ARG45626
anti-PAR-3 / PARD3 antibody
anti-PAR-3 / PARD3 antibody for Flow cytometry,ICC/IF,IHC-Formalin-fixed paraffin-embedded sections,Western blot and Human
概述
| 产品描述 | Rabbit Polyclonal antibody recognizes PAR-3 / PARD3 |
|---|---|
| 反应物种 | Hu |
| 应用 | FACS, ICC/IF, IHC-P, WB |
| 宿主 | Rabbit |
| 克隆 | Polyclonal |
| 同位型 | IgG |
| 靶点名称 | PAR-3 / PARD3 |
| 抗原物种 | Human |
| 抗原 | Recombinant protein containing to human PAR-3 / PARD3. |
| 偶联标记 | Un-conjugated |
| 別名 | PARD3; Par-3 Family Cell Polarity Regulator; PAR3; ASIP; PPP1R118; Bazooka; PARD3A; Baz; Atypical PKC Isotype-Specific Interacting Protein; Protein Phosphatase 1, Regulatory Subunit 118; Par-3 Family Cell Polarity Regulator Alpha; Partitioning Defective 3 Homolog; CTCL Tumor Antigen Se2-5; PAR3-Alpha; PARD-3; Par-3 (Partitioning Defective 3, C.Elegans) Homolog; Par-3 Partitioning Defective 3 Homolog (C. Elegans); Atypical PKC Isotype-Specific-Interacting Protein; Par-3 Partitioning Defective 3 Homolog; PAR3alpha; SE2-5L16; SE2-5LT1; SE2-5T2; PAR3A; PAR-3 |
应用说明
| 应用建议 |
|
||||||||||
|---|---|---|---|---|---|---|---|---|---|---|---|
| 应用说明 | * The dilutions indicate recommended starting dilutions and the optimal dilutions or concentrations should be determined by the scientist. | ||||||||||
| 实际分子量 | 151 kDa |
属性
| 形式 | Liquid |
|---|---|
| 纯化 | Affinity purified |
| 缓冲液 | 0.2% Na2HPO4, 0.9% NaCl and 4% Trehalose. |
| 稳定剂 | 4% Trehalose |
| 浓度 | 0.5 mg/ml |
| 存放说明 | For continuous use, store undiluted antibody at 2-8°C for up to a week. For long-term storage, aliquot and store at -20°C or below. Storage in frost free freezers is not recommended. Avoid repeated freeze/thaw cycles. Suggest spin the vial prior to opening. The antibody solution should be gently mixed before use. |
| 注意事项 | For laboratory research only, not for drug, diagnostic or other use. |
生物信息
| 数据库连接 | |
|---|---|
| 基因名称 | PARD3 |
| 全名 | Par-3 Family Cell Polarity Regulator |
| 背景介绍 | This gene encodes a member of the PARD protein family. PARD family members interact with other PARD family members and other proteins; they affect asymmetrical cell division and direct polarized cell growth. Multiple alternatively spliced transcript variants have been described for this gene. [provided by RefSeq, Oct 2011] |
| 生物功能 | Adapter protein involved in asymmetrical cell division and cell polarization processes. Seems to play a central role in the formation of epithelial tight junctions. [UniProt] |
| 细胞定位 | Cell junction; Cell membrane; Cytoplasm; Cytoskeleton; Membrane; Tight junction. [UniProt] |
| 预测分子量 | 151 kDa |
| 翻译后修饰 | Acetylation; Phosphoprotein. [UniProt] |
检测图片 (4) Click the Picture to Zoom In
-
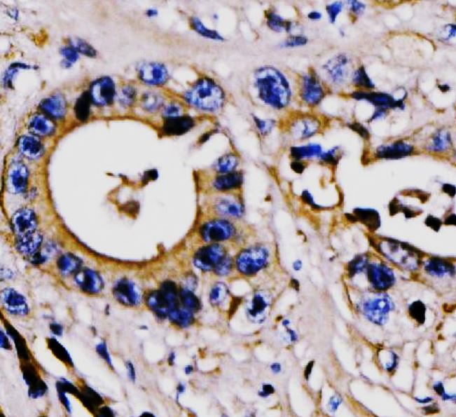
ARG45626 anti-PAR-3 / PARD3 antibody IHC-P image
Immunohistochemistry: Human appendiceal adenocarcinoma stained with ARG45626 anti-PAR-3 / PARD3 antibody at 2 μg/ml dilution.
-
ARG45626 anti-PAR-3 / PARD3 antibody ICC/IF image
Immunofluorescence: U2OS stained with ARG45626 anti-PAR-3 / PARD3 antibody at 5 μg/ml dilution.
-
ARG45626 anti-PAR-3 / PARD3 antibody WB image
Western blot: MCF-7 and HEK293 stained with ARG45626 anti-PAR-3 / PARD3 antibody at 0.5 μg/ml dilution.
-
ARG45626 anti-PAR-3 / PARD3 antibody FACS image
Flow Cytometry: HepG2 stained with ARG45626 anti-PAR-3 / PARD3 antibody at 1 µg/10^6 cells dilution.
