ARG59222
anti-Otoferlin antibody
anti-Otoferlin antibody for IHC-Formalin-fixed paraffin-embedded sections,Western blot and Human,Mouse,Rat
概述
| 产品描述 | Rabbit Polyclonal antibody recognizes Otoferlin |
|---|---|
| 反应物种 | Hu, Ms, Rat |
| 预测物种 | Hm |
| 应用 | IHC-P, WB |
| 宿主 | Rabbit |
| 克隆 | Polyclonal |
| 同位型 | IgG |
| 靶点名称 | Otoferlin |
| 抗原物种 | Human |
| 抗原 | Synthetic peptide corresponding to aa. 1831-1863 of Human Otoferlin. (QIWDADHFSADDFLGAIELDLNRFPRGAKTAKQ) |
| 偶联标记 | Un-conjugated |
| 別名 | FER1L2; DFNB6; AUNB1; DFNB9; Fer-1-like protein 2; NSRD9; Otoferlin |
应用说明
| 应用建议 |
|
||||||
|---|---|---|---|---|---|---|---|
| 应用说明 | IHC-P: Antigen Retrieval: By heat mediation. * The dilutions indicate recommended starting dilutions and the optimal dilutions or concentrations should be determined by the scientist. |
属性
| 形式 | Liquid |
|---|---|
| 纯化 | Affinity purification with immunogen. |
| 缓冲液 | 0.9% NaCl, 0.2% Na2HPO4, 0.05% Sodium azide and 5% BSA. |
| 抗菌剂 | 0.05% Sodium azide |
| 稳定剂 | 5% BSA |
| 浓度 | 0.5 mg/ml |
| 存放说明 | For continuous use, store undiluted antibody at 2-8°C for up to a week. For long-term storage, aliquot and store at -20°C or below. Storage in frost free freezers is not recommended. Avoid repeated freeze/thaw cycles. Suggest spin the vial prior to opening. The antibody solution should be gently mixed before use. |
| 注意事项 | For laboratory research only, not for drug, diagnostic or other use. |
生物信息
| 数据库连接 | |
|---|---|
| 基因名称 | OTOF |
| 全名 | otoferlin |
| 背景介绍 | Mutations in this gene are a cause of neurosensory nonsyndromic recessive deafness, DFNB9. The short form of the encoded protein has 3 C2 domains, a single carboxy-terminal transmembrane domain found also in the C. elegans spermatogenesis factor FER-1 and human dysferlin, while the long form has 6 C2 domains. The homology suggests that this protein may be involved in vesicle membrane fusion. Several transcript variants encoding multiple isoforms have been found for this gene. [provided by RefSeq, Jul 2008] |
| 生物功能 | Key calcium ion sensor involved in the Ca(2+)-triggered synaptic vesicle-plasma membrane fusion and in the control of neurotransmitter release at these output synapses. Interacts in a calcium-dependent manner to the presynaptic SNARE proteins at ribbon synapses of cochlear inner hair cells (IHCs) to trigger exocytosis of neurotransmitter. Also essential to synaptic exocytosis in immature outer hair cells (OHCs). May also play a role within the recycling of endosomes (By similarity). [UniProt] |
| 细胞定位 | Cytoplasmic vesicle, secretory vesicle, synaptic vesicle membrane; Single-pass type II membrane protein. Basolateral cell membrane; Single-pass type II membrane protein. Endoplasmic reticulum membrane; Single-pass type II membrane protein. Cell membrane; Single-pass type II membrane protein. [UniProt] |
| 预测分子量 | 227 kDa |
检测图片 (5) Click the Picture to Zoom In
-
ARG59222 anti-Otoferlin antibody IHC-P image
Immunohistochemistry: Mouse hippocampal neurons stained with ARG59222 anti-Otoferlin antibody.
From Ramos-Brossier M et al. Research Square (2024), doi: 10.1038/s41419-023-06292-z, Fig. 5C.
-
ARG59222 anti-Otoferlin antibody WB image
Western blot: Mouse hippocampal neurons stained with ARG59222 anti-Otoferlin antibody.
From Ramos-Brossier M et al. Research Square (2024), doi: 10.1038/s41419-023-06292-z, Fig. 5B.
-
ARG59222 anti-Otoferlin antibody WB image
Western blot: 50 µg of Rat cardiac muscle and 40 µg of 293T whole cell lysate stained with ARG59222 anti-Otoferlin antibody at 0.5 µg/ml dilution.
-
ARG59222 anti-Otoferlin antibody IHC-P image
Immunohistochemistry: Paraffin-embedded Rat brain stained with ARG59222 anti-Otoferlin antibody.
-
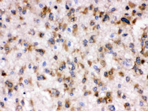
ARG59222 anti-Otoferlin antibody IHC-P image
Immunohistochemistry: Paraffin-embedded Human glioma stained with ARG59222 anti-Otoferlin antibody.

