ARG45321
anti-OSGIN1 antibody
anti-OSGIN1 antibody for ICC/IF,IHC-Formalin-fixed paraffin-embedded sections,Western blot and Human
概述
| 产品描述 | Polyclonal antibody recognizes OSGIN1 |
|---|---|
| 反应物种 | Hu |
| 应用 | ICC/IF, IHC-P, WB |
| 宿主 | Rabbit |
| 克隆 | Polyclonal |
| 同位型 | IgG |
| 靶点名称 | OSGIN1 |
| 抗原物种 | Human |
| 抗原 | Recombinant protein containing to human OSGIN1. |
| 偶联标记 | Un-conjugated |
| 別名 | OSGIN1; Oxidative Stress Induced Growth Inhibitor 1; OKL38; BDGI; Bone Marrow Stromal Cell-Derived Growth Inhibitor; Oxidative Stress-Induced Growth Inhibitor 1; Pregnancy-Induced Growth Inhibitor OKL38; Ovary, Kidney And Liver Protein 38; BMSC-Derived Growth Inhibitor; Pregnancy Induced Growth Inhibitor; EC 2.7.1.130 47; EC 2.4.2.7 47; EC 1.6.5 47; HuOKL38 |
应用说明
| 应用建议 |
|
||||||||
|---|---|---|---|---|---|---|---|---|---|
| 应用说明 | * The dilutions indicate recommended starting dilutions and the optimal dilutions or concentrations should be determined by the scientist. | ||||||||
| 实际分子量 | 53 kDa |
属性
| 形式 | Liquid |
|---|---|
| 纯化 | Affinity purification with immunogen. |
| 缓冲液 | 0.2% Na2HPO4, 0.9% NaCl and 4% Trehalose. |
| 稳定剂 | 4% Trehalose |
| 浓度 | 0.5 mg/ml |
| 存放说明 | For continuous use, store undiluted antibody at 2-8°C for up to a week. For long-term storage, aliquot and store at -20°C or below. Storage in frost free freezers is not recommended. Avoid repeated freeze/thaw cycles. Suggest spin the vial prior to opening. The antibody solution should be gently mixed before use. |
| 注意事项 | For laboratory research only, not for drug, diagnostic or other use. |
生物信息
| 数据库连接 |
Swiss-port # Q9UJX0 Human Oxidative stress-induced growth inhibitor 1 |
|---|---|
| 基因名称 | OSGIN1 |
| 全名 | Oxidative Stress Induced Growth Inhibitor 1 |
| 背景介绍 | This gene encodes an oxidative stress response protein that regulates cell death. Expression of the gene is regulated by p53 and is induced by DNA damage. The protein regulates apoptosis by inducing cytochrome c release from mitochondria. It also appears to be a key regulator of both inflammatory and anti-inflammatory molecules. The loss of this protein correlates with uncontrolled cell growth and tumor formation. Naturally occurring read-through transcription exists between this gene and the neighboring upstream malonyl-CoA decarboxylase (MLYCD) gene, but the read-through transcripts are unlikely to produce a protein product. [provided by RefSeq, Aug 2011] |
| 生物功能 | Regulates the differentiation and proliferation through the regulation of cell death.. [UniProt] |
| 预测分子量 | 52 kDa |
| 翻译后修饰 | Phosphoprotein. [UniProt] |
检测图片 (3) Click the Picture to Zoom In
-
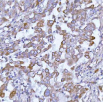
ARG45321 anti-OSGIN1 antibody IHC-P image
Immunohistochemistry: Human lung adenocarcinoma stained with ARG45321 anti-OSGIN1 antibody at 2 μg/ml dilution.
-
ARG45321 anti-OSGIN1 antibody ICC/IF image
Immunofluorescence: T-47D stained with ARG45321 anti-OSGIN1 antibody at 5 ug/ml dilution.
-
ARG45321 anti-OSGIN1 antibody WB image
Western blot: HepG2 and T-47D stained with ARG45321 anti-OSGIN1 antibody at 0.5 μg/ml dilution.
