ARG44449
anti-PADI3 / PAD3 antibody
anti-PADI3 / PAD3 antibody for Flow cytometry,ICC/IF,Western blot and Human,Mouse,Rat
概述
| 产品描述 | Rabbit Polyclonal antibody recognizes PADI3 / PAD3 |
|---|---|
| 反应物种 | Hu, Ms, Rat |
| 应用 | FACS, ICC/IF, WB |
| 宿主 | Rabbit |
| 克隆 | Polyclonal |
| 同位型 | IgG |
| 靶点名称 | PADI3 / PAD3 |
| 抗原物种 | Human |
| 抗原 | Human PADI3 / PAD3 recombinant protein |
| 偶联标记 | Un-conjugated |
| 別名 | PADI3; Peptidyl Arginine Deiminase 3; PDI3; Peptidyl Arginine Deiminase, Type III; Protein-Arginine Deiminase Type III; Protein-Arginine Deiminase Type-3; Peptidylarginine Deiminase III; EC 3.5.3.15; PAD3; UHS1 |
应用说明
| 应用建议 |
|
||||||||
|---|---|---|---|---|---|---|---|---|---|
| 应用说明 | The dilutions indicate recommended starting dilutions and the optimal dilutions or concentrations should be determined by the scientist. |
属性
| 形式 | Liquid |
|---|---|
| 纯化 | Affinity purified with Immunogen. |
| 缓冲液 | 0.9% NaCl, 0.2% Na2HPO4, 0.05% Sodium azide and 4% Trehalose. |
| 抗菌剂 | 0.05% Sodium azide |
| 稳定剂 | 4% Trehalose |
| 浓度 | 0.5 mg/ml |
| 存放说明 | For continuous use, store undiluted antibody at 2-8°C for up to a week. For long-term storage, aliquot and store at -20°C or below. Storage in frost free freezers is not recommended. Avoid repeated freeze/thaw cycles. Suggest spin the vial prior to opening. The antibody solution should be gently mixed before use. |
| 注意事项 | For laboratory research only, not for drug, diagnostic or other use. |
生物信息
| 数据库连接 | |
|---|---|
| 基因名称 | PADI3 |
| 全名 | Peptidyl Arginine Deiminase 3 |
| 背景介绍 | This gene encodes a member of the peptidyl arginine deiminase family of enzymes, which catalyze the post-translational deimination of proteins by converting arginine residues into citrullines in the presence of calcium ions. The family members have distinct substrate specificities and tissue-specific expression patterns. The type III enzyme modulates hair structural proteins, such as filaggrin in the hair follicle and trichohyalin in the inner root sheath, during hair follicle formation. Together with the type I enzyme, this enzyme may also play a role in terminal differentiation of the epidermis. This gene exists in a cluster with four other paralogous genes. |
| 生物功能 | Catalyzes the deimination of arginine residues of proteins. |
| 细胞定位 | Cytoplasm |
| 预测分子量 | 75 kDa |
检测图片 (5) Click the Picture to Zoom In
-
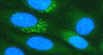
ARG44449 anti-PADI3 / PAD3 antibody ICC/IF image
Immunofluorescence: HeLa stained with ARG44449 anti-PADI3 / PAD3 antibody at 5 μg/mL dilution.
-
ARG44449 anti-PADI3 / PAD3 antibody WB image
Western blot: RT4 and A549 stained with ARG44449 anti-PADI3 / PAD3 antibody at 0.5 μg/mL dilution.
-
ARG44449 anti-PADI3 / PAD3 antibody FACS image
Flow Cytometry: SH-SY5Y stained with ARG44449 anti-PADI3 / PAD3 antibody at 1 μg/10^6 cells dilution.
-
ARG44449 anti-PADI3 / PAD3 antibody WB image
Western blot: C6 stained with ARG44449 anti-PADI3 / PAD3 antibody at 0.5 μg/mL dilution.
-
ARG44449 anti-PADI3 / PAD3 antibody WB image
Western blot: Mouse kidney and NIH/3T3 stained with ARG44449 anti-PADI3 / PAD3 antibody at 0.5 μg/mL dilution.
