |
| 缓冲液 | 0.2% Na2HPO4, 0.9% NaCl, 0.05% Sodium azide and 4% Trehalose. |
| 抗菌剂 | 0.05% Sodium azide |
| 稳定剂 | 4% Trehalose |
| 浓度 | 0.5 mg/ml |
| 存放说明 | For continuous use, store undiluted antibody at 2-8°C for up to a week. For long-term storage, aliquot and store at -20°C or below. Storage in frost free freezers is not recommended. Avoid repeated freeze/thaw cycles. Suggest spin the vial prior to opening. The antibody solution should be gently mixed before use. |
| 注意事项 | For laboratory research only, not for drug, diagnostic or other use. |
生物信息
| 数据库连接 | |
|---|---|
| 基因名称 | PCDH15 |
| 全名 | protocadherin-related 15 |
| 背景介绍 | This gene is a member of the cadherin superfamily. Family members encode integral membrane proteins that mediate calcium-dependent cell-cell adhesion. It plays an essential role in maintenance of normal retinal and cochlear function. Mutations in this gene result in hearing loss and Usher Syndrome Type IF (USH1F). Extensive alternative splicing resulting in multiple isoforms has been observed in the mouse ortholog. Similar alternatively spliced transcripts are inferred to occur in human, and additional variants are likely to occur. [provided by RefSeq, Dec 2008] |
| 生物功能 | Calcium-dependent cell-adhesion protein. Essential for maintenance of normal retinal and cochlear function. [UniProt] |
| 细胞定位 | Cell membrane; Single-pass type I membrane protein. Note=Efficient localization to the plasma membrane requires the presence of LHFPL5. Isoform 3: Secreted. [UniProt] |
| 预测分子量 | 216 kDa |
检测图片 (9) Click the Picture to Zoom In
-
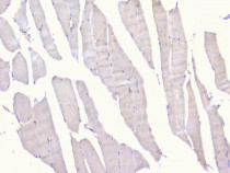
ARG43089 anti-PCDH15 antibody IHC-P image
Immunohistochemistry: Paraffin-embedded Human skeletal muscle tissue. Antigen Retrieval: Heat mediation was performed in Citrate buffer (pH 6.0) for 20 min. The tissue section was blocked with 10% goat serum. The tissue section was then stained with ARG43089 anti-PCDH15 antibody at 1 µg/ml dilution, overnight at 4°C.
-
ARG43089 anti-PCDH15 antibody FACS image
Flow Cytometry: U-87MG cells were blocked with 10% normal goat serum and then stained with ARG43089 anti-PCDH15 antibody (blue) at 1 µg/10^6 cells for 30 min at 20°C, followed by incubation with DyLight®488 labelled secondary antibody. Isotype control antibody (green) was rabbit IgG (1 µg/10^6 cells) used under the same conditions. Unlabelled sample (red) was also used as a control.
-
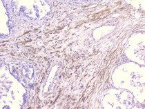
ARG43089 anti-PCDH15 antibody IHC-P image
Immunohistochemistry: Paraffin-embedded Human prostatic cancer tissue. Antigen Retrieval: Heat mediation was performed in Citrate buffer (pH 6.0) for 20 min. The tissue section was blocked with 10% goat serum. The tissue section was then stained with ARG43089 anti-PCDH15 antibody at 1 µg/ml dilution, overnight at 4°C.
-
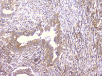
ARG43089 anti-PCDH15 antibody IHC-P image
Immunohistochemistry: Paraffin-embedded Human rectal cancer tissue. Antigen Retrieval: Heat mediation was performed in Citrate buffer (pH 6.0) for 20 min. The tissue section was blocked with 10% goat serum. The tissue section was then stained with ARG43089 anti-PCDH15 antibody at 1 µg/ml dilution, overnight at 4°C.
-
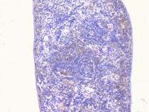
ARG43089 anti-PCDH15 antibody IHC-P image
Immunohistochemistry: Paraffin-embedded Human tonsil tissue. Antigen Retrieval: Heat mediation was performed in Citrate buffer (pH 6.0) for 20 min. The tissue section was blocked with 10% goat serum. The tissue section was then stained with ARG43089 anti-PCDH15 antibody at 1 µg/ml dilution, overnight at 4°C.
-
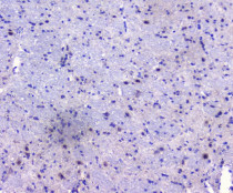
ARG43089 anti-PCDH15 antibody IHC-P image
Immunohistochemistry: Paraffin-embedded Rat brain tissue. Antigen Retrieval: Heat mediation was performed in Citrate buffer (pH 6.0) for 20 min. The tissue section was blocked with 10% goat serum. The tissue section was then stained with ARG43089 anti-PCDH15 antibody at 1 µg/ml dilution, overnight at 4°C.
-
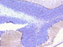
ARG43089 anti-PCDH15 antibody IHC-P image
Immunohistochemistry: Paraffin-embedded Mouse brain tissue. Antigen Retrieval: Heat mediation was performed in Citrate buffer (pH 6.0) for 20 min. The tissue section was blocked with 10% goat serum. The tissue section was then stained with ARG43089 anti-PCDH15 antibody at 1 µg/ml dilution, overnight at 4°C.
-
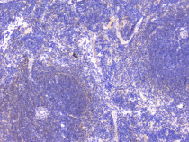
ARG43089 anti-PCDH15 antibody IHC-P image
Immunohistochemistry: Paraffin-embedded Mouse spleen tissue. Antigen Retrieval: Heat mediation was performed in Citrate buffer (pH 6.0) for 20 min. The tissue section was blocked with 10% goat serum. The tissue section was then stained with ARG43089 anti-PCDH15 antibody at 1 µg/ml dilution, overnight at 4°C.
-
ARG43089 anti-PCDH15 antibody IHC-P image
Immunohistochemistry: Paraffin-embedded Rat spleen tissue. Antigen Retrieval: Heat mediation was performed in Citrate buffer (pH 6.0) for 20 min. The tissue section was blocked with 10% goat serum. The tissue section was then stained with ARG43089 anti-PCDH15 antibody at 1 µg/ml dilution, overnight at 4°C.
