ARG52379
anti-Olig 1 antibody
anti-Olig 1 antibody for IHC-Formalin-fixed paraffin-embedded sections,Immunoprecipitation,Western blot and Mouse,Rat
Neuroscience antibody
概述
| 产品描述 | Rabbit Polyclonal antibody recognizes Olig 1 |
|---|---|
| 反应物种 | Ms, Rat |
| 应用 | IHC-P, IP, WB |
| 宿主 | Rabbit |
| 克隆 | Polyclonal |
| 同位型 | IgG |
| 靶点名称 | Olig 1 |
| 抗原物种 | Mouse |
| 抗原 | Recombinant mouse Olig1 |
| 偶联标记 | Un-conjugated |
| 別名 | Class E basic helix-loop-helix protein 21; Oligo1; Class B basic helix-loop-helix protein 6; BHLHE21; bHLHe21; bHLHb6; BHLHB6; Oligodendrocyte transcription factor 1 |
应用说明
| 应用建议 |
|
||||||||
|---|---|---|---|---|---|---|---|---|---|
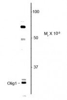
| 应用说明 | Specific for the ~27 kDa Olig1 protein in Western blots. The antibody also works well for immunohistochemistry, immunocytochemistry and immunoprecipitation. * The dilutions indicate recommended starting dilutions and the optimal dilutions or concentrations should be determined by the scientist. |
属性
| 形式 | Liquid |
|---|---|
| 纯化 | Protein A purified |
| 缓冲液 | 100 mM Glycine (pH 8.0), 200 mM Tris |
| 存放说明 | For continuous use, store undiluted antibody at 2-8°C for up to a week. For long-term storage, aliquot and store at -20°C or below. Storage in frost free freezers is not recommended. Avoid repeated freeze/thaw cycles. Suggest spin the vial prior to opening. The antibody solution should be gently mixed before use. |
| 注意事项 | For laboratory research only, not for drug, diagnostic or other use. |
生物信息
| 数据库连接 |
Swiss-port # Q9JKN5 Mouse Oligodendrocyte transcription factor 1 Swiss-port # Q9WUQ3 Rat Oligodendrocyte transcription factor 1 |
|---|---|
| 基因名称 | OLIG1 |
| 全名 | oligodendrocyte transcription factor 1 |
| 背景介绍 | Olig genes have been identified as the earliest known markers of oligodendrocyte lineage determination to date (Zhou et al., 2000). Olig1 is a transcription factor which promotes formation and maturation of oligodendrocytes, especially within the brain. It is expressed in the ventral spinal cord as early as 9.5 dpc and by 15.5 dpc, olig1 is dispersed throughout the gray matter. In the postnatal brain, it is present preferentially in the white matter, such as corpus callosum and cerebellar medulla. Olig1 has been demonstrated as necessary in the repair of brain lesions in patients with multiple sclerosis (Arnett et al. 2004). |
| 研究领域 | Neuroscience antibody |
| 预测分子量 | 28 kDa |
检测图片 (1) Click the Picture to Zoom In
