ARG41682
anti-PAX5 antibody [6I4]
anti-PAX5 antibody [6I4] for ICC/IF,IHC-Formalin-fixed paraffin-embedded sections,Western blot and Human,Mouse,Rat
概述
| 产品描述 | Mouse Monoclonal antibody [6I4] recognizes PAX5 |
|---|---|
| 反应物种 | Hu, Ms, Rat |
| 应用 | ICC/IF, IHC-P, WB |
| 宿主 | Mouse |
| 克隆 | Monoclonal |
| 克隆号 | 6I4 |
| 同位型 | IgG2b |
| 靶点名称 | PAX5 |
| 抗原物种 | Human |
| 抗原 | Recombinant protein corresponding to R217-A282 of Human PAX5. |
| 偶联标记 | Un-conjugated |
| 別名 | Paired box protein Pax-5; ALL3; B-cell-specific transcription factor; BSAP |
应用说明
| 应用建议 |
|
||||||||
|---|---|---|---|---|---|---|---|---|---|
| 应用说明 | IHC-P: Antigen Retrieval: Heat mediation was performed in Citrate buffer (pH 6.0, epitope retrieval solution) for 20 min. * The dilutions indicate recommended starting dilutions and the optimal dilutions or concentrations should be determined by the scientist. |
||||||||
| 实际分子量 | ~ 45 kDa |
属性
| 形式 | Liquid |
|---|---|
| 纯化 | Affinity purification with immunogen. |
| 缓冲液 | 0.2% Na2HPO4, 0.9% NaCl, 0.05% Sodium azide and 4% Trehalose. |
| 抗菌剂 | 0.05% Sodium azide |
| 稳定剂 | 4% Trehalose |
| 浓度 | 0.5 mg/ml |
| 存放说明 | For continuous use, store undiluted antibody at 2-8°C for up to a week. For long-term storage, aliquot and store at -20°C or below. Storage in frost free freezers is not recommended. Avoid repeated freeze/thaw cycles. Suggest spin the vial prior to opening. The antibody solution should be gently mixed before use. |
| 注意事项 | For laboratory research only, not for drug, diagnostic or other use. |
生物信息
| 数据库连接 | |
|---|---|
| 基因名称 | PAX5 |
| 全名 | paired box 5 |
| 背景介绍 | This gene encodes a member of the paired box (PAX) family of transcription factors. The central feature of this gene family is a novel, highly conserved DNA-binding motif, known as the paired box. Paired box transcription factors are important regulators in early development, and alterations in the expression of their genes are thought to contribute to neoplastic transformation. This gene encodes the B-cell lineage specific activator protein that is expressed at early, but not late stages of B-cell differentiation. Its expression has also been detected in developing CNS and testis and so the encoded protein may also play a role in neural development and spermatogenesis. This gene is located at 9p13, which is involved in t(9;14)(p13;q32) translocations recurring in small lymphocytic lymphomas of the plasmacytoid subtype, and in derived large-cell lymphomas. This translocation brings the potent E-mu enhancer of the IgH gene into close proximity of the PAX5 promoter, suggesting that the deregulation of transcription of this gene contributes to the pathogenesis of these lymphomas. Alternative splicing results in multiple transcript variants encoding different isoforms. [provided by RefSeq, Jul 2013] |
| 生物功能 | May play an important role in B-cell differentiation as well as neural development and spermatogenesis. Involved in the regulation of the CD19 gene, a B-lymphoid-specific target gene. [UniProt] |
| 细胞定位 | Nucleus. [UniProt] |
| 预测分子量 | 42 kDa |
| 翻译后修饰 | O-glycosylated. [UniProt] |
检测图片 (6) Click the Picture to Zoom In
-
ARG41682 anti-PAX5 antibody [6I4] ICC/IF image
Immunofluorescence: U2OS cells were blocked with 10% goat serum and then stained with ARG41682 anti-PAX5 antibody [6I4] at 2 µg/ml dilution, overnight at 4°C. DAPI (blue) for nuclear staining.
-
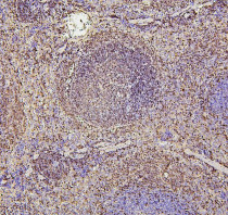
ARG41682 anti-PAX5 antibody [6I4] IHC-P image
Immunohistochemistry: Paraffin-embedded Human tonsil tissues. Antigen Retrieval: Heat mediation was performed in Citrate buffer (pH 6.0, epitope retrieval solution) for 20 min. The tissue section was blocked with 10% goat serum. The tissue section was then stained with ARG41682 anti-PAX5 antibody [6I4] at 1 µg/ml dilution, overnight at 4°C.
-
ARG41682 anti-PAX5 antibody [6I4] WB image
Western blot: 50 µg of sample under reducing conditions. Raji whole cell lysate stained with ARG41682 anti-PAX5 antibody [6I4] at 0.5 µg/ml dilution, overnight at 4°C.
-
ARG41682 anti-PAX5 antibody [6I4] IHC-P image
Immunohistochemistry: Paraffin-embedded Mouse spleen tissue. Antigen Retrieval: Heat mediation was performed in Citrate buffer (pH 6.0, epitope retrieval solution) for 20 min. The tissue section was blocked with 10% goat serum. The tissue section was then stained with ARG41682 anti-PAX5 antibody [6I4] at 1 µg/ml dilution, overnight at 4°C.
-
ARG41682 anti-PAX5 antibody [6I4] IHC-P image
Immunohistochemistry: Paraffin-embedded Rat spleen tissue. Antigen Retrieval: Heat mediation was performed in Citrate buffer (pH 6.0, epitope retrieval solution) for 20 min. The tissue section was blocked with 10% goat serum. The tissue section was then stained with ARG41682 anti-PAX5 antibody [6I4] at 1 µg/ml dilution, overnight at 4°C.
-
ARG41682 anti-PAX5 antibody [6I4] IHC-P image
Immunohistochemistry: Paraffin-embedded Rat spleen tissue. Antigen Retrieval: Heat mediation was performed in Citrate buffer (pH 6.0, epitope retrieval solution) for 20 min. The tissue section was blocked with 10% goat serum. The tissue section was then stained with ARG41682 anti-PAX5 antibody [6I4] at 1 µg/ml dilution, overnight at 4°C.
