ARG63523
anti-PAX3 antibody
anti-PAX3 antibody for IHC-Formalin-fixed paraffin-embedded sections,Western blot and Human
Controls and Markers antibody; Developmental Biology antibody; Gene Regulation antibody
概述
| 产品描述 | Goat Polyclonal antibody recognizes PAX3 |
|---|---|
| 反应物种 | Hu |
| 预测物种 | Cow, Rat |
| 应用 | IHC-P, WB |
| 特异性 | This antibody is expected to recognise all 7 reported human isoforms (as represented by NP_000429.2; NP_039230.1; NP_852122.1;.1 NP_852123.1; NP_852124.1; NP_852125.1 and NP_852126.1). |
| 宿主 | Goat |
| 克隆 | Polyclonal |
| 同位型 | IgG |
| 靶点名称 | PAX3 |
| 抗原物种 | Human |
| 抗原 | TTLAGAVPRMM-C |
| 偶联标记 | Un-conjugated |
| 別名 | Paired box protein Pax-3; HUP2; WS1; WS3; HuP2; CDHS |
应用说明
| 应用建议 |
|
||||||
|---|---|---|---|---|---|---|---|
| 应用说明 | WB: Recommend incubate at RT for 1h. IHC-P: Antigen Retrieval: Heat mediation was performed in Citrate buffer (pH 6.0). * The dilutions indicate recommended starting dilutions and the optimal dilutions or concentrations should be determined by the scientist. |
属性
| 形式 | Liquid |
|---|---|
| 纯化 | Purified from goat serum by antigen affinity chromatography. |
| 缓冲液 | Tris saline (pH 7.3), 0.02% Sodium azide and 0.5% BSA. |
| 抗菌剂 | 0.02% Sodium azide |
| 稳定剂 | 0.5% BSA |
| 浓度 | 0.5 mg/ml |
| 存放说明 | For continuous use, store undiluted antibody at 2-8°C for up to a week. For long-term storage, aliquot and store at -20°C or below. Storage in frost free freezers is not recommended. Avoid repeated freeze/thaw cycles. Suggest spin the vial prior to opening. The antibody solution should be gently mixed before use. |
| 注意事项 | For laboratory research only, not for drug, diagnostic or other use. |
生物信息
| 数据库连接 | |
|---|---|
| 背景介绍 | This gene is a member of the paired box (PAX) family of transcription factors. Members of the PAX family typically contain a paired box domain and a paired-type homeodomain. These genes play critical roles during fetal development. Mutations in paired box gene 3 are associated with Waardenburg syndrome, craniofacial-deafness-hand syndrome, and alveolar rhabdomyosarcoma. The translocation t(2;13)(q35;q14), which represents a fusion between PAX3 and the forkhead gene, is a frequent finding in alveolar rhabdomyosarcoma. Alternative splicing results in transcripts encoding isoforms with different C-termini. [provided by RefSeq, Jul 2008] |
| 研究领域 | Controls and Markers antibody; Developmental Biology antibody; Gene Regulation antibody |
| 预测分子量 | 53 kDa |
检测图片 (2) Click the Picture to Zoom In
-
ARG63523 anti-PAX3 antibody WB image
Western Blot: Human Duodenum lysate (35 µg protein in RIPA buffer) stained with ARG63523 anti-PAX3 antibody at 0.3 µg/ml dilution.
-
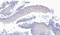
ARG63523 anti-PAX3 antibody IHC-P image
Immunohistochemistry: Paraffin-embedded Human esophagus tissue. Antigen Retrieval: Heat mediation was performed in Citrate buffer (pH 6.0). The tissue section was stained with ARG63523 anti-PAX3 antibody at 4.5 µg/ml dilution followed by HRP-staining.
