ARG41763
anti-PAX8 antibody [PAX8/1492]
anti-PAX8 antibody [PAX8/1492] for Flow cytometry,ICC/IF,IHC-Formalin-fixed paraffin-embedded sections,Western blot and Human
概述
| 产品描述 | Mouse Monoclonal antibody [PAX8/1492] recognizes PAX8 |
|---|---|
| 反应物种 | Hu |
| 应用 | FACS, ICC/IF, IHC-P, WB |
| 宿主 | Mouse |
| 克隆 | Monoclonal |
| 克隆号 | PAX8/1492 |
| 同位型 | IgG2a, kappa |
| 靶点名称 | PAX8 |
| 抗原物种 | Human |
| 抗原 | Recombinant fragment corresponding to aa. 60-261 of Human PAX8. |
| 偶联标记 | Un-conjugated |
| 別名 | Paired box protein Pax-8 |
应用说明
| 应用建议 |
|
||||||||||
|---|---|---|---|---|---|---|---|---|---|---|---|
| 应用说明 | IHC-P: Antigen Retrieval: Boil tissue section in 10 mM Tris with 1 mM EDTA (pH 9.0) for 10-20 min, followed by cooling at RT for 20 min. * The dilutions indicate recommended starting dilutions and the optimal dilutions or concentrations should be determined by the scientist. |
||||||||||
| 实际分子量 | ~ 48 kDa |
属性
| 形式 | Liquid |
|---|---|
| 纯化 | Purification with Protein G. |
| 缓冲液 | PBS, 0.05% Sodium azide and 0.1 mg/ml BSA. |
| 抗菌剂 | 0.05% Sodium azide |
| 稳定剂 | 0.1 mg/ml BSA |
| 浓度 | 0.2 mg/ml |
| 存放说明 | For continuous use, store undiluted antibody at 2-8°C for up to a week. For long-term storage, aliquot and store at -20°C or below. Storage in frost free freezers is not recommended. Avoid repeated freeze/thaw cycles. Suggest spin the vial prior to opening. The antibody solution should be gently mixed before use. |
| 注意事项 | For laboratory research only, not for drug, diagnostic or other use. |
生物信息
| 数据库连接 | |
|---|---|
| 基因名称 | PAX8 |
| 全名 | paired box 8 |
| 背景介绍 | This gene encodes a member of the paired box (PAX) family of transcription factors. Members of this gene family typically encode proteins that contain a paired box domain, an octapeptide, and a paired-type homeodomain. This nuclear protein is involved in thyroid follicular cell development and expression of thyroid-specific genes. Mutations in this gene have been associated with thyroid dysgenesis, thyroid follicular carcinomas and atypical follicular thyroid adenomas. Alternatively spliced transcript variants encoding different isoforms have been described. [provided by RefSeq, Mar 2010] |
| 生物功能 | Transcription factor for the thyroid-specific expression of the genes exclusively expressed in the thyroid cell type, maintaining the functional differentiation of such cells. [UniProt] |
| 细胞定位 | Nucleus. [UniProt] |
| 预测分子量 | 48 kDa |
检测图片 (4) Click the Picture to Zoom In
-
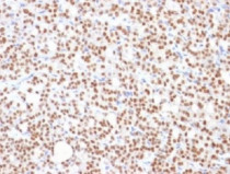
ARG41763 anti-PAX8 antibody [PAX8/1492] IHC-P image
Immunohistochemistry: Formalin-fixed and paraffin-embedded Human thyroid carcinoma tissue stained with ARG41763 anti-PAX8 antibody [PAX8/1492]. Antigen Retrieval: Boil tissue section in 10 mM Tris with 1 mM EDTA (pH 9.0) for 10-20 min, followed by cooling at RT for 20 min.
-
ARG41763 anti-PAX8 antibody [PAX8/1492] WB image
Western blot: Raji cell lysate stained with ARG41763 anti-PAX8 antibody [PAX8/1492].
-
ARG41763 anti-PAX8 antibody [PAX8/1492] IHC-P image
Immunohistochemistry: Formalin-fixed and paraffin-embedded Human urothelial carcinoma tissue stained with ARG41763 anti-PAX8 antibody [PAX8/1492]. Antigen Retrieval: Boil tissue section in 10 mM Tris with 1 mM EDTA (pH 9.0) for 10-20 min, followed by cooling at RT for 20 min.
-
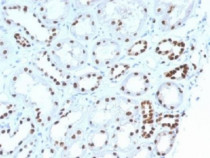
ARG41763 anti-PAX8 antibody [PAX8/1492] IHC-P image
Immunohistochemistry: Formalin-fixed and paraffin-embedded Human renal cell carcinoma tissue stained with ARG41763 anti-PAX8 antibody [PAX8/1492]. Antigen Retrieval: Boil tissue section in 10 mM Tris with 1 mM EDTA (pH 9.0) for 10-20 min, followed by cooling at RT for 20 min.
